• Tel: 858.663.9055
  • SeparatorEmail: info@nsjbio.com
  • Tel: 858.663.9055
  • Email: info@nsjbio.com
Home >> Antibodies >> Dicer Antibody

Dicer Antibody (R30146)

  Catalog No Formulation Size Price (USD)  
Image R30146 0.5mg/ml if reconstituted with 0.2ml sterile DI water 100 ug 449
Bulk quote request
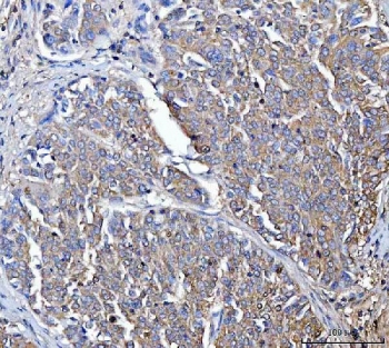
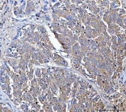
IHC staining of FFPE human breast cancer tissue with Dicer antibody. HIER: boil tissue sections in pH8 EDTA for 20 min and allow to cool before testing.
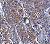
IHC staining of FFPE human penis squamous cell carcinoma tissue with Dicer antibody. HIER: boil tissue sections in pH8 EDTA for 20 min and allow to cool before testing.
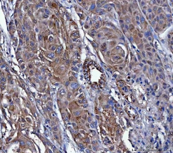
IHC staining of FFPE human cervical cancer tissue with Dicer antibody. HIER: boil tissue sections in pH8 EDTA for 20 min and allow to cool before testing.
Western blot testing of 1) human HeLa, 2) human K562, 3) human HepG2, 4) human 293T, 5) rat C6, 6) mouse brain and 7) mouse NIH 3T3 cell lysate with Dicer antibody. Expected molecular weight: 219-250 kDa.
Flow cytometry testing of human MCF-7 cells with Dicer antibody at 1ug/million cells (blocked with goat sera); Red=cells alone, Green=isotype control, Blue= Dicer antibody.
Availability 1-3 business days
Species Reactivity Human, Mouse, Rat
Format Antigen affinity purified
Host Rabbit
Clonality Polyclonal (rabbit origin)
Isotype Rabbit IgG
Purity Antigen affinity
Buffer Lyophilized from 1X PBS with 2% Trehalose
Gene ID 23405
Localization Cytoplasmic
Applications Western Blot : 0.5-1ug/ml
Immunohistochemistry (FFPE) : 1-2ug/ml
Flow Cytometry : 1-3ug/million cells
Limitations This Dicer antibody is available for research use only.
Review this product on BioCompare and get a $20 Amazon gift card

Related Products

  • Applications : WB, ELISA
    Reactivity : Human
    Pred. Reactivity : Mouse, Bovine, Zebrafish
  • Applications : WB, IF, FACS, Direct ELISA
    Reactivity : Human, Mouse
  • Applications : WB
    Reactivity : Zebrafish

Description

Dicer is an enzyme that in humans is encoded by the DICER1 gene. It is mapped to 14q32.13. The gene, a member of the ribonuclease III (RNaseIII) family, is involved in the generation of microRNAs (miRNAs), which modulate gene expression at the posttranscriptional level. The enzyme possesses an RNA helicase motif containing a DEXH box in its amino terminus and an RNA motif in the carboxy terminus. It is required by the RNA interference and small temporal RNA (stRNA) pathways to produce the active small RNA component that represses gene expression. In addition, it is required for formation of the RNA induced silencing complex (RISC). Dicer also cleaves double-stranded RNA to produce short interfering RNAs (siRNAs) which target the selective destruction of complementary RNAs.

Application Notes

The stated application concentrations are suggested starting points. Titration of the Dicer antibody may be required due to differences in protocols and secondary/substrate sensitivity.

Immunogen

Human partial recombinant protein (AA 1-195) was used as the immunogen for this Dicer antibody.

Storage

After reconstitution, the Dicer antibody can be stored for up to one month at 4oC. For long-term, aliquot and store at -20oC. Avoid repeated freezing and thawing.

Cross
Bulk Quote Request Form
Name*:
Organization*:
Email*:
Phone Number*:
Catalog No.*:
Comments and Specifics(amount, formulation, etc.)*:
Validation code: Captchapackage Image


Can't read the image? click here to refresh.
    *required field

Your bulk quote request has been submitted successfully!

Please contact us if you have any questions.