• Tel: 858.663.9055
  • SeparatorEmail: info@nsjbio.com
  • Tel: 858.663.9055
  • Email: info@nsjbio.com
Home >> Antibodies >> DSG3 Antibody - Microarray Validated | Desmoglein 3

DSG3 Antibody - Microarray Validated | Desmoglein 3 [clone DSG3/2840] (V7721)

  Catalog No Formulation Size Price (USD)  
Image V7721-100UG 0.2 mg/ml in 1X PBS with 0.1 mg/ml BSA (US sourced) and 0.05% sodium azide 100 ug 559
Image
V7721-20UG 0.2 mg/ml in 1X PBS with 0.1 mg/ml BSA (US sourced) and 0.05% sodium azide 20 ug 259
Image
V7721SAF-100UG 1 mg/ml in 1X PBS; BSA free, sodium azide free 100 ug 559
Microvalidated
Bulk quote request
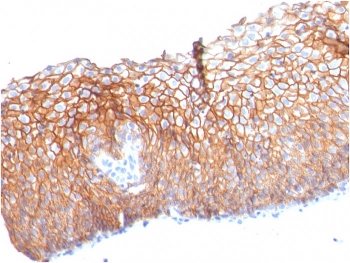
Immunohistochemistry of DSG3 Antibody - Microarray Validated clone DSG3/2840 in human esophageal carcinoma tissue. Formalin-fixed, paraffin-embedded esophageal carcinoma demonstrates strong membranous staining of tumor epithelial cells, consistent with Desmoglein 3 localization at desmosomal cell-cell junctions in stratified squamous epithelium-derived malignancy. Heat-induced epitope retrieval was performed by boiling tissue sections in pH 9 10mM Tris with 1mM EDTA for 10-20 minutes followed by cooling prior to staining. The microarray validated monoclonal antibody clone DSG3/2840 was used as the primary antibody.
IHC staining of FFPE human esophageal carcinoma with DSG3 antibody-microarray validated clone DSG3/2840. HIER: boil tissue sections in pH 9 10mM Tris with 1mM EDTA for 10-20 min and allow to cool before testing.
Human protein microarray specificity validation of DSG3 Antibody - Microarray Validated clone DSG3/2840. Analysis was performed using the HuProt(TM) microarray containing more than 19,000 full-length human proteins. The antibody demonstrates the highest signal intensity for Desmoglein 3, ranking first among all proteins tested with a strong Z-score and substantial separation from the next highest ranked proteins, supporting high target specificity of clone DSG3/2840.
Z- and S-score explanation: The Z-score represents the strength of signal generated when the antibody, together with a fluorescently labeled anti-IgG secondary antibody, binds to a specific protein on the HuProt(TM) array. Z-scores are expressed in units of standard deviations above the mean signal of all proteins on the array. Proteins are ranked in descending order according to Z-score. The S-score represents the difference in Z-scores between adjacent ranked proteins and reflects the relative specificity of the antibody for its intended target.
SDS-PAGE analysis of purified, BSA-free DSG3 antibody-microarray validated clone DSG3/2840 as confirmation of integrity and purity.
Availability 1-3 business days
Species Reactivity Human
Format Purified
Host Mouse
Clonality Monoclonal (mouse origin)
Isotype Mouse IgG1, kappa
Clone Name DSG3/2840
Purity Protein G affinity chromatography
UniProt P32926
Localization Cell surface
Applications Immunohistochemistry (FFPE) : 1-2ug/ml
Limitations This DSG3 antibody is available for research use only.
Review this product on BioCompare and get a $20 Amazon gift card

Related Products

Description

Recognizes a protein of 130kDa, identified as Desmoglein-3 (DSG3). This MAb is highly specific to Desmoglein-3 and does not cross-react with other members of the Desmoglein-family. DSG3 is a calcium-binding transmembrane glycoprotein component of desmosomes in vertebrate epithelial cells. Research has shown that DSG3 has a very high sensitivity (80%) and specificity (100%) in recognizing squamous cell carcinoma (SqCC). Therefore, DSG3 is considered a very important marker for lung SqCC and can be a useful ancillary marker to separate SqCC from other subtypes of lung cancer. Moreover, studies have shown that DSG3 expression in lung SqCC may indicate a poor prognosis.

Explore our Desmoglein 3 Antibody - Human Protein Microarray Validated Clone DSG3/2838 page for a broader view of DSG3 expression in stratified epithelia with supporting microarray specificity validation data.

Application Notes

Optimal dilution of the DSG3 antibody-microarray validated clone DSG3/2840 should be determined by the researcher.

Immunogen

A recombinant human partial protein (amino acids 379-491) was used as the immunogen for the DSG3 antibody-microarray validated clone DSG3/2840.

Storage

Store the Desmoglein 3 antibody at 2-8oC (with azide) or aliquot and store at -20oC or colder (without azide).

Cross
Bulk Quote Request Form
Name*:
Organization*:
Email*:
Phone Number*:
Catalog No.*:
Comments and Specifics(amount, formulation, etc.)*:
Validation code: Captchapackage Image


Can't read the image? click here to refresh.
    *required field

Your bulk quote request has been submitted successfully!

Please contact us if you have any questions.