• Tel: 858.663.9055
  • SeparatorEmail: info@nsjbio.com
  • Tel: 858.663.9055
  • Email: info@nsjbio.com
Home >> Antibodies >> DLD Antibody

DLD Antibody (R31927)

  Catalog No Formulation Size Price (USD)  
Image R31927 0.5mg/ml if reconstituted with 0.2ml sterile DI water 100 ug 449
Bulk quote request
Immunofluorescent staining of FFPE human MCF7 cells with DLD antibody (green) and DAPI nuclear stain (blue). HIER: steam section in pH6 citrate buffer for 20 min.
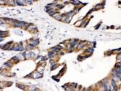
IHC testing of FFPE human intestinal cancer with DLD antibody. HIER: Boil the paraffin sections in pH 6, 10mM citrate buffer for 20 minutes and allow to cool prior to staining.
Western blot testing of 1) rat brain, 2) rat liver, 3) rat testis, 4) mouse ovary, 5) human HeLa and 6) SMMC lysate with DLD antibody. Predicted molecular weight ~54 kDa.
Flow cytometry testing of human A549 cells with DLD antibody at 1ug/million cells (blocked with goat sera); Red=cells alone, Green=isotype control, Blue= DLD antibody.
Availability 1-3 business days
Species Reactivity Human, Mouse, Rat
Format Antigen affinity purified
Host Rabbit
Clonality Polyclonal (rabbit origin)
Isotype Rabbit IgG
Purity Antigen affinity
Buffer Lyophilized from 1X PBS with 2.5% BSA and 0.025% sodium azide
UniProt P09622
Localization Cytoplasmic
Applications Western Blot : 0.1-0.5ug/ml
Immunohistochemistry (FFPE) : 0.5-1ug/ml
Immunofluorescence (FFPE) : 2-4ug/ml
Flow Cytometry : 1-3ug/million cells
Limitations This DLD antibody is available for research use only.
Review this product on BioCompare and get a $20 Amazon gift card

Related Products

Description

DLD, Dihydrolipoamide dehydrogenase, is a component of the pyruvate dehydrogenase complex, the alpha-ketoglutarate dehydrogenase complex, and the branched-chain alpha-keto acid dehydrogenase complex (BCKD). DLD is a flavoprotein enzyme that degrades lipoamide, and produces dihydrolipoamide. The DLD gene contains 14 exons. The gene is localized to 7q31-q32. This gene encodes the L protein of the mitochondrial glycine cleavage system. The L protein, also named dihydrolipoamide dehydrogenase, is also a component of the pyruvate dehydrogenase complex, the alpha-ketoglutarate dehydrogenase complex, and the branched-chain alpha-keto acide dehydrogenase complex.

Application Notes

Optimal dilution of the DLD antibody should be determined by the researcher.

Immunogen

Amino acids 300-509 of human DLD were used as the immunogen for the DLD antibody.

Storage

After reconstitution, the DLD antibody can be stored for up to one month at 4oC. For long-term, aliquot and store at -20oC. Avoid repeated freezing and thawing.

Cross
Bulk Quote Request Form
Name*:
Organization*:
Email*:
Phone Number*:
Catalog No.*:
Comments and Specifics(amount, formulation, etc.)*:
Validation code: Captchapackage Image


Can't read the image? click here to refresh.
    *required field

Your bulk quote request has been submitted successfully!

Please contact us if you have any questions.