• Tel: 858.663.9055
  • SeparatorEmail: info@nsjbio.com
  • Tel: 858.663.9055
  • Email: info@nsjbio.com
Home >> Antibodies >> DHX15 Antibody / Prp43

DHX15 Antibody / Prp43 (RQ5627)

  Catalog No Formulation Size Price (USD)  
Image RQ5627 0.5mg/ml if reconstituted with 0.2ml sterile DI water 100 ug 449
Bulk quote request
Immunofluorescent staining of FFPE human U-2 OS cells with DHX15 antibody (green) and Beta Tubulin mAb (red). HIER: steam section in pH6 citrate buffer for 20 min.
IHC staining of FFPE human prostate cancer tissue with DHX15 antibody. HIER: boil tissue sections in pH8 EDTA for 20 min and allow to cool before testing.
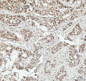
IHC staining of FFPE human liver cancer tissue with DHX15 antibody. HIER: boil tissue sections in pH8 EDTA for 20 min and allow to cool before testing.
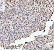
IHC staining of FFPE human testicular germ cell tumor tissue with DHX15 antibody. HIER: boil tissue sections in pH8 EDTA for 20 min and allow to cool before testing.
IHC staining of FFPE human colorectal adenocarcinoma tissue with DHX15 antibody. HIER: boil tissue sections in pH8 EDTA for 20 min and allow to cool before testing.
Western blot testing of 1) human HeLa, 2) human 293T, 3) human Caco-2, 4) human HEL, 5) human RT4, 6) human A549, 7) human A431, 8) human U-251, 9) rat C6 and 10) mouse thymus tissue lysate with DHX15 antibody. Predicted molecular weight ~91 kDa.
Flow cytometry testing of fixed and permeabilized human HeLa cells with DHX15 antibody at 1ug/million cells (blocked with goat sera); Red=cells alone, Green=isotype control, Blue= DHX15 antibody.
Availability 1-3 business days
Species Reactivity Human, Mouse, Rat
Format Antigen affinity purified
Host Rabbit
Clonality Polyclonal
Isotype Rabbit IgG
Purity Affinity purified
Buffer Lyophilized from 1X PBS with 2% Trehalose
UniProt O43143
Localization Nuclear
Applications Western Blot : 0.5-1ug/ml
Immunohistochemistry : 2-5ug/ml
Immunofluorescence : 5ug/ml
Flow Cytometry : 1-3ug/million cells
Limitations This DHX15 antibody is available for research use only.
Review this product on BioCompare and get a $20 Amazon gift card

Description

Putative pre-mRNA-splicing factor ATP-dependent RNA helicase DHX15 is an enzyme that in humans is encoded by the DHX15 gene. It is mapped to 4p15.2. The protein encoded by this gene is a putative ATP-dependent RNA helicase implicated in pre-mRNA splicing.

Application Notes

Optimal dilution of the DHX15 antibody should be determined by the researcher.

Immunogen

Amino acids DIKPEWLVKIAPQYYDMSNFPQCEAKRQLDRIIAKLQSKEYSQY from the human protein were used as the immunogen for the DHX15 antibody.

Storage

After reconstitution, the DHX15 antibody can be stored for up to one month at 4oC. For long-term, aliquot and store at -20oC. Avoid repeated freezing and thawing.

Cross
Bulk Quote Request Form
Name*:
Organization*:
Email*:
Phone Number*:
Catalog No.*:
Comments and Specifics(amount, formulation, etc.)*:
Validation code: Captchapackage Image


Can't read the image? click here to refresh.
    *required field

Your bulk quote request has been submitted successfully!

Please contact us if you have any questions.