• Tel: 858.663.9055
  • SeparatorEmail: info@nsjbio.com
  • Tel: 858.663.9055
  • Email: info@nsjbio.com
Home >> Antibodies >> DOCK8 Antibody / Dedicator of cytokinesis protein 8

DOCK8 Antibody / Dedicator of cytokinesis protein 8 (FY12419)

  Catalog No Formulation Size Price (USD)  
Image FY12419 Adding 0.2 ml of distilled water will yield a concentration of 500 ug/ml 100 ug 449
Bulk quote request
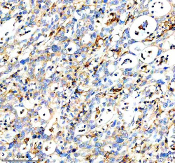
Immunohistochemical staining of DOCK8 using anti-DOCK8 antibody. DOCK8 was detected in a paraffin-embedded section of human pancreas cancer tissue. Heat mediated antigen retrieval was performed in EDTA buffer (pH 8.0, epitope retrieval solution). The tissue section was blocked with 10% goat serum. The tissue section was then incubated with 2 ug/ml rabbit anti-DOCK8 antibody overnight at 4oC. Peroxidase Conjugated Goat Anti-rabbit IgG was used as secondary antibody and incubated for 30 minutes at 37oC. The tissue section was developed using an HRP secondary and DAB substrate.
Western blot analysis of DOCK8 using anti-DOCK8 antibody. Electrophoresis was performed on a 8% SDS-PAGE gel at 80V (Stacking gel) / 120V (Resolving gel) for 2 hours. Lane 1: rat lung tissue lysates. After electrophoresis, proteins were transferred to a nitrocellulose membrane at 150 mA for 50-90 minutes. Blocked the membrane with 5% non-fat milk/TBS for 1.5 hour at RT. The membrane was incubated with rabbit anti-DOCK8 antibody at 0.5 ug/ml overnight at 4oC, then washed with TBS-0.1%Tween 3 times with 5 minutes each and probed with a goat anti-rabbit IgG-HRP secondary antibody at a dilution of 1:5000 for 1.5 hour at RT. The signal was developed using an ECL Plus Western Blotting Substrate. The expected molecular weight of DOCK8 is ~239 kDa.
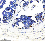
Immunohistochemical staining of DOCK8 using anti-DOCK8 antibody. DOCK8 was detected in a paraffin-embedded section of mouse bone marrow tissue. Heat mediated antigen retrieval was performed in EDTA buffer (pH 8.0, epitope retrieval solution). The tissue section was blocked with 10% goat serum. The tissue section was then incubated with 2 ug/ml rabbit anti-DOCK8 antibody overnight at 4oC. Peroxidase Conjugated Goat Anti-rabbit IgG was used as secondary antibody and incubated for 30 minutes at 37oC. The tissue section was developed using an HRP secondary and DAB substrate.
Flow Cytometry analysis of Raji cells using anti-DOCK8 antibody. Overlay histogram showing Raji cells stained with (Blue line). The cells were fixed with 4% paraformaldehyde and blocked with 10% normal goat serum. And then incubated with rabbit anti-DOCK8 antibody (1 ug/million cells) for 30 min at 20oC. DyLight 488 conjugated goat anti-rabbit IgG (5-10 ug/million cells) was used as secondary antibody for 30 minutes at 20oC. Isotype control antibody (Green line) was rabbit IgG (1 ug/million cells) used under the same conditions. Unlabelled sample without incubation with primary antibody and secondary antibody (Red line) was used as a blank control.
Availability 1-2 days
Species Reactivity Human, Mouse, Rat
Format Lyophilized
Host Rabbit
Clonality Polyclonal (rabbit origin)
Isotype Rabbit IgG
Purity Immunogen affinity purified
Buffer Each vial contains 4 mg Trehalose, 0.9 mg NaCl, 0.2 mg Na2HPO4.
UniProt Q8NF50
Localization Cytoplasm, cell membrane
Applications Western Blot : 0.25-0.5ug/ml
Immunohistochemistry : 2-5ug/ml
Flow Cytometry : 1-3ug/million cells
ELISA : 0.1-0.5ug/ml
Limitations This DOCK8 antibody is available for research use only.
Review this product on BioCompare and get a $20 Amazon gift card

Related Products

  • Applications : WB
    Reactivity : Human

Description

The DOCK8 antibody targets Dedicator of cytokinesis protein 8, a large guanine nucleotide exchange factor encoded by the DOCK8 gene. Dedicator of cytokinesis protein 8 regulates cytoskeletal dynamics by activating small GTPases of the Rho family, particularly CDC42, thereby controlling immune cell morphology, migration, and synapse formation. The DOCK8 antibody provides an essential tool for studying immune signaling, actin remodeling, and primary immunodeficiency syndromes associated with DOCK8 dysfunction.

Dedicator of cytokinesis protein 8 contains a DOCK homology region (DHR) that mediates binding to CDC42 and phosphatidylinositol lipids. This structural configuration facilitates the localized activation of actin polymerization at the immunological synapse. The DOCK8 antibody enables visualization of this process, revealing how immune cells such as T cells, B cells, and natural killer cells use DOCK8 to maintain polarity and movement. Loss of function in DOCK8 disrupts actin organization, impairing immune synapse stability and antigen-specific responses.

Mutations in the DOCK8 gene cause autosomal recessive hyper-immunoglobulin E syndrome (HIES), characterized by recurrent viral infections, elevated IgE levels, and defective T and B cell function. The DOCK8 antibody supports studies into this condition by allowing detection of protein expression in immune cell subsets from affected patients. Functional loss of Dedicator of cytokinesis protein 8 leads to increased susceptibility to viral skin infections and defective immune surveillance, highlighting its critical role in immune defense.

Beyond immunodeficiency, Dedicator of cytokinesis protein 8 has been implicated in cancer biology, where its dysregulation can influence metastasis and tumor cell migration. The DOCK8 antibody supports investigations into these broader roles by enabling quantification of expression in cancer cell lines and tissues. Through regulation of actin assembly and cell adhesion, DOCK8 contributes to both immune and non-immune cell motility control.

The DOCK8 antibody performs effectively in western blotting, immunofluorescence, and flow cytometry, showing strong cytoplasmic localization consistent with its role in actin remodeling. NSJ Bioreagents provides this antibody as a validated, high-specificity reagent for immunology, cell signaling, and disease research. By enabling precise detection of Dedicator of cytokinesis protein 8, the DOCK8 antibody supports exploration of immune synapse dynamics, cytoskeletal regulation, and primary immunodeficiency mechanisms.

Application Notes

Optimal dilution of the DOCK8 antibody should be determined by the researcher.

Immunogen

E.coli-derived human DOCK8 recombinant protein (Position: M1-S2099) was used as the immunogen for the DOCK8 antibody.

Storage

After reconstitution, the DOCK8 antibody can be stored for up to one month at 4oC. For long-term, aliquot and store at -20oC. Avoid repeated freezing and thawing.

Cross
Bulk Quote Request Form
Name*:
Organization*:
Email*:
Phone Number*:
Catalog No.*:
Comments and Specifics(amount, formulation, etc.)*:
Validation code: Captchapackage Image


Can't read the image? click here to refresh.
    *required field

Your bulk quote request has been submitted successfully!

Please contact us if you have any questions.