• Tel: 858.663.9055
  • SeparatorEmail: info@nsjbio.com
  • Tel: 858.663.9055
  • Email: info@nsjbio.com
Home >> Antibodies >> DNMT3A Antibody / DNA (cytosine-5)-methyltransferase 3A

DNMT3A Antibody / DNA (cytosine-5)-methyltransferase 3A (FY13240)

  Catalog No Formulation Size Price (USD)  
Image FY13240 Adding 0.2 ml of distilled water will yield a concentration of 500 ug/ml 100 ug 449
Bulk quote request
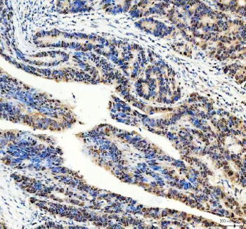
DNMT3A Antibody Colon Cancer Tissue IHC. Immunohistochemistry analysis of FFPE human colon carcinoma tissue using DNMT3A Antibody shows strong nuclear HRP-DAB brown staining in tumor epithelial cells, consistent with localization of DNMT3A / DNA methyltransferase 3 alpha as a nuclear epigenetic regulator. Positive nuclei are distributed throughout malignant glandular structures, while surrounding stromal regions display lower staining intensity. Hematoxylin counterstain provides nuclear contrast and tissue architecture. HIER: heat-mediated antigen retrieval in EDTA buffer (pH 8.0).
DNMT3A Antibody WB. Western blot analysis of DNMT3A using anti-DNMT3A antibody. Electrophoresis was performed on a 10% SDS-PAGE gel at 80V (Stacking gel) / 120V (Resolving gel) for 2 hours. Lane 1: human 293T whole cell lysates, Lane 2: human MCF-7 whole cell lysates, Lane 3: rat testis tissue lysates, Lane 4: mouse testis tissue lysates, Lane 5: mouse NIH/3T3 whole cell lysates. After electrophoresis, proteins were transferred to a nitrocellulose membrane at 150 mA for 50-90 minutes. Blocked the membrane with 5% non-fat milk/TBS for 1.5 hour at RT. The membrane was incubated with rabbit anti-DNMT3A antibody at 0.5 ug/ml overnight at 4oC, then washed with TBS-0.1%Tween 3 times with 5 minutes each and probed with a goat anti-rabbit IgG-HRP secondary antibody at a dilution of 1:5000 for 1.5 hour at RT. The signal was developed using an ECL Plus Western Blotting Substrate. Western blot detection of DNMT3A shows a predominant band at ~120-130 kDa across cell lines, consistent with the DNMT3A1 isoform. The shorter DNMT3A2 isoform (~102 kDa) is not prominent in these samples. Post-translational modifications may further increase apparent molecular weight.
DNMT3A Antibody IF. Immunofluorescent staining of DNMT3A using anti-DNMT3A antibody (green) and anti-Beta Tubulin antibody (red). DNMT3A was detected in an immunocytochemical section of Hela cells. Enzyme antigen retrieval was performed using IHC enzyme antigen retrieval reagent for 15 mins. The cells were blocked with 10% goat serum. And then incubated with 5 ug/ml rabbit anti-DNMT3A antibody and mouse anti-Beta Tubulin antibody overnight at 4oC. DyLight 488 Conjugated Goat Anti-Rabbit IgG and DyLight 550 Conjugated Goat Anti-Mouse IgG were used as secondary antibody at 1:500 dilution and incubated for 30 minutes at 37oC. Visualize using a fluorescence microscope and filter sets appropriate for the label used.
DNMT3A Antibody IP. Immunoprecipitating DNMT3A in MCF-7 whole cell lysate. Western blot analysis of DNMT3A using anti-DNMT3A antibody. Lane 1: MCF-7 whole cell lysates (30ug), Lane 2: Rabbit control IgG instead of anti-DNMT3A antibody in MCF-7 whole cell lysate, Lane 3: anti-DNMT3A antibody (2ug) + MCF-7 whole cell lysate (500ug). After electrophoresis, proteins were transferred to a membrane. Then the membrane was incubated with rabbit anti-DNMT3A antibody at a dilution of 0.5 ug/ml and probed with a goat anti-rabbit IgG-HRP secondary antibody. The signal is developed using ECL Plus Western Blotting Substrate. Western blot detection of DNMT3A shows a predominant band at ~120-130 kDa across cell lines, consistent with the DNMT3A1 isoform. The shorter DNMT3A2 isoform (~102 kDa) is not prominent in this sample. Post-translational modifications may further increase apparent molecular weight.
DNMT3A Antibody 293T FACS. Flow Cytometry analysis of 293T cells using anti-293T cells antibody. Overlay histogram showing 293T cells stained with (Blue line). To facilitate intracellular staining, cells were fixed with 4% paraformaldehyde and permeabilized with permeabilization buffer. The cells were blocked with 10% normal goat serum. And then incubated with rabbit anti-293T cells antibody (1 ug/million cells) for 30 min at 20oC. DyLight 488 conjugated goat anti-rabbit IgG (5-10 ug/million cells) was used as secondary antibody for 30 minutes at 20oC. Isotype control antibody (Green line) was rabbit IgG (1 ug/million cells) used under the same conditions. Unlabelled sample without incubation with primary antibody and secondary antibody (Red line) was used as a blank control.
Availability 1-2 days
Species Reactivity Human, Mouse, Rat
Format Lyophilized
Host Rabbit
Clonality Polyclonal (rabbit origin)
Isotype Rabbit IgG
Purity Immunogen affinity purified
Buffer Each vial contains 4 mg Trehalose, 0.9 mg NaCl, 0.2 mg Na2HPO4.
UniProt Q9Y6K1
Localization Nuclear
Applications Western Blot : 0.25-0.5ug/ml
Immunohistochemistry : 2-5ug/ml
Immunocytochemistry : 5ug/ml
Immunofluorescence : 5ug/ml
Immunoprecipitation : 2-4ug/500ug of lysate
Flow Cytometry : 1-3ug/million cells
ELISA : 0.1-0.5ug/ml
Limitations This DNMT3A antibody is available for research use only.
Review this product on BioCompare and get a $20 Amazon gift card

Related Products

  • Applications : IHC-P, WB
    Reactivity : Human
    Microvalidated
  • Applications : WB
    Reactivity : Human
  • Applications : WB, ELISA
    Reactivity : Human
    Pred. Reactivity : Mouse, Rat
  • Applications : WB, IHC, ELISA
    Reactivity : Human, Mouse
    Pred. Reactivity : Mouse, Rat, Chicken
  • Applications : WB, IHC, ELISA
    Reactivity : Human
    Pred. Reactivity : Mouse, Rat, Chicken
  • Applications : WB, IHC, ELISA
    Reactivity : Human
    Pred. Reactivity : Mouse, Rat
  • Applications : WB, ELISA
    Reactivity : Human
    Pred. Reactivity : Mouse, Rat, Chicken
  • Applications : WB, ELISA
    Reactivity : Human
    Pred. Reactivity : Mouse, Rat, Chicken
  • Applications : WB, ELISA
    Reactivity : Human
    Pred. Reactivity : Mouse, Rat, Chicken

Description

DNMT3A antibody detects DNA (cytosine-5)-methyltransferase 3A, an enzyme responsible for establishing de novo DNA methylation patterns during development and differentiation. The UniProt recommended name is DNA (cytosine-5)-methyltransferase 3A (DNMT3A). This nuclear enzyme catalyzes the transfer of a methyl group to the 5-position of cytosine residues within CpG dinucleotides, a key mechanism of epigenetic gene regulation.

Functionally, DNMT3A antibody identifies an 912-amino-acid methyltransferase that functions together with DNMT3B and DNMT3L to establish DNA methylation marks during embryogenesis. DNMT3A binds chromatin through its PWWP domain and ADD (ATRX-DNMT3-DNMT3L) domain, recognizing histone modifications that guide locus-specific methylation. By controlling methylation of promoters, enhancers, and repetitive elements, DNMT3A ensures stable gene silencing and genome integrity.

The DNMT3A gene is located on chromosome 2p23.3 and is highly expressed in stem cells, germ cells, and hematopoietic progenitors. Expression decreases during differentiation, consistent with its role in developmental programming. DNMT3A activity is essential for imprinting, X-chromosome inactivation, and transposon silencing.

Pathologically, mutations in DNMT3A are among the most common in acute myeloid leukemia (AML), myelodysplastic syndromes, and clonal hematopoiesis. Loss-of-function mutations impair methylation fidelity, causing epigenetic instability and aberrant gene expression. Germline mutations lead to Tatton-Brown-Rahman syndrome, characterized by overgrowth and intellectual disability. Research using DNMT3A antibody supports studies in epigenetics, cancer biology, and developmental regulation.

DNMT3A antibody is validated for western blotting, immunofluorescence, and chromatin immunoprecipitation to detect DNA methyltransferases. NSJ Bioreagents provides DNMT3A antibody reagents optimized for studies in epigenetic modification, chromatin remodeling, and transcriptional silencing.

Structurally, DNA (cytosine-5)-methyltransferase 3A consists of an N-terminal regulatory region containing the PWWP and ADD domains, and a C-terminal catalytic domain with the conserved PCQ motif required for methyl group transfer. DNMT3A forms complexes with DNMT3L to enhance DNA binding and catalytic efficiency. This antibody enables investigation of DNMT3A's function in epigenetic gene silencing and oncogenic transformation. It can be compared with our DNMT3A Antibody (clone PCRP-DNMT3A-1E2) for consistent detection of DNMT3A across epigenetic regulation and DNA methylation studies.

Application Notes

Optimal dilution of the DNMT3A antibody should be determined by the researcher.

Immunogen

E.coli-derived human DNMT3A recombinant protein (Position: M1-Y284) was used as the immunogen for the DNMT3A antibody.

Storage

After reconstitution, the DNMT3A antibody can be stored for up to one month at 4oC. For long-term, aliquot and store at -20oC. Avoid repeated freezing and thawing.

Cross
Bulk Quote Request Form
Name*:
Organization*:
Email*:
Phone Number*:
Catalog No.*:
Comments and Specifics(amount, formulation, etc.)*:
Validation code: Captchapackage Image


Can't read the image? click here to refresh.
    *required field

Your bulk quote request has been submitted successfully!

Please contact us if you have any questions.