• Tel: 858.663.9055
  • SeparatorEmail: info@nsjbio.com
  • Tel: 858.663.9055
  • Email: info@nsjbio.com
Home >> Antibodies >> Drebrin Antibody / DBN1 Neuronal Actin-Binding Protein Antibody

Drebrin Antibody / DBN1 Neuronal Actin-Binding Protein Antibody [clone DBN1/2880] (V7711)

  Catalog No Formulation Size Price (USD)  
Image V7711-100UG 0.2 mg/ml in 1X PBS with 0.1 mg/ml BSA (US sourced) and 0.05% sodium azide 100 ug 559
Image
V7711-20UG 0.2 mg/ml in 1X PBS with 0.1 mg/ml BSA (US sourced) and 0.05% sodium azide 20 ug 259
Image
V7711SAF-100UG 1 mg/ml in 1X PBS; BSA free, sodium azide free 100 ug 559
Microvalidated
Bulk quote request
Drebrin Neuronal Actin-Binding Protein Antibody Cervical Epithelium IHC. Immunohistochemistry analysis of FFPE human cervix using Drebrin Antibody (clone DBN1/2880) shows prominent cytoplasmic and membranous staining in stratified epithelial cells, consistent with DBN1 / Drebrin localization associated with actin cytoskeletal organization. The staining highlights epithelial cell layers with defined cell borders, reflecting actin-associated structural support within the tissue. Hematoxylin counterstain provides nuclear contrast and architectural detail. HIER: boil FFPE tissue sections in pH 9 10 mM Tris with 1 mM EDTA for 10-20 min followed by cooling at RT for 20 min.
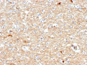
Drebrin Neuronal Actin-Binding Protein Antibody Brain Tissue IHC. Immunohistochemistry analysis of FFPE human brain tissue using Drebrin Antibody (clone DBN1/2880) shows diffuse cytoplasmic staining in neuronal cells with enrichment in neuronal processes, consistent with DBN1 / Drebrin localization associated with actin cytoskeletal organization in synaptic structures. The staining pattern highlights neuronal architecture, while surrounding non-neuronal regions display comparatively lower signal. Hematoxylin counterstain provides nuclear contrast and tissue context. HIER: boil FFPE tissue sections in pH 9 10 mM Tris with 1 mM EDTA for 10-20 min followed by cooling at RT for 20 min.
Drebrin Neuronal Actin-Binding Protein Antibody HuProt Microarray Specificity. Protein microarray analysis using Drebrin Antibody (clone DBN1/2880) demonstrates highly specific binding to DBN1 / Drebrin, with the target protein ranked as the top hit and showing a strong Z score relative to all other proteins on the array. Signal intensity drops sharply for non-target proteins, supporting selective recognition with minimal off-target interaction. Z score represents the strength of signal in standard deviations above the mean of all array signals, while S score reflects the separation between the top-ranked target and the next highest signal, indicating relative specificity.
SDS-PAGE analysis of purified, BSA-free Drebrin antibody (clone DBN1/2880) as confirmation of integrity and purity.
Drebrin Neuronal Actin-Binding Protein Antibody PC3 WB. Western blot analysis of human PC3 cell lysate using Drebrin Antibody (clone DBN1/2880) detects a band within the expected molecular weight range of approximately 70-120 kDa, consistent with DBN1 / Drebrin isoforms. The observed banding pattern reflects the presence of multiple Drebrin variants and potential post-translational modifications influencing electrophoretic mobility.
Availability 1-3 business days
Species Reactivity Human
Format Purified
Host Mouse
Clonality Monoclonal (mouse origin)
Isotype Mouse IgG1, kappa
Clone Name DBN1/2880
Purity Protein G affinity chromatography
UniProt Q16643
Localization Cytoplasmic
Applications Immunohistochemistry (FFPE) : 1-2ug/ml
Western Blot : 1-2ug/ml
Limitations This Drebrin Antibody / DBN1 Neuronal Actin-Binding Protein Antibody is available for research use only.
Review this product on BioCompare and get a $20 Amazon gift card

Related Products

Description

Drebrin (DBN1) is a neuronal actin-binding protein that plays a central role in the regulation of cytoskeletal organization and synaptic structure. The Drebrin Antibody / DBN1 Neuronal Actin-Binding Protein Antibody is widely used to detect this protein in systems where actin dynamics and neuronal morphology are critical. DBN1 is encoded on chromosome 5q35 and belongs to a class of actin-binding proteins that modulate filament stability and organization, particularly within dendritic spines and neuronal processes. This antibody is part of a collection of Human Protein Microarray validated antibodies that have been screened for specificity across thousands of proteins.

The Drebrin antibody, also referred to as DBN1 antibody and Drebrin 1 antibody in the literature, recognizes a protein that is highly expressed in the brain and is developmentally regulated. Drebrin exists in multiple isoforms, including embryonic (E) and adult (A) forms, which differ in expression patterns and functional roles. In mature neurons, Drebrin A is enriched in dendritic spines, where it contributes to spine morphology and synaptic stability by binding to F-actin and regulating cytoskeletal remodeling.

This Drebrin Antibody / DBN1 Neuronal Actin-Binding Protein Antibody is uniquely positioned for studies focused on neuronal structure and synaptic plasticity. Drebrin is closely associated with excitatory synapses and is involved in processes such as spine formation, synaptic maturation, and activity-dependent remodeling. Alterations in Drebrin expression or localization have been linked to changes in synaptic function, making it a valuable marker for studying neural connectivity and plasticity.

In addition to its structural role, Drebrin participates in the coordination of signaling pathways that regulate actin dynamics. By stabilizing actin filaments and influencing their organization, DBN1 contributes to the maintenance of dendritic architecture and neuronal integrity. In immunohistochemistry and immunofluorescence applications, Drebrin is typically observed as cytoplasmic staining with enrichment in neuronal processes, reflecting its association with the actin cytoskeleton. In western blot analysis, DBN1 is detected as a band corresponding to its expected molecular weight, supporting evaluation of protein expression levels across tissues and experimental conditions.

Dysregulation of Drebrin has been implicated in neurological disorders, including Alzheimer’s disease and other neurodegenerative conditions, where loss of synaptic structure and function is a hallmark feature. Reduced Drebrin levels have been associated with synaptic degeneration and impaired cognitive function, highlighting its importance in maintaining neuronal health. As a result, Drebrin antibody detection is frequently used in studies of neurobiology, disease progression, and therapeutic response.

The mouse monoclonal clone DBN1/2880 provides consistent and specific detection of DBN1, supported by protein microarray specificity validation data demonstrating selective binding to the intended target. This Drebrin Antibody / DBN1 Neuronal Actin-Binding Protein Antibody is suitable for detecting DBN1 expression in research applications focused on cytoskeletal organization, synaptic structure, and neuronal function. Its performance supports detailed analysis of Drebrin distribution and regulation in both normal and disease-associated contexts.

This antibody is part of a broader antibody panel offered by NSJ Bioreagents.

Application Notes

Optimal dilution of the Drebrin Antibody / DBN1 Neuronal Actin-Binding Protein Antibody should be determined by the researcher.

Immunogen

A recombinant human partial protein (amino acids 150-281) was used as the immunogen for the Drebrin antibody.

Storage

Store the Drebrin 1 antibody at 2-8oC (with azide) or aliquot and store at -20oC or colder (without azide).

Alternate Names

Drebrin antibody, DBN1 antibody, Drebrin 1 antibody, Drebrin actin binding protein antibody, Developmentally regulated brain protein antibody

Cross
Bulk Quote Request Form
Name*:
Organization*:
Email*:
Phone Number*:
Catalog No.*:
Comments and Specifics(amount, formulation, etc.)*:
Validation code: Captchapackage Image


Can't read the image? click here to refresh.
    *required field

Your bulk quote request has been submitted successfully!

Please contact us if you have any questions.