• Tel: 858.663.9055
  • SeparatorEmail: info@nsjbio.com
  • Tel: 858.663.9055
  • Email: info@nsjbio.com
Home >> Antibodies >> Desmin Antibody

Desmin Antibody [clone DE-U-10] (R30031)

  Catalog No Formulation Size Price (USD)  
Image R30031 0.5mg/ml with 1% BSA and 0.01% sodium azide if reconstituted with 0.2ml sterile 1X PBS 100 ug 449
Bulk quote request
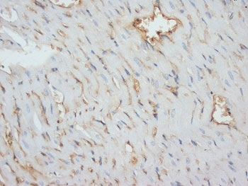
IHC-P: Desmin antibody testing of rat heart tissue
Western blot testing of 1) rat skeletal muscle, 2) rat heart, 3) mouse skeletal muscle and 4) mouse heart with Desmin antibody. Predicted molecular weight ~54 kDa.
Availability 1-3 business days
Species Reactivity Human, Mouse, Rat, Rabbit
Format Ascites
Host Mouse
Clonality Monoclonal (mouse origin)
Isotype Mouse IgG1
Clone Name DE-U-10
Purity Unpurified ascites
Gene ID 1674
Localization Cytoplasmic, membranous
Applications Western Blot : 2ug/ml
IHC (FFPE) : 2-4ug/ml
Limitations This Desmin antibody is available for research use only.
Review this product on BioCompare and get a $20 Amazon gift card

Related Products

  • Applications : WB, IHC
    Reactivity : Human, Mouse
    Pred. Reactivity : Rat, Bovine
    Recrabbitmono
  • Applications : IHC-P
    Reactivity : Human
    Recrabbitmono
  • Applications : IHC-P
    Reactivity : Human, Mouse, Rat
    Recmousemono
  • Applications : IHC-P
    Reactivity : Human
    Recmousemono
  • Applications : IHC-P
    Reactivity : Human
    Recrabbitmono
  • Applications : IHC
    Reactivity : Human
    Recmousemono
  • Applications : IF, FACS, WB, IHC-P
    Reactivity : Human, Mouse, Rat
  • Applications : WB, IHC-P, FACS
    Reactivity : Human, Mouse, Rat
  • Applications : IHC-P
    Reactivity : Human, Dog, Cat, Horse, Cow
  • Applications : IHC-P
    Reactivity : Human
  • Applications : IHC-P
    Reactivity : Human, Rat
    Citation  Citations(24)
  • Applications : WB, IHC-P, IHC-F, IF
    Reactivity : Human, Mouse, Rat
  • Applications : WB, IHC, ELISA
    Reactivity : Human
    Pred. Reactivity : Bovine, Mouse, Pig, Rat
  • Applications : WB, IHC, ELISA
    Reactivity : Human
    Pred. Reactivity : Bovine, Mouse, Pig, Rat
  • Applications : WB, ELISA (peptide)
    Reactivity : Human, Mouse, Rat, Pig

Description

Desmin belongs to the type III family of intermediate filaments, a class of cytoskeletal elements. The DES gene encodes a cytoskeletal protein found in smooth, cardiac, and heart muscles. Tidball(1992) found that Desmin was codistributed with actin thin filaments within the cellular processes of myotendinous junctions in frog skeletal muscle. DES gene contains 9 exons and spans about 8.4 kb. By in situ hybridization, Viegas-Pequignot et al.(1989) localized the gene to 2q35. Mutations are responsible for idiopathic dilated cardiomyopathy.

Application Notes

The stated application concentrations are suggested starting points. Titration of the Desmin antibody may be required due to differences in protocols and secondary/substrate sensitivity.

Immunogen

Desmin from pig stomach was used as the immunogen for this Desmin antibody.

Storage

After reconstitution, the Desmin antibody can be stored for up to one month at 4oC. For long-term, aliquot and store at -20oC. Avoid repeated freezing and thawing.

Cross
Bulk Quote Request Form
Name*:
Organization*:
Email*:
Phone Number*:
Catalog No.*:
Comments and Specifics(amount, formulation, etc.)*:
Validation code: Captchapackage Image


Can't read the image? click here to refresh.
    *required field

Your bulk quote request has been submitted successfully!

Please contact us if you have any questions.