• Tel: 858.663.9055
  • SeparatorEmail: info@nsjbio.com
  • Tel: 858.663.9055
  • Email: info@nsjbio.com
Home >> Antibodies >> Dual specificity protein phosphatase 10 Antibody / DUSP10

Dual specificity protein phosphatase 10 Antibody / DUSP10 (F54969)

  Catalog No Formulation Size Price (USD)  
Image F54969-0.4ML In 1X PBS, pH 7.4, with 0.09% sodium azide 0.4 ml 439
Image
F54969-0.08ML In 1X PBS, pH 7.4, with 0.09% sodium azide 0.08 ml 205
Bulk quote request
Western blot testing of mouse heart tissue lysate with Dual specificity protein phosphatase 10 antibody. Predicted molecular weight ~53 kDa.
Western blot testing of human RD cell lysate with Dual specificity protein phosphatase 10 antibody. Predicted molecular weight ~53 kDa.
IHC testing of FFPE human testis tissue with Dual specificity protein phosphatase 10 antibody. HIER: steam section in pH6 citrate buffer for 20 min and allow to cool prior to staining.
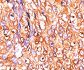
IHC testing of FFPE human breast cancer tissue with Dual specificity protein phosphatase 10 antibody. HIER: steam section in pH6 citrate buffer for 20 min and allow to cool prior to staining.
Availability 1-3 business days
Species Reactivity Human, Mouse
Format Purified
Host Rabbit
Clonality Polyclonal (rabbit origin)
Isotype Rabbit Ig
Purity Purified
UniProt Q9Y6W6
Localization Cytoplasmic, nuclear
Applications Immunohistochemistry (FFPE) : 1:50-1:100
Western Blot : 1:500-1:1000
Limitations This Dual specificity protein phosphatase 10 antibody is available for research use only.
Review this product on BioCompare and get a $20 Amazon gift card

Related Products

  • Applications : WB, ELISA (peptide)
    Reactivity : Human
    Pred. Reactivity : Mouse, Rat, Dog, Cow

Description

Dual specificity protein phosphatases inactivate their target kinases by dephosphorylating both the phosphoserine/threonine and phosphotyrosine residues. They negatively regulate members of the MAPK superfamily (MAPK/ERK, SAPK/JNK, p38), which is associated with cellular proliferation and differentiation. Different members of this family of dual specificity phosphatases show distinct substrate specificities for MAPKs, different tissue distribution and subcellular localization, and different modes of inducibility of their expression by extracellular stimuli. DUSP10 binds to and inactivates p38 and SAPK/JNK, but not MAPK/ERK. Its subcellular localization is unique; it is evenly distributed in both the cytoplasm and the nucleus. The protein is widely expressed in various tissues and organs, and its expression is elevated by stress stimuli.

Application Notes

The stated application concentrations are suggested starting points. Titration of the Dual specificity protein phosphatase 10 antibody may be required due to differences in protocols and secondary/substrate sensitivity.

Immunogen

A portion of amino acids 1-30 from the human protein was used as the immunogen for the Dual specificity protein phosphatase 10 antibody.

Storage

Aliquot the Dual specificity protein phosphatase 10 antibody and store frozen at -20oC or colder. Avoid repeated freeze-thaw cycles.

Cross
Bulk Quote Request Form
Name*:
Organization*:
Email*:
Phone Number*:
Catalog No.*:
Comments and Specifics(amount, formulation, etc.)*:
Validation code: Captchapackage Image


Can't read the image? click here to refresh.
    *required field

Your bulk quote request has been submitted successfully!

Please contact us if you have any questions.