• Tel: 858.663.9055
  • SeparatorEmail: info@nsjbio.com
  • Tel: 858.663.9055
  • Email: info@nsjbio.com
Home >> Antibodies >> DIS3 Antibody / Exosome complex exonuclease RRP44

DIS3 Antibody / Exosome complex exonuclease RRP44 (FY13219)

  Catalog No Formulation Size Price (USD)  
Image FY13219 Adding 0.2 ml of distilled water will yield a concentration of 500 ug/ml 100 ug 449
Bulk quote request
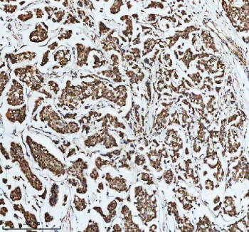
Immunohistochemical staining of DIS3 using anti-DIS3 antibody. DIS3 was detected in a paraffin-embedded section of human breast cancer tissue. Heat mediated antigen retrieval was performed in EDTA buffer (pH 8.0, epitope retrieval solution). The tissue section was blocked with 10% goat serum. The tissue section was then incubated with 2 ug/ml rabbit anti-DIS3 antibody overnight at 4oC. Peroxidase Conjugated Goat Anti-rabbit IgG was used as secondary antibody and incubated for 30 minutes at 37oC. The tissue section was developed using an HRP secondary and DAB substrate.
Western blot analysis of DIS3 using anti-DIS3 antibody. Lane 1: human Hela whole cell lysates, Lane 2: human Raji whole cell lysates, Lane 3: human MCF-7 whole cell lysates. After electrophoresis, proteins were transferred to a nitrocellulose membrane at 150 mA for 50-90 minutes. Blocked the membrane with 5% non-fat milk/TBS for 1.5 hour at RT. The membrane was incubated with rabbit anti-DIS3 antibody at 0.5 ug/ml overnight at 4oC, then washed with TBS-0.1%Tween 3 times with 5 minutes each and probed with a goat anti-rabbit IgG-HRP secondary antibody at a dilution of 1:5000 for 1.5 hour at RT. The signal was developed using enhanced chemiluminescent. A specific band was detected for DIS3 at approximately 109 kDa. The expected molecular weight of DIS3 is ~109 kDa.
Immunohistochemical staining of DIS3 using anti-DIS3 antibody. DIS3 was detected in a paraffin-embedded section of human breast cancer tissue. Heat mediated antigen retrieval was performed in EDTA buffer (pH 8.0, epitope retrieval solution). The tissue section was blocked with 10% goat serum. The tissue section was then incubated with 2 ug/ml rabbit anti-DIS3 antibody overnight at 4oC. Peroxidase Conjugated Goat Anti-rabbit IgG was used as secondary antibody and incubated for 30 minutes at 37oC. The tissue section was developed using an HRP secondary and DAB substrate.
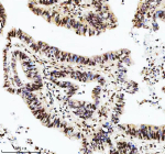
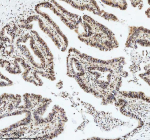
Immunohistochemical staining of DIS3 using anti-DIS3 antibody. DIS3 was detected in a paraffin-embedded section of human colon cancer tissue. Heat mediated antigen retrieval was performed in EDTA buffer (pH 8.0, epitope retrieval solution). The tissue section was blocked with 10% goat serum. The tissue section was then incubated with 2 ug/ml rabbit anti-DIS3 antibody overnight at 4oC. Peroxidase Conjugated Goat Anti-rabbit IgG was used as secondary antibody and incubated for 30 minutes at 37oC. The tissue section was developed using an HRP secondary and DAB substrate.
Immunohistochemical staining of DIS3 using anti-DIS3 antibody. DIS3 was detected in a paraffin-embedded section of human colon cancer tissue. Heat mediated antigen retrieval was performed in EDTA buffer (pH 8.0, epitope retrieval solution). The tissue section was blocked with 10% goat serum. The tissue section was then incubated with 2 ug/ml rabbit anti-DIS3 antibody overnight at 4oC. Peroxidase Conjugated Goat Anti-rabbit IgG was used as secondary antibody and incubated for 30 minutes at 37oC. The tissue section was developed using an HRP secondary and DAB substrate.
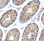
Immunohistochemical staining of DIS3 using anti-DIS3 antibody. DIS3 was detected in a paraffin-embedded section of mouse testis tissue. Heat mediated antigen retrieval was performed in EDTA buffer (pH 8.0, epitope retrieval solution). The tissue section was blocked with 10% goat serum. The tissue section was then incubated with 2 ug/ml rabbit anti-DIS3 antibody overnight at 4oC. Peroxidase Conjugated Goat Anti-rabbit IgG was used as secondary antibody and incubated for 30 minutes at 37oC. The tissue section was developed using an HRP secondary and DAB substrate.
Immunohistochemical staining of DIS3 using anti-DIS3 antibody. DIS3 was detected in a paraffin-embedded section of mouse testis tissue. Heat mediated antigen retrieval was performed in EDTA buffer (pH 8.0, epitope retrieval solution). The tissue section was blocked with 10% goat serum. The tissue section was then incubated with 2 ug/ml rabbit anti-DIS3 antibody overnight at 4oC. Peroxidase Conjugated Goat Anti-rabbit IgG was used as secondary antibody and incubated for 30 minutes at 37oC. The tissue section was developed using an HRP secondary and DAB substrate.
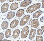
Immunohistochemical staining of DIS3 using anti-DIS3 antibody. DIS3 was detected in a paraffin-embedded section of rat testis tissue. Heat mediated antigen retrieval was performed in EDTA buffer (pH 8.0, epitope retrieval solution). The tissue section was blocked with 10% goat serum. The tissue section was then incubated with 2 ug/ml rabbit anti-DIS3 antibody overnight at 4oC. Peroxidase Conjugated Goat Anti-rabbit IgG was used as secondary antibody and incubated for 30 minutes at 37oC. The tissue section was developed using an HRP secondary and DAB substrate.
Immunohistochemical staining of DIS3 using anti-DIS3 antibody. DIS3 was detected in a paraffin-embedded section of rat testis tissue. Heat mediated antigen retrieval was performed in EDTA buffer (pH 8.0, epitope retrieval solution). The tissue section was blocked with 10% goat serum. The tissue section was then incubated with 2 ug/ml rabbit anti-DIS3 antibody overnight at 4oC. Peroxidase Conjugated Goat Anti-rabbit IgG was used as secondary antibody and incubated for 30 minutes at 37oC. The tissue section was developed using an HRP secondary and DAB substrate.
Immunofluorescent staining of DIS3 using anti-DIS3 antibody and anti-Beta Tubulin antibody. DIS3 was detected in immunocytochemical section of HELA cell. Enzyme antigen retrieval was performed using IHC enzyme antigen retrieval reagent for 15 mins. The cells were blocked with 10% goat serum. And then incubated with 5 ug/ml rabbit anti-DIS3 antibody and mouse anti-Beta Tubulin antibody overnight at 4oC. DyLight 488 Conjugated Goat Anti-Rabbit IgG and DyLight 594 Conjugated Goat Anti-Mouse IgG were used as secondary antibody at 1:500 dilution and incubated for 30 minutes at 37oC. Visualize using a fluorescence microscope and filter sets appropriate for the label used.
Flow cytometry analysis of fixed and permeabilized human MCF7 cells with DIS3 antibody at 1ug/million cells (blocked with goat sera); Red=cells alone, Green=isotype control, Blue= DIS3 antibody.
Availability 1-2 days
Species Reactivity Human, Mouse, Rat
Format Lyophilized
Host Rabbit
Clonality Polyclonal (rabbit origin)
Isotype Rabbit IgG
Purity Immunogen affinity purified
Buffer Each vial contains 4 mg Trehalose, 0.9 mg NaCl, 0.2 mg Na2HPO4.
UniProt Q9Y2L1
Localization Nuclear, cytoplasmic
Applications ELISA : 0.1-0.5ug/ml
Flow Cytometry : 1-3ug/million cells
Immunofluorescence : 5ug/ml
Immunohistochemistry : 2-5ug/ml
Immunocytochemistry : 5ug/ml
Western Blot : 0.25-0.5ug/ml
Limitations This DIS3 antibody is available for research use only.
Review this product on BioCompare and get a $20 Amazon gift card

Related Products

  • Applications : WB, IP, IF, FACS, Direct ELISA
    Reactivity : Human, Rat

Description

DIS3 antibody detects Exosome complex exonuclease RRP44, a catalytic subunit of the RNA exosome complex responsible for RNA degradation and processing. The UniProt recommended name is Exosome complex exonuclease RRP44 (DIS3). This enzyme functions as both a 3'-5' exoribonuclease and endoribonuclease, ensuring precise control of RNA quality, turnover, and surveillance in eukaryotic cells.

Functionally, DIS3 antibody identifies a 958-amino-acid cytoplasmic and nuclear protein that associates with the multi-protein RNA exosome complex. DIS3 degrades defective, misprocessed, or surplus RNA species, including rRNA, snoRNA, snRNA, and mRNA. It possesses two catalytic domains�an RNB domain for exonucleolytic degradation and a PIN domain for endonucleolytic cleavage�allowing versatile RNA processing under various physiological conditions. By maintaining RNA homeostasis, DIS3 contributes to normal gene expression and cellular viability.

The DIS3 gene is located on chromosome 13q22.1 and is expressed ubiquitously in proliferative tissues. Its activity is regulated through complex assembly, post-translational modification, and subcellular localization. DIS3 operates in both the nucleus, where it processes pre-rRNA and small noncoding RNAs, and the cytoplasm, where it degrades aberrant mRNA species.

Pathologically, mutations in DIS3 cause multiple myeloma, acute myeloid leukemia, and related hematologic malignancies. These mutations impair RNA degradation, leading to accumulation of defective transcripts and deregulated gene expression. Loss of DIS3 function disrupts RNA quality control and contributes to oncogenic transformation. Research using DIS3 antibody supports studies in RNA metabolism, gene regulation, and cancer genomics.

DIS3 antibody is validated for western blotting, immunofluorescence, and immunohistochemistry to detect exosome complex components. NSJ Bioreagents provides DIS3 antibody reagents optimized for research in RNA processing, degradation pathways, and hematologic cancer biology.

Structurally, Exosome complex exonuclease RRP44 contains an N-terminal PIN domain for endonucleolytic activity and a central RNB catalytic core typical of RNase II family enzymes. The C-terminal S1 and CSD domains enable RNA substrate recognition and binding. This antibody aids in investigating DIS3's role in RNA exosome-mediated decay and RNA quality control in normal and malignant cells.

Application Notes

Optimal dilution of the DIS3 antibody should be determined by the researcher.

Immunogen

E.coli-derived human DIS3 recombinant protein (Position: H43-K878) was used as the immunogen for the DIS3 antibody.

Storage

After reconstitution, the DIS3 antibody can be stored for up to one month at 4oC. For long-term, aliquot and store at -20oC. Avoid repeated freezing and thawing.

Cross
Bulk Quote Request Form
Name*:
Organization*:
Email*:
Phone Number*:
Catalog No.*:
Comments and Specifics(amount, formulation, etc.)*:
Validation code: Captchapackage Image


Can't read the image? click here to refresh.
    *required field

Your bulk quote request has been submitted successfully!

Please contact us if you have any questions.