• Tel: 858.663.9055
  • SeparatorEmail: info@nsjbio.com
  • Tel: 858.663.9055
  • Email: info@nsjbio.com
Home >> Antibodies >> Dnmt3a Antibody

Dnmt3a Antibody (F40604)

  Catalog No Formulation Size Price (USD)  
Image F40604-0.4ML In 1X PBS, pH 7.4, with 0.09% sodium azide 0.4 ml 439
Image
F40604-0.08ML In 1X PBS, pH 7.4, with 0.09% sodium azide 0.08 ml 205
Bulk quote request
Dnmt3a Antibody Jurkat WB. Western blot analysis of Dnmt3A antibody and Jurkat lysate. Predicted molecular weight: 100-130 kDa.
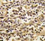
Dnmt3a Antibody Human Kidney Immunohistochemistry. IHC analysis of FFPE human kidney tissue stained with the Dnmt3a antibody.
Availability 1-3 business days
Species Reactivity Human
Predicted Reactivity Mouse, Rat, Chicken
Format Antigen affinity purified
Host Rabbit
Clonality Polyclonal (rabbit origin)
Isotype Rabbit Ig
Purity Antigen affinity
UniProt Q9Y6K1
Applications Western Blot : 1:1000
IHC (Paraffin) : 1:10-1:50
Limitations This Dnmt3a antibody is available for research use only.
Review this product on BioCompare and get a $20 Amazon gift card

Related Products

  • Applications : IHC-P, WB
    Reactivity : Human
    Microvalidated
  • Applications : WB
    Reactivity : Human
  • Applications : WB, ELISA
    Reactivity : Human
    Pred. Reactivity : Mouse, Rat
  • Applications : WB, IHC, ELISA
    Reactivity : Human, Mouse
    Pred. Reactivity : Mouse, Rat, Chicken
  • Applications : WB, IHC, ELISA
    Reactivity : Human
    Pred. Reactivity : Mouse, Rat
  • Applications : WB, ELISA
    Reactivity : Human
    Pred. Reactivity : Mouse, Rat, Chicken
  • Applications : WB, ELISA
    Reactivity : Human
    Pred. Reactivity : Mouse, Rat, Chicken
  • Applications : WB, ELISA
    Reactivity : Human
    Pred. Reactivity : Mouse, Rat, Chicken
  • Applications : WB, IHC, ICC, IF, IP, FACS, ELISA
    Reactivity : Human, Mouse, Rat

Description

CpG methylation is an epigenetic modification that is important for embryonic development, imprinting, and X-chromosome inactivation. Studies in mice have demonstrated that DNA methylation is required for mammalian development. Dnmt3a is a DNA methyltransferase that is thought to function in de novo methylation, rather than maintenance methylation. The protein localizes to the cytoplasm and nucleus and its expression is developmentally regulated. [Wiki]

This antibody can be compared with our DNMT3A Antibody (clone PCRP-DNMT3A-1E2) for consistent detection of DNMT3A across epigenetic regulation and DNA methylation studies.

Application Notes

Titration of the Dnmt3a antibody may be required due to differences in protocols and secondary/substrate sensitivity.

Immunogen

A portion of amino acids 457-486 from the human protein was used as the immunogen for this Dnmt3a antibody.

Storage

Aliquot the Dnmt3a antibody and store frozen at -20oC or colder. Avoid repeated freeze-thaw cycles.

Cross
Bulk Quote Request Form
Name*:
Organization*:
Email*:
Phone Number*:
Catalog No.*:
Comments and Specifics(amount, formulation, etc.)*:
Validation code: Captchapackage Image


Can't read the image? click here to refresh.
    *required field

Your bulk quote request has been submitted successfully!

Please contact us if you have any questions.