• Tel: 858.663.9055
  • SeparatorEmail: info@nsjbio.com
  • Tel: 858.663.9055
  • Email: info@nsjbio.com
Home >> Antibodies >> Drebrin 1 Antibody

Drebrin 1 Antibody [clone DRBP1-1] (V7643)

  Catalog No Formulation Size Price (USD)  
Image V7643-100UG 0.2 mg/ml in 1X PBS with 0.1 mg/ml BSA (US sourced) and 0.05% sodium azide 100 ug 559
Image
V7643-20UG 0.2 mg/ml in 1X PBS with 0.1 mg/ml BSA (US sourced) and 0.05% sodium azide 20 ug 259
Image
V7643SAF-100UG 1 mg/ml in 1X PBS; BSA free, sodium azide free 100 ug 559
Bulk quote request
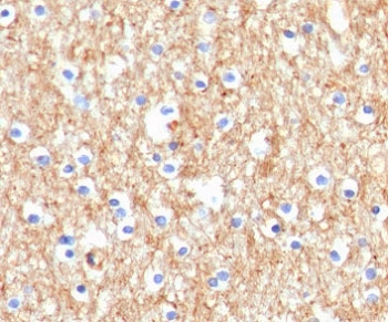
IHC staining of FFPE human brain with Drebrin 1 antibody (clone DRBP1-1). HIER: boil tissue sections in pH 9 10mM Tris with 1mM EDTA for 10-20 min followed by cooling at RT for 20 min.
Availability 1-3 business days
Species Reactivity Human
Format Purified
Host Mouse
Clonality Monoclonal (mouse origin)
Isotype Mouse IgG1, kappa
Clone Name DRBP1-1
Purity Protein G affinity chromatography
UniProt Q16643
Localization Cytoplasmic
Applications Immunohistochemistry (FFPE) : 1-2ug/ml
Limitations This Drebrin 1 antibody is available for research use only.
Review this product on BioCompare and get a $20 Amazon gift card

Related Products

Description

Actin cytoskeleton-organizing protein that plays a role in the formation of cell projections. Required for actin polymerization at immunological synapses (IS) and for the recruitment of the chemokine receptor CXCR4 to IS. Plays a role in dendritic spine morphogenesis and organization, including the localization of the dopamine receptor DRD1 to the dendritic spines (By similarity). Involved in memory-related synaptic plasticity in the hippocampus (By similarity). [UniProt]

This antibody can be compared with our Drebrin Antibody / DBN1 Neuronal Actin-Binding Protein Antibody (clone DBN1/2880) for consistent detection of DBN1 across neuronal structure and cytoskeletal studies.

Application Notes

The stated application concentrations are suggested starting points. Titration of the Drebrin 1 antibody may be required due to differences in protocols and secondary/substrate sensitivity.

Immunogen

Amino acids 150-281 were used as the immunogen for the Drebrin 1 antibody.

Storage

Store the Drebrin 1 antibody at 2-8oC (with azide) or aliquot and store at -20oC or colder (without azide).

Cross
Bulk Quote Request Form
Name*:
Organization*:
Email*:
Phone Number*:
Catalog No.*:
Comments and Specifics(amount, formulation, etc.)*:
Validation code: Captchapackage Image


Can't read the image? click here to refresh.
    *required field

Your bulk quote request has been submitted successfully!

Please contact us if you have any questions.