• Tel: 858.663.9055
  • SeparatorEmail: info@nsjbio.com
  • Tel: 858.663.9055
  • Email: info@nsjbio.com
Home >> Antibodies >> Dnmt2 Antibody / DNA methyltransferase 2 / TRDMT1

Dnmt2 Antibody / DNA methyltransferase 2 / TRDMT1 (FY12215)

  Catalog No Formulation Size Price (USD)  
Image FY12215 Adding 0.2 ml of distilled water will yield a concentration of 500 ug/ml 100 ug 449
Bulk quote request
Flow Cytometry analysis of RM-1 cells using anti-Dnmt2 antibody. Overlay histogram showing RM-1 cells stained with (Blue line). To facilitate intracellular staining, cells were fixed with 4% paraformaldehyde and permeabilized with permeabilization buffer. The cells were blocked with 10% normal goat serum. And then incubated with rabbit anti-Dnmt2 antibody (1 ug/million cells) for 30 min at 20oC. DyLight 488 conjugated goat anti-rabbit IgG (5-10 ug/million cells) was used as secondary antibody for 30 minutes at 20oC. Isotype control antibody (Green line) was rabbit IgG (1 ug/million cells) used under the same conditions. Unlabelled sample without incubation with primary antibody and secondary antibody (Red line) was used as a blank control.
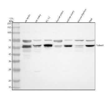
Western blot analysis of Dnmt2 using anti-Dnmt2 antibody. Electrophoresis was performed on a 10% SDS-PAGE gel at 80V (Stacking gel) / 120V (Resolving gel) for 2 hours. Lane 1: rat testis tissue lysates, Lane 2: rat ovary tissue lysates, Lane 3: rat PC-12 whole cell lysates, Lane 4: mouse testis tissue lysates, Lane 5: mouse ovary tissue lysates Lane 6: mouse thymus tissue lysates, Lane 7: mouse TM4 whole cell lysates. After electrophoresis, proteins were transferred to a nitrocellulose membrane at 150 mA for 50-90 minutes. Blocked the membrane with 5% non-fat milk/TBS for 1.5 hour at RT. The membrane was incubated with rabbit anti-Dnmt2 antibody at 0.5 ug/ml overnight at 4oC, then washed with TBS-0.1%Tween 3 times with 5 minutes each and probed with a goat anti-rabbit IgG-HRP secondary antibody at a dilution of 1:5000 for 1.5 hour at RT. The signal was developed using an ECL Plus Western Blotting Substrate. The expected band size for Dnmt2 is at 47 kDa.
Availability 1-2 days
Species Reactivity Mouse, Rat
Format Lyophilized
Host Rabbit
Clonality Polyclonal (rabbit origin)
Isotype Rabbit IgG
Purity Immunogen affinity purified
Buffer Each vial contains 4 mg Trehalose, 0.9 mg NaCl, 0.2 mg Na2HPO4.
UniProt O55055
Applications Western Blot : 0.25-0.5ug/ml
Flow Cytometry : 1-3ug/million cells
ELISA : 0.1-0.5ug/ml
Limitations This Dnmt2 antibody is available for research use only.
Review this product on BioCompare and get a $20 Amazon gift card

Related Products

  • Applications : WB, IHC, ELISA
    Reactivity : Human, Mouse
  • Applications : WB, IHC, ELISA
    Reactivity : Human, Mouse

Description

DNMT2 antibody detects DNA methyltransferase homolog 2, encoded by the TRDMT1 gene on chromosome 10p15.1. DNMT2 antibody is applied in research on epigenetics, RNA modification, and gene regulation. Although named DNA methyltransferase 2, DNMT2 primarily functions as an RNA methyltransferase that catalyzes cytosine-5 methylation at tRNA-Asp and other tRNAs, influencing translation fidelity and stability. Expression is detected in many tissues, including liver, brain, and hematopoietic cells, and is conserved across eukaryotes, reflecting its evolutionary importance.

Structurally, DNMT2 resembles other DNA methyltransferases, with a catalytic domain containing conserved motifs for S-adenosylmethionine (SAM) binding and cytosine methylation. However, it lacks extended regulatory domains found in DNMT1 and DNMT3, resulting in unique substrate specificity. The protein is ~39 kDa and localized predominantly in the nucleus but also found in cytoplasmic compartments associated with tRNA modification.

Functionally, DNMT2 catalyzes methylation of cytosine residues in tRNA, enhancing their stability and protecting against stress-induced cleavage. By modifying tRNAs, DNMT2 indirectly regulates protein synthesis and cellular stress responses. It has roles in development, hematopoiesis, and innate immunity. Knockout models reveal its importance in protecting against viral infections and maintaining genome stability under stress. Researchers use DNMT2 antibody to investigate RNA modifications, epigenetics, and translational control.

Clinically, DNMT2 has been linked to cancer, neurological disease, and viral infection. Altered expression contributes to tumorigenesis, with context-dependent roles as either tumor suppressor or oncogene. DNMT2 polymorphisms are studied for associations with neurodegenerative disorders and metabolic syndromes. Its antiviral roles suggest relevance for infection biology, as methylated tRNAs resist viral endonuclease degradation. NSJ Bioreagents supplies DNMT2 antibody to support research in epigenetics, RNA biology, and disease mechanisms.

Experimentally, DNMT2 antibody is used in western blotting to detect the ~39 kDa protein, in immunofluorescence to study nuclear and cytoplasmic localization, and in immunohistochemistry to analyze tissue-specific expression. RNA immunoprecipitation with DNMT2 antibody helps identify methylated RNA targets.

Application Notes

Optimal dilution of the Dnmt2 antibody should be determined by the researcher.

Immunogen

E.coli-derived mouse DNMT2/TRDMT1 recombinant protein (Position: M16-E391) was used as the immunogen for the Dnmt2 antibody.

Storage

After reconstitution, the Dnmt2 antibody can be stored for up to one month at 4oC. For long-term, aliquot and store at -20oC. Avoid repeated freezing and thawing.

Cross
Bulk Quote Request Form
Name*:
Organization*:
Email*:
Phone Number*:
Catalog No.*:
Comments and Specifics(amount, formulation, etc.)*:
Validation code: Captchapackage Image


Can't read the image? click here to refresh.
    *required field

Your bulk quote request has been submitted successfully!

Please contact us if you have any questions.