• Tel: 858.663.9055
  • SeparatorEmail: info@nsjbio.com
  • Tel: 858.663.9055
  • Email: info@nsjbio.com
Home >> Antibodies >> Dnmt2 Antibody

Dnmt2 Antibody (F40544)

  Catalog No Formulation Size Price (USD)  
Image F40544-0.4ML In 1X PBS, pH 7.4, with 0.09% sodium azide 0.4 ml 439
Image
F40544-0.08ML In 1X PBS, pH 7.4, with 0.09% sodium azide 0.08 ml 205
Bulk quote request
Western blot analysis of Dnmt2 antibody and different lots of mouse cerebellum lysate.
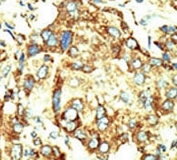
IHC analysis of FFPE human hepatocarcinoma stained with the Dnmt2 antibody
Availability 1-3 business days
Species Reactivity Human, Mouse
Format Purified
Host Rabbit
Clonality Polyclonal (rabbit origin)
Isotype Rabbit Ig
Purity Purified
UniProt O14717
Applications Western Blot : 1:1000
IHC (Paraffin) : 1:50-1:100
Limitations This Dnmt2 antibody is available for research use only.
Review this product on BioCompare and get a $20 Amazon gift card

Related Products

Description

CpG methylation is an epigenetic modification that is important for embryonic development, imprinting, and X-chromosome inactivation. Studies in mice have demonstrated that DNA methylation is required for mammalian development. This gene encodes a protein with similarity to DNA methyltransferases, but this protein does not display methyltransferase activity. The protein strongly binds DNA, suggesting that it may mark specific sequences in the genome. Alternative splicing results in multiple transcript variants encoding different isoforms.

Application Notes

Titration of the Dnmt2 antibody may be required due to differences in protocols and secondary/substrate sensitivity.

Immunogen

A portion of amino acids 346-375 from the human protein was used as the immunogen for this Dnmt2 antibody.

Storage

Aliquot the Dnmt2 antibody and store frozen at -20oC or colder. Avoid repeated freeze-thaw cycles.

Cross
Bulk Quote Request Form
Name*:
Organization*:
Email*:
Phone Number*:
Catalog No.*:
Comments and Specifics(amount, formulation, etc.)*:
Validation code: Captchapackage Image


Can't read the image? click here to refresh.
    *required field

Your bulk quote request has been submitted successfully!

Please contact us if you have any questions.