• Tel: 858.663.9055
  • SeparatorEmail: info@nsjbio.com
  • Tel: 858.663.9055
  • Email: info@nsjbio.com
Home >> Antibodies >> Desmoglein 1 Antibody / DSG1

Desmoglein 1 Antibody / DSG1 [clone 32-2B] (V7720)

  Catalog No Formulation Size Price (USD)  
Image V7720-100UG 0.2 mg/ml in 1X PBS with 0.1 mg/ml BSA (US sourced) and 0.05% sodium azide 100 ug 559
Image
V7720-20UG 0.2 mg/ml in 1X PBS with 0.1 mg/ml BSA (US sourced) and 0.05% sodium azide 20 ug 259
Image
V7720SAF-100UG 1 mg/ml in 1X PBS; BSA free, sodium azide free 100 ug 559
Bulk quote request
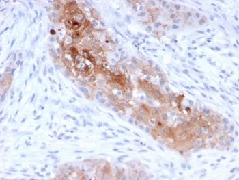
Desmoglein 1 Antibody 32-2B Bladder Carcinoma IHC. Immunohistochemistry of Desmoglein 1 antibody in human bladder carcinoma tissue. Formalin-fixed, paraffin-embedded human bladder carcinoma demonstrates membranous staining in clusters of tumor epithelial cells, consistent with Desmoglein 1 localization at desmosomal cell-cell junctions. Heat-induced epitope retrieval was performed by boiling tissue sections in pH 9 10mM Tris with 1mM EDTA buffer for 10-20 minutes prior to staining. The monoclonal antibody clone 32-2B was used as the primary antibody, revealing distinct intercellular membrane staining within carcinoma cells.
Desmoglein 1 Antibody Clone 32-2B FFPE Bladder Carcinoma Immunohistochemistry. IHC testing of FFPE human bladder carcinoma with Desmoglein 1 antibody clone 32-2B. HIER: boil tissue sections in pH 9 10mM Tris with 1mM EDTA for 10-20 min.
SDS-PAGE analysis of purified, BSA-free Desmoglein 1 antibody clone 32-2B as confirmation of integrity and purity.
Availability 1-3 business days
Species Reactivity Human
Format Purified
Host Mouse
Clonality Monoclonal (mouse origin)
Isotype Mouse IgG2a, kappa
Clone Name 32-2B
Purity Protein G affinity chromatography
UniProt Q02413
Localization Cell surface, cytoplasmic
Applications Immunohistochemistry (FFPE) : 1-2ug/ml
Limitations This Desmoglein 1 antibody is available for research use only.
Review this product on BioCompare and get a $20 Amazon gift card

Related Products

Description

Desmoglein 1 Antibody Clone 32-2B recognizes Desmoglein 1, a calcium-dependent desmosomal cadherin encoded by the DSG1 gene on chromosome 18q12.1. Desmoglein 1, also referred to as DSG1 in the literature, is a single-pass transmembrane glycoprotein localized to desmosomes at the plasma membrane of stratified epithelial cells, where it mediates strong intercellular adhesion and maintains epidermal structural integrity. Desmoglein 1 antibody, also known as DSG1 antibody, is widely used in research focused on epithelial differentiation, barrier formation, and autoimmune blistering diseases. Clone 32-2B has been referenced in multiple peer-reviewed publications, supporting its use in studies of desmosomal biology and skin pathology.

Desmoglein 1 is a member of the cadherin superfamily and functions as a core structural component of desmosomal junctions. Its extracellular cadherin repeats mediate calcium-dependent homophilic adhesion between adjacent keratinocytes, while its cytoplasmic domain associates with desmosomal plaque proteins including Plakoglobin and Desmoplakin. Through these interactions, Desmoglein 1 anchors keratin intermediate filaments to the plasma membrane, reinforcing tissue resilience in areas exposed to mechanical stress, particularly the epidermis and mucosal epithelium.

Expression of DSG1 is predominantly observed in the suprabasal layers of stratified squamous epithelia, including skin, oral mucosa, and esophagus. It is highly expressed in differentiated keratinocytes and contributes to epidermal stratification and barrier function. Autoantibodies directed against Desmoglein 1 are implicated in pemphigus foliaceus, where disruption of desmosomal adhesion results in superficial epidermal blistering. Genetic alterations in DSG1 have also been associated with inherited skin disorders characterized by impaired epidermal cohesion and inflammatory phenotypes.

Structurally, Desmoglein 1 contains multiple extracellular cadherin domains, a transmembrane region, and an intracellular tail that connects to the desmosomal plaque complex. Beyond structural adhesion, Desmoglein 1 participates in signaling pathways that influence keratinocyte differentiation and epidermal homeostasis. Dysregulated DSG1 expression may alter epithelial architecture and contribute to inflammatory or neoplastic processes in stratified epithelia. Through its essential role in maintaining desmosomal integrity, Desmoglein 1 remains central to research in epithelial biology and dermatologic disease mechanisms.

Explore our DSG1 Antibody - Desmosomal Adhesion and Epithelial Integrity Marker (clone MSVA-544M) page for a broader view of Desmoglein-1 expression across human tissue microarrays and epithelial stratification patterns.

Application Notes

Optimal dilution of the Desmoglein 1 antibody clone 32-2B should be determined by the researcher.

Immunogen

Bovine desmoglein (desmosomal glyco protein I) from nasal epidermis was used as the immunogen for the Desmoglein 1 antibody clone 32-2B.

Storage

Store the Desmoglein 1 antibody at 2-8oC (with azide) or aliquot and store at -20oC or colder (without azide).

Cross
Bulk Quote Request Form
Name*:
Organization*:
Email*:
Phone Number*:
Catalog No.*:
Comments and Specifics(amount, formulation, etc.)*:
Validation code: Captchapackage Image


Can't read the image? click here to refresh.
    *required field

Your bulk quote request has been submitted successfully!

Please contact us if you have any questions.