• Tel: 858.663.9055
  • SeparatorEmail: info@nsjbio.com
  • Tel: 858.663.9055
  • Email: info@nsjbio.com
Home >> Antibodies >> DNAJB6 Antibody / DnaJ homolog subfamily B member 6

DNAJB6 Antibody / DnaJ homolog subfamily B member 6 (FY12376)

  Catalog No Formulation Size Price (USD)  
Image FY12376 Adding 0.2 ml of distilled water will yield a concentration of 500 ug/ml 100 ug 449
Bulk quote request
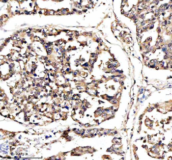
Immunohistochemical staining of DNAJB6 using anti-DNAJB6 antibody. DNAJB6 was detected in a paraffin-embedded section of human lung cancer tissue. Heat mediated antigen retrieval was performed in EDTA buffer (pH 8.0, epitope retrieval solution). The tissue section was blocked with 10% goat serum. The tissue section was then incubated with 2 ug/ml rabbit anti-DNAJB6 antibody overnight at 4oC. Peroxidase Conjugated Goat Anti-rabbit IgG was used as secondary antibody and incubated for 30 minutes at 37oC. The tissue section was developed using an HRP secondary and DAB substrate.
Western blot analysis of DNAJB6 using anti-DNAJB6 antibody. Electrophoresis was performed on a 10% SDS-PAGE gel at 80V (Stacking gel) / 120V (Resolving gel) for 2 hours. Lane 1: rat brain tissue lysates, Lane 2: mouse brain tissue lysates. After electrophoresis, proteins were transferred to a nitrocellulose membrane at 150 mA for 50-90 minutes. Blocked the membrane with 5% non-fat milk/TBS for 1.5 hour at RT. The membrane was incubated with rabbit anti-DNAJB6 antibody at 0.5 ug/ml overnight at 4oC, then washed with TBS-0.1%Tween 3 times with 5 minutes each and probed with a goat anti-rabbit IgG-HRP secondary antibody at a dilution of 1:5000 for 1.5 hour at RT. The signal was developed using an ECL Plus Western Blotting Substrate. The expected molecular weight of DNAJB6 is 27-36 kDa (four isoforms).
Availability 1-2 days
Species Reactivity Human, Mouse, Rat
Format Lyophilized
Host Rabbit
Clonality Polyclonal (rabbit origin)
Isotype Rabbit IgG
Purity Immunogen affinity purified
Buffer Each vial contains 4 mg Trehalose, 0.9 mg NaCl, 0.2 mg Na2HPO4.
UniProt O75190
Localization Cytoplasmic, Nuclear
Applications Western Blot : 0.25-0.5ug/ml
Immunohistochemistry : 2-5ug/ml
Limitations This DNAJB6 antibody is available for research use only.
Review this product on BioCompare and get a $20 Amazon gift card

Description

The DNAJB6 antibody targets DnaJ homolog subfamily B member 6, a molecular chaperone encoded by the DNAJB6 gene. This protein belongs to the Hsp40 (DnaJ) family, which functions as a co-chaperone of Hsp70, facilitating protein folding, quality control, and aggregation prevention. DnaJ homolog subfamily B member 6 plays a key role in maintaining proteostasis and protecting cells from misfolded protein stress. The DNAJB6 antibody enables specific detection of this versatile chaperone, making it an essential reagent for studying protein homeostasis, neurodegeneration, and myopathies.

DnaJ homolog subfamily B member 6 exists in two major isoforms produced by alternative splicing: a long nuclear/cytoplasmic form (DNAJB6a) and a shorter cytoplasmic form (DNAJB6b). Both isoforms cooperate with Hsp70 to stabilize unfolded or aggregation-prone proteins, particularly under stress conditions such as heat shock or oxidative damage. The DNAJB6 antibody detects these isoforms, allowing analysis of expression patterns and subcellular localization in response to proteotoxic stress.

Mutations in DNAJB6 cause limb-girdle muscular dystrophy type D1 (LGMDD1), a progressive neuromuscular disorder characterized by protein aggregation and muscle weakness. The DNAJB6 antibody is crucial for studying the molecular basis of this disease, enabling quantification of mutant and wild-type protein levels and their aggregation propensity. DnaJ homolog subfamily B member 6 has also been shown to suppress polyglutamine aggregation in Huntington's disease models, highlighting its broader neuroprotective role. The DNAJB6 antibody supports investigations into these mechanisms by providing reliable detection in neuronal and muscle tissues.

Beyond its function in proteostasis, DnaJ homolog subfamily B member 6 participates in transcriptional regulation and signal transduction. It interacts with components of the Wnt/beta-catenin pathway, influencing gene expression and cellular differentiation. The DNAJB6 antibody allows exploration of these noncanonical functions, revealing how chaperones integrate protein quality control with developmental signaling. Elevated expression of DNAJB6 has been associated with enhanced stress resistance and reduced metastasis in some cancer cells, further emphasizing its physiological relevance.

The DNAJB6 antibody is validated for western blotting, immunofluorescence, and immunohistochemistry. It provides clear cytoplasmic and nuclear localization depending on isoform distribution. NSJ Bioreagents supplies this antibody as a high-specificity, reproducible reagent for proteostasis and neuromuscular disease research. By enabling comprehensive study of DnaJ homolog subfamily B member 6, the DNAJB6 antibody supports discovery in protein folding, neurodegeneration, and molecular chaperone biology.

Application Notes

Optimal dilution of the DNAJB6 antibody should be determined by the researcher.

Immunogen

A synthetic peptide corresponding to a sequence at the C-terminus of human DNAJB6 was used as the immunogen for the DNAJB6 antibody.

Storage

After reconstitution, the DNAJB6 antibody can be stored for up to one month at 4oC. For long-term, aliquot and store at -20oC. Avoid repeated freezing and thawing.

Cross
Bulk Quote Request Form
Name*:
Organization*:
Email*:
Phone Number*:
Catalog No.*:
Comments and Specifics(amount, formulation, etc.)*:
Validation code: Captchapackage Image


Can't read the image? click here to refresh.
    *required field

Your bulk quote request has been submitted successfully!

Please contact us if you have any questions.