• Tel: 858.663.9055
  • SeparatorEmail: info@nsjbio.com
  • Tel: 858.663.9055
  • Email: info@nsjbio.com
Home >> Antibodies >> DNTT Antibody Mouse Recombinant MAb / TdT / DNA Nucleotidylexotransferase

DNTT Antibody Mouse Recombinant MAb / TdT / DNA Nucleotidylexotransferase [clone rDNTT/6909] (V9490)

  Catalog No Formulation Size Price (USD)  
Image V9490-100UG 0.2 mg/ml in 1X PBS with 0.1 mg/ml BSA (US sourced), 0.05% sodium azide 100 ug 559
Image
V9490-20UG 0.2 mg/ml in 1X PBS with 0.1 mg/ml BSA (US sourced), 0.05% sodium azide 20 ug 259
Image
V9490SAF-100UG 1 mg/ml in 1X PBS; BSA free, sodium azide free 100 ug 559
Microvalidated Recmousemono
Bulk quote request
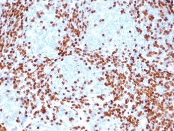
Immunohistochemistry of DNTT antibody in human thymus tissue. Formalin-fixed, paraffin-embedded human thymus shows strong nuclear staining in immature thymocytes, consistent with Terminal deoxynucleotidyl transferase expression in developing lymphoid cells. Heat-induced epitope retrieval was performed by boiling tissue sections in pH 9 10mM Tris with 1mM EDTA for 20 minutes followed by cooling prior to staining. The mouse recombinant monoclonal antibody clone rDNTT/6909 was used as the primary antibody, demonstrating distinct nuclear localization in cortical thymic lymphoblasts.
SDS-PAGE analysis of purified, BSA-free DNTT antibody mouse recombinant mAb clone rDNTT/6909 as confirmation of integrity and purity.
Availability 1-3 business days
Species Reactivity Human
Format Purified
Host Mouse
Clonality Recombinant Mouse Monoclonal
Isotype Mouse IgG1, kappa
Clone Name rDNTT/6909
Purity Protein A/G affinity
UniProt P04053
Localization Nucleus
Applications ELISA (Use BSA-free Format For Coating) :
Immunohistochemistry (FFPE) : 1-2ug/ml
Limitations This DNTT antibody is available for research use only.
Review this product on BioCompare and get a $20 Amazon gift card

Related Products

Description

DNTT antibody, also known as Terminal deoxynucleotidyl transferase antibody, recognizes a specialized DNA polymerase commonly referred to as TdT. The DNTT Antibody Mouse Recombinant MAb Clone rDNTT/6909 targets Terminal deoxynucleotidyl transferase, a nuclear enzyme encoded by the human DNTT gene located on chromosome 10q23-q24. TdT is a member of the DNA polymerase X family and is primarily localized to the nucleus of immature lymphoid cells, where it participates in antigen receptor gene rearrangement. DNTT antibody, also referred to as TdT antibody and Terminal deoxynucleotidyl transferase antibody in the literature, is widely used in research focused on lymphoid development and hematologic malignancies.

Terminal deoxynucleotidyl transferase catalyzes the template-independent addition of deoxynucleotides to the 3-prime hydroxyl termini of DNA. This unique activity is critical during V(D)J recombination in developing B and T lymphocytes, where TdT introduces N-nucleotide additions that significantly enhance antigen receptor diversity. The enzyme contains conserved polymerase domains characteristic of the Pol X family and interacts with components of the recombination machinery, including RAG1 and RAG2 complexes within nuclear recombination centers. A DNTT antibody is therefore valuable for studying early lymphopoiesis, particularly in bone marrow and thymic progenitor populations.

Expression of DNTT is developmentally regulated and largely restricted to immature, pre-B and pre-T lymphoblasts. It is minimally expressed in mature peripheral lymphocytes, making it a well-established marker of lymphoid immaturity. High levels of TdT expression are commonly observed in acute lymphoblastic leukemia and certain lymphoblastic lymphomas, where DNTT antibody detection supports diagnostic and mechanistic investigations. In normal physiology, TdT expression peaks during early lymphoid differentiation and declines as cells undergo maturation and antigen receptor selection.

Structurally, TdT contains a catalytic core domain responsible for nucleotide transfer and regulatory regions that influence substrate selection and protein interactions. Alternative splicing of DNTT can generate isoforms with distinct biochemical properties, potentially influencing nucleotide incorporation efficiency and cellular function. The enzyme operates within the non-homologous end joining pathway, contributing to junctional diversity without requiring a DNA template. Through its central role in adaptive immune repertoire formation, TdT supports immune competence while also contributing to genetic variability that underlies lymphoid neoplasia when dysregulated.

The mouse recombinant monoclonal DNTT antibody clone rDNTT/6909 is suitable for detecting TdT expression in research applications focused on lymphoid differentiation, immune system development, and leukemia biology. This DNTT antibody supports studies examining nuclear localization patterns and the biology of early hematopoietic progenitors. It can be compared with our TdT Antibody (clone TDT/1393) for detection of terminal deoxynucleotidyl transferase in lymphoid precursor cells and hematologic malignancy studies.

Application Notes

Optimal dilution of the DNTT antibody mouse recombinant mAb should be determined by the researcher.

Immunogen

A portion of amino acids 1-100 was used as the immunogen for the DNTT antibody mouse recombinant mAb.

Storage

Aliquot the DNTT antibody and store frozen at -20oC or colder. Avoid repeated freeze-thaw cycles.

Cross
Bulk Quote Request Form
Name*:
Organization*:
Email*:
Phone Number*:
Catalog No.*:
Comments and Specifics(amount, formulation, etc.)*:
Validation code: Captchapackage Image


Can't read the image? click here to refresh.
    *required field

Your bulk quote request has been submitted successfully!

Please contact us if you have any questions.