• Tel: 858.663.9055
  • SeparatorEmail: info@nsjbio.com
  • Tel: 858.663.9055
  • Email: info@nsjbio.com
Home >> Antibodies >> DNAJA2 Antibody

DNAJA2 Antibody (RQ5972)

  Catalog No Formulation Size Price (USD)  
Image RQ5972 0.5mg/ml if reconstituted with 0.2ml sterile DI water 100 ug 449
Bulk quote request
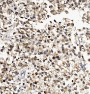
IHC staining of FFPE human rectal cancer with DNAJA2 antibody. HIER: boil tissue sections in pH8 EDTA for 20 min and allow to cool before testing.
IHC staining of FFPE human testicular cancer with DNAJA2 antibody. HIER: boil tissue sections in pH8 EDTA for 20 min and allow to cool before testing.
IHC staining of FFPE mouse testis with DNAJA2 antibody. HIER: boil tissue sections in pH8 EDTA for 20 min and allow to cool before testing.
IHC staining of FFPE rat testis with DNAJA2 antibody. HIER: boil tissue sections in pH8 EDTA for 20 min and allow to cool before testing.
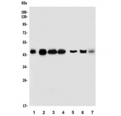
Western blot testing of human 1) Jurkat, 2) HepG2, 3) K562, 4) Raji, 5) rat kidney, 6) mouse testis and 7) mouse NIH 3T3 lysate with DNAJA2 antibody. Predicted molecular weight ~46 kDa.
Flow cytometry testing of human A431 cells with DNAJA2 antibody at 1ug/million cells (blocked with goat sera); Red=cells alone, Green=isotype control, Blue= DNAJA2 antibody.
Flow cytometry testing of mouse ANA-1 cells with DNAJA2 antibody at 1ug/million cells (blocked with goat sera); Red=cells alone, Green=isotype control, Blue= DNAJA2 antibody.
Flow cytometry testing of rat NRK cells with DNAJA2 antibody at 1ug/million cells (blocked with goat sera); Red=cells alone, Green=isotype control, Blue= DNAJA2 antibody.
Availability 1-3 business days
Species Reactivity Human, Mouse, Rat
Format Antigen affinity purified
Host Rabbit
Clonality Polyclonal (rabbit origin)
Isotype Rabbit IgG
Purity Affinity purified
Buffer Lyophilized from 1X PBS with 2% Trehalose and 0.025% sodium azide
UniProt O60884
Applications Western Blot : 0.5-1ug/ml
Immunohistochemistry : 1-2ug/ml
Flow Cytometry : 1-3ug/million cells
Direct ELISA : 0.1-0.5ug/ml
Limitations This DNAJA2 antibody is available for research use only.
Review this product on BioCompare and get a $20 Amazon gift card

Related Products

Description

DnaJ homolog subfamily A member 2 is a protein that in humans is encoded by the DNAJA2 gene. It is mapped to 16q11.2. The protein encoded by this gene belongs to the evolutionarily conserved DNAJ/HSP40 family of proteins, which regulate molecular chaperone activity by stimulating ATPase activity. DNAJ proteins may have up to 3 distinct domains: a conserved 70-amino acid J domain, usually at the N terminus; a glycine/phenylalanine (G/F)-rich region; and a cysteine-rich domain containing 4 motifs resembling a zinc finger domain. The product of this gene works as a cochaperone of Hsp70s in protein folding and mitochondrial protein import in vitro.

Application Notes

Optimal dilution of the DNAJA2 antibody should be determined by the researcher.

Immunogen

Recombinant human protein (amino acids M1-N140) was used as the immunogen for the DNAJA2 antibody.

Storage

After reconstitution, the DNAJA2 antibody can be stored for up to one month at 4oC. For long-term, aliquot and store at -20oC. Avoid repeated freezing and thawing.

Cross
Bulk Quote Request Form
Name*:
Organization*:
Email*:
Phone Number*:
Catalog No.*:
Comments and Specifics(amount, formulation, etc.)*:
Validation code: Captchapackage Image


Can't read the image? click here to refresh.
    *required field

Your bulk quote request has been submitted successfully!

Please contact us if you have any questions.