• Tel: 858.663.9055
  • SeparatorEmail: info@nsjbio.com
  • Tel: 858.663.9055
  • Email: info@nsjbio.com
Home >> Antibodies >> Desmoglein 2 Antibody / DSG2

Desmoglein 2 Antibody / DSG2 (RQ5646)

  Catalog No Formulation Size Price (USD)  
Image RQ5646 0.5mg/ml if reconstituted with 0.2ml sterile DI water 100 ug 449
Bulk quote request
Desmoglein 2 Antibody Prostate Cancer IHC. Immunohistochemistry analysis of FFPE human prostate cancer tissue stained with Desmoglein 2 antibody detecting DSG2. Tumor epithelial glands show membranous and cytoplasmic staining with clear accentuation along cell-cell borders, consistent with localization of DSG2 within desmosomal adhesion complexes that maintain epithelial cohesion and structural integrity. Surrounding stromal tissue shows minimal staining. Hematoxylin counterstain highlights nuclei in blue. HIER: boil tissue sections in pH 8 EDTA for 20 min and allow to cool before testing.
Desmoglein 2 Antibody Appendicitis IHC. Immunohistochemistry analysis of FFPE human appendicitis tissue stained with Desmoglein 2 antibody detecting DSG2. Intestinal epithelial cells show membranous and cytoplasmic staining with clear localization at cell-cell junctions, consistent with DSG2 presence in desmosomal adhesion complexes that maintain epithelial cohesion. The staining outlines glandular structures within inflamed tissue, while surrounding inflammatory infiltrates show minimal signal. Hematoxylin counterstain highlights nuclei in blue. HIER: boil tissue sections in pH 8 EDTA for 20 min and allow to cool before testing.
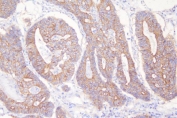
Desmoglein 2 Antibody Rectal Cancer IHC. Immunohistochemistry analysis of FFPE human rectal cancer tissue stained with Desmoglein 2 antibody detecting DSG2. Tumor epithelial glands exhibit strong membranous and cytoplasmic staining with clear accentuation at cell-cell borders, consistent with localization of DSG2 within desmosomal adhesion complexes that maintain epithelial cohesion and structural integrity. The staining highlights glandular architecture within malignant tissue, while surrounding stromal elements show minimal signal. Hematoxylin counterstain highlights nuclei in blue. HIER: boil tissue sections in pH 8 EDTA for 20 min and allow to cool before testing.
Desmoglein 2 Antibody MCF7 IF. Immunofluorescence analysis of FFPE human MCF7 cells stained with Desmoglein 2 antibody (green) detecting DSG2. Fluorescent signal outlines cell membranes with prominent localization at intercellular junctions, consistent with DSG2 distribution in desmosomal adhesion complexes that maintain epithelial cell-cell cohesion. Cytoplasmic signal is lower relative to strong junctional staining. DAPI nuclear stain (blue) highlights nuclei. HIER: steam section in pH 6 citrate buffer for 20 min.
Desmoglein 2 Antibody Multi-Sample WB. Western blot analysis of human lysates using Desmoglein 2 antibody detecting DSG2. Lane 1: placenta, Lane 2: K562, Lane 3: HeLa, Lane 4: U-2 OS, Lane 5: HepG2, Lane 6: PC-3. A band is detected at approximately 130-160 kDa across multiple samples, consistent with the predicted molecular weight of Desmoglein 2, with size variation reflecting glycosylation of this transmembrane desmosomal cadherin. The consistent detection across epithelial-derived cell lines supports DSG2 expression as a key component of desmosomal adhesion complexes involved in maintaining cell-cell junction integrity.
Desmoglein 2 Antibody U-87 MG FACS. Flow cytometry analysis of human U-87 MG cells stained with Desmoglein 2 antibody detecting DSG2. The antibody signal (blue) shows a clear rightward shift compared to cells alone (red) and isotype control (green), indicating positive surface-associated detection of DSG2. This pattern is consistent with Desmoglein 2 as a membrane-localized desmosomal cadherin involved in cell-cell adhesion and intercellular junction integrity.
Desmoglein 2 Antibody HEPA1-6 FACS. Flow cytometry analysis of mouse HEPA1-6 cells stained with Desmoglein 2 antibody detecting DSG2. The antibody signal (blue) shows a clear rightward shift compared to cells alone (red) and isotype control (green), indicating positive surface-associated detection of DSG2. This profile is consistent with Desmoglein 2 as a membrane-localized desmosomal cadherin that mediates epithelial cell-cell adhesion and junctional integrity.
Desmoglein 2 Antibody RH35 FACS. Flow cytometry analysis of rat RH35 cells stained with Desmoglein 2 antibody detecting DSG2. The antibody signal (blue) shows a clear rightward shift compared to cells alone (red) and isotype control (green), indicating positive surface-associated detection of DSG2. This pattern is consistent with Desmoglein 2 as a membrane-localized desmosomal cadherin involved in epithelial cell-cell adhesion and junctional integrity.
Availability 1-3 business days
Species Reactivity Human
Format Antigen affinity purified
Host Rabbit
Clonality Polyclonal
Isotype Rabbit IgG
Purity Affinity purified
Buffer Lyophilized from 1X PBS with 2% Trehalose and 0.025% sodium azide
UniProt Q14126
Localization Cytoplasm, membrane (cell junctions)
Applications Western Blot : 0.5-1ug/ml
Immunohistochemistry : 1-2ug/ml
Immunofluorescence : 2-4ug/ml
Flow Cytometry : 1-3ug/million cells
Direct ELISA : 0.1-0.5ug/ml
Limitations This Desmoglein 2 antibody is available for research use only.
Review this product on BioCompare and get a $20 Amazon gift card

Related Products

Description

Desmoglein-2 is a protein that in humans is encoded by the DSG2 gene. These desmoglein gene family members are located in a cluster on chromosome 18. This second family member is expressed in colon, colon carcinoma, and other simple and stratified epithelial-derived cell lines. Mutations in DSG2 display a high degree of penetrance. Disease expression was of variable severity with LV involvement a prominent feature. The low prevalence of classical ECG changes highlights the need to expand current diagnostic criteria to take account of LV disease, childhood disease expression, and incomplete penetrance.

Explore our Desmoglein 2 Antibody - Desmosomal Adhesion and Epithelial Integrity Marker page for a broader view of DSG2 expression in epithelial tissues and desmosome-associated biology.

Application Notes

Optimal dilution of the Desmoglein 2 antibody should be determined by the researcher.

Immunogen

Recombinant human protein (amino acids L24-E1020) was used as the immunogen for the Desmoglein 2 antibody.

Storage

After reconstitution, the Desmoglein 2 antibody can be stored for up to one month at 4oC. For long-term, aliquot and store at -20oC. Avoid repeated freezing and thawing.

Cross
Bulk Quote Request Form
Name*:
Organization*:
Email*:
Phone Number*:
Catalog No.*:
Comments and Specifics(amount, formulation, etc.)*:
Validation code: Captchapackage Image


Can't read the image? click here to refresh.
    *required field

Your bulk quote request has been submitted successfully!

Please contact us if you have any questions.