• Tel: 858.663.9055
  • SeparatorEmail: info@nsjbio.com
  • Tel: 858.663.9055
  • Email: info@nsjbio.com
Home >> Antibodies >> DPYD Antibody / Dihydropyrimidine dehydrogenase

DPYD Antibody / Dihydropyrimidine dehydrogenase (R30854)

  Catalog No Formulation Size Price (USD)  
Image R30854 0.5mg/ml if reconstituted with 0.2ml sterile DI water 100 ug 449
Bulk quote request
Flow cytometry analysis of fixed and permeabilized human HepG2 cells with DPYD antibody at 1ug/million cells (blocked with goat sera); Red=cells alone, Green=isotype control, Blue= DPYD antibody.
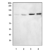
Western blot analysis using DPYD antibody. Lane 1: human HeLa whole cell lysates; Lane 2: human THP-1 whole cell lysates; Lane 3: rat liver tissue lysates; Lane 4: mouse liver tissue lysates. The predicted molecular weight of Dihydropyrimidine dehydrogenase is ~111 kDa, and a band is observed at the expected size, with expected stronger expression in liver samples.
Availability 1-3 business days
Species Reactivity Human, Mouse, Rat
Format Antigen affinity purified
Host Rabbit
Clonality Polyclonal (rabbit origin)
Isotype Rabbit IgG
Purity Antigen affinity
Buffer Lyophilized from 1X PBS with 2% Trehalose
UniProt Q12882
Applications Western Blot : 0.5-1ug/ml
Flow Cytometry : 1-3ug/million cells
Limitations This DPYD antibody is available for research use only.
Review this product on BioCompare and get a $20 Amazon gift card

Related Products

  • Applications : WB, ELISA
    Reactivity : Human

Description

DPYD antibody targets Dihydropyrimidine dehydrogenase, encoded by the DPYD gene. Dihydropyrimidine dehydrogenase is a cytosolic enzyme that catalyzes the rate-limiting step in pyrimidine catabolism, converting uracil and thymine into their corresponding dihydro forms. This metabolic function is essential for maintaining nucleotide homeostasis and regulating pyrimidine turnover in mammalian cells. DPYD is most abundant in metabolically active tissues and plays a central role in coordinating nucleotide degradation with cellular metabolic demands.

Functionally, Dihydropyrimidine dehydrogenase initiates the breakdown of pyrimidine bases, enabling their reutilization or excretion. Beyond endogenous nucleotide metabolism, DPYD is critically involved in drug metabolism, as it is responsible for the catabolism of fluoropyrimidine chemotherapeutic agents such as 5-fluorouracil. Through this activity, DPYD strongly influences drug clearance and systemic exposure, making it a key determinant of treatment response and toxicity. A DPYD antibody supports studies focused on metabolic enzyme expression and drug metabolism pathways.

DPYD expression is highest in liver, where xenobiotic and nucleotide metabolism are prominent, but is also detected in other tissues including intestine, kidney, and immune cells. Expression levels can vary substantially between individuals due to genetic polymorphisms, transcriptional regulation, and physiological state. This variability contributes to inter-individual differences in pyrimidine metabolism and drug sensitivity, highlighting the importance of DPYD as a metabolic regulator with clinical relevance.

From a disease-relevance perspective, altered DPYD activity has been linked to metabolic disorders and adverse drug reactions. Reduced or absent DPYD activity is associated with severe toxicity in patients treated with fluoropyrimidine-based chemotherapy, due to impaired drug clearance. DPYD deficiency has also been studied in the context of neurological symptoms and developmental abnormalities, reflecting the broader impact of disrupted pyrimidine metabolism. These associations make DPYD an important molecule in pharmacogenomics and precision medicine research.

At the molecular level, Dihydropyrimidine dehydrogenase functions as a multi-domain flavoprotein that interacts with several cofactors to carry out redox reactions. Post-translational modifications, cofactor binding, and cellular metabolic state can influence its activity and electrophoretic behavior on SDS-PAGE without implying changes in primary sequence. A DPYD antibody supports research applications focused on pyrimidine metabolism, drug response variability, and disease-associated alterations in metabolic pathways, with NSJ Bioreagents providing reagents intended for research use.

Application Notes

The stated application concentrations are suggested starting amounts. Titration of the DPYD antibody may be required due to differences in protocols and secondary/substrate sensitivity.

Immunogen

Amino acids 33-52 (AKKLDKKHWKRNPDKNCFNC-human) were used as the immunogen for this DPYD antibody.

Storage

After reconstitution, the DPYD antibody can be stored for up to one month at 4oC. For long-term, aliquot and store at -20oC. Avoid repeated freezing and thawing.

Cross
Bulk Quote Request Form
Name*:
Organization*:
Email*:
Phone Number*:
Catalog No.*:
Comments and Specifics(amount, formulation, etc.)*:
Validation code: Captchapackage Image


Can't read the image? click here to refresh.
    *required field

Your bulk quote request has been submitted successfully!

Please contact us if you have any questions.