• Tel: 858.663.9055
  • SeparatorEmail: info@nsjbio.com
  • Tel: 858.663.9055
  • Email: info@nsjbio.com
Home >> Antibodies >> DNMT3B Antibody

DNMT3B Antibody (RQ7164)

  Catalog No Formulation Size Price (USD)  
Image RQ7164 0.5mg/ml if reconstituted with 0.2ml sterile DI water 100 ug 449
Bulk quote request
Flow cytometry testing of human Caco-2 cells with DNMT3B antibody at 1ug/million cells (blocked with goat sera); Red=cells alone, Green=isotype control, Blue= DNMT3B antibody.
Flow cytometry testing of mouse ANA-1 cells with DNMT3B antibody at 1ug/million cells (blocked with goat sera); Red=cells alone, Green=isotype control, Blue= DNMT3B antibody.
Flow cytometry testing of rat C6 cells with DNMT3B antibody at 1ug/million cells (blocked with goat sera); Red=cells alone, Green=isotype control, Blue= DNMT3B antibody.
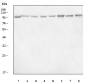
Western blot testing of 1) human HeLa, 2) human Jurkat, 3) human K562, 4) monkey COS-7, 5) rat liver, 6) rat heart, 7) mouse liver and 8) mouse heart tissue lysate with DNMT3B antibody. Predicted molecular weight: 95 kDa.
Availability 1-3 business days
Species Reactivity Human, Mouse, Rat, Monkey
Format Antigen affinity purified
Host Rabbit
Clonality Polyclonal (rabbit origin)
Isotype Rabbit IgG
Purity Antigen affinity purified
Buffer Lyophilized from 1X PBS with 2% Trehalose
UniProt P50570
Applications Western Blot : 0.5-1ug/ml
Flow Cytometry : 1-3ug/million cells
Direct ELISA : 0.1-0.5ug/ml
Limitations This DNMT3B antibody is available for research use only.
Review this product on BioCompare and get a $20 Amazon gift card

Related Products

  • Applications : WB, IHC, ELISA
    Reactivity : Human
  • Applications : WB, FACS, Direct ELISA
    Reactivity : Human, Monkey
  • Applications : WB, FACS, Direct ELISA
    Reactivity : Human, Mouse, Rat, Monkey
  • Applications : WB, FACS, Direct ELISA
    Reactivity : Human, Monkey, Rat

Description

DNA (cytosine-5-)-methyltransferase 3 beta, is an enzyme that in humans in encoded by the DNMT3B gene. CpG methylation is an epigenetic modification that is important for embryonic development, imprinting, and X-chromosome inactivation. Studies in mice have demonstrated that DNA methylation is required for mammalian development. This gene encodes a DNA methyltransferase which is thought to function in de novo methylation, rather than maintenance methylation. The protein localizes primarily to the nucleus and its expression is developmentally regulated. Mutations in this gene cause the immunodeficiency-centromeric instability-facial anomalies (ICF) syndrome. Eight alternatively spliced transcript variants have been described. The full length sequences of variants 4 and 5 have not been determined.

Application Notes

Optimal dilution of the DNMT3B antibody should be determined by the researcher.

Immunogen

Recombinant human DNMT3B protein (amino acids E271-E853) was used as the immunogen for the DNMT3B antibody.

Storage

After reconstitution, the DNMT3B antibody can be stored for up to one month at 4oC. For long-term, aliquot and store at -20oC. Avoid repeated freezing and thawing.

Cross
Bulk Quote Request Form
Name*:
Organization*:
Email*:
Phone Number*:
Catalog No.*:
Comments and Specifics(amount, formulation, etc.)*:
Validation code: Captchapackage Image


Can't read the image? click here to refresh.
    *required field

Your bulk quote request has been submitted successfully!

Please contact us if you have any questions.