• Tel: 858.663.9055
  • SeparatorEmail: info@nsjbio.com
  • Tel: 858.663.9055
  • Email: info@nsjbio.com
Home >> Antibodies >> Dihydroorotate dehydrogenase Antibody / DHODH

Dihydroorotate dehydrogenase Antibody / DHODH [clone 2G7] (RQ6735)

  Catalog No Formulation Size Price (USD)  
Image RQ6735 0.5mg/ml if reconstituted with 0.2ml sterile DI water 100 ug 449
Bulk quote request
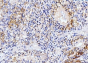
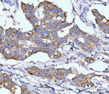
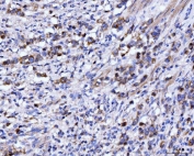
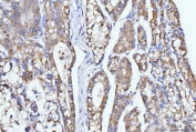
IHC staining of FFPE human breast cancer tissue with Dihydroorotate dehydrogenase antibody. HIER: boil tissue sections in pH8 EDTA for 20 min and allow to cool before testing.
IHC staining of FFPE human liver cancer tissue with Dihydroorotate dehydrogenase antibody. HIER: boil tissue sections in pH8 EDTA for 20 min and allow to cool before testing.
IHC staining of FFPE human renal carcinoma tissue with Dihydroorotate dehydrogenase antibody. HIER: boil tissue sections in pH8 EDTA for 20 min and allow to cool before testing.
IHC staining of FFPE human gastric cancer tissue with Dihydroorotate dehydrogenase antibody. HIER: boil tissue sections in pH8 EDTA for 20 min and allow to cool before testing.
IHC staining of FFPE human placental tissue with Dihydroorotate dehydrogenase antibody. HIER: boil tissue sections in pH8 EDTA for 20 min and allow to cool before testing.
Western blot testing of 1) human HeLa, 2) human A431, 3) human HepG2, 4) human MCF7, 5) rat testis, 6) rat liver, 7) mouse testis and 8) mouse liver tissue lysate with Dihydroorotate dehydrogenase antibody. Predicted molecular weight ~43 kDa.
Availability 1-3 business days
Species Reactivity Human, Mouse, Rat
Format Purified
Host Mouse
Clonality Monoclonal (mouse origin)
Isotype Mouse IgG2b
Clone Name 2G7
Purity Affinity purified
Buffer Lyophilized from 1X PBS with 2% Trehalose
UniProt Q02127
Localization Cytoplasmic, nuclear
Applications Western Blot : 1-2ug/ml
Immunohistochemistry (FFPE) : 2-5ug/ml
Limitations This Dihydroorotate dehydrogenase antibody is available for research use only.
Review this product on BioCompare and get a $20 Amazon gift card

Related Products

  • Applications : WB, IF, FACS
    Reactivity : Human, Mouse, Rat
  • Applications : WB, IHC-P
    Reactivity : Human, Mouse, Rat

Description

Dihydroorotate dehydrogenase (DHODH) is an enzyme that in humans is encoded by the DHODH gene on chromosome 16. The protein encoded by this gene catalyzes the fourth enzymatic step, the ubiquinone-mediated oxidation of dihydroorotate to orotate, in de novo pyrimidine biosynthesis. This protein is a mitochondrial protein located on the outer surface of the inner mitochondrial membrane.

Application Notes

Optimal dilution of the Dihydroorotate dehydrogenase antibody should be determined by the researcher.

Immunogen

N-terminal region amino acids RVFRLPEDQAVINRYGFNSHGLSVVEHRLRARQQKQAKLTE D from the human protein were used as the immunogen for the Dihydroorotate dehydrogenase antibody.

Storage

After reconstitution, the Dihydroorotate dehydrogenase antibody can be stored for up to one month at 4oC. For long-term, aliquot and store at -20oC. Avoid repeated freezing and thawing.

Cross
Bulk Quote Request Form
Name*:
Organization*:
Email*:
Phone Number*:
Catalog No.*:
Comments and Specifics(amount, formulation, etc.)*:
Validation code: Captchapackage Image


Can't read the image? click here to refresh.
    *required field

Your bulk quote request has been submitted successfully!

Please contact us if you have any questions.