• Tel: 858.663.9055
  • SeparatorEmail: info@nsjbio.com
  • Tel: 858.663.9055
  • Email: info@nsjbio.com
Home >> Antibodies >> DEPTOR Antibody / DEPDC6

DEPTOR Antibody / DEPDC6 (FY12970)

  Catalog No Formulation Size Price (USD)  
Image FY12970 Adding 0.2 ml of distilled water will yield a concentration of 500 ug/ml 100 ug 449
Bulk quote request
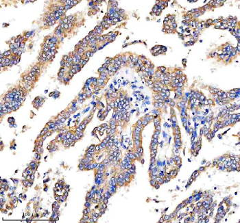
Immunohistochemical staining of DEPDC6/DEPTOR using anti-DEPTOR antibody. DEPDC6/DEPTOR was detected in a paraffin-embedded section of human lung cancer tissue. Heat mediated antigen retrieval was performed in EDTA buffer (pH 8.0, epitope retrieval solution). The tissue section was blocked with 10% goat serum. The tissue section was then incubated with 2 ug/ml rabbit anti-DEPTOR antibody overnight at 4oC. Peroxidase Conjugated Goat Anti-rabbit IgG was used as secondary antibody and incubated for 30 minutes at 37oC. The tissue section was developed using an HRP secondary and DAB substrate.
Western blot analysis of DEPDC6/DEPTOR using anti-DEPTOR antibody. Lane 1: human MCF-7 whole cell lysates, Lane 2: human HEL whole cell lysates, Lane 3: human THP-1 whole cell lysates, Lane 4: human RT4 whole cell lysates, Lane 5: rat heart tissue lysates, Lane 6: rat skeletal muscle tissue lysates, Lane 7: mouse heart tissue lysates, Lane 8: mouse skeletal muscle tissue lysates. After electrophoresis, proteins were transferred to a nitrocellulose membrane at 150 mA for 50-90 minutes. Blocked the membrane with 5% non-fat milk/TBS for 1.5 hour at RT. The membrane was incubated with rabbit anti-DEPTOR antibody at 0.5 ug/ml overnight at 4oC, then washed with TBS-0.1%Tween 3 times with 5 minutes each and probed with a goat anti-rabbit IgG-HRP secondary antibody at a dilution of 1:5000 for 1.5 hour at RT. The signal was developed using enhanced chemiluminescent. The expected molecular weight of DEPDC6/DEPTOR is at 46 kDa.
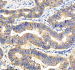
Immunohistochemical staining of DEPDC6/DEPTOR using anti-DEPTOR antibody. DEPDC6/DEPTOR was detected in a paraffin-embedded section of human stomach cancer tissue. Heat mediated antigen retrieval was performed in EDTA buffer (pH 8.0, epitope retrieval solution). The tissue section was blocked with 10% goat serum. The tissue section was then incubated with 2 ug/ml rabbit anti-DEPTOR antibody overnight at 4oC. Peroxidase Conjugated Goat Anti-rabbit IgG was used as secondary antibody and incubated for 30 minutes at 37oC. The tissue section was developed using an HRP secondary and DAB substrate.
Flow Cytometry analysis of MCF-7 cells using anti-DEPTOR antibody. Overlay histogram showing MCF-7 cells stained with (Blue line). To facilitate intracellular staining, cells were fixed with 4% paraformaldehyde and permeabilized with permeabilization buffer. The cells were blocked with 10% normal goat serum. And then incubated with rabbit anti-DEPTOR antibody (1 ug/million cells) for 30 min at 20oC. DyLight 488 conjugated goat anti-rabbit IgG (5-10 ug/million cells) was used as secondary antibody for 30 minutes at 20oC. Isotype control antibody (Green line) was rabbit IgG (1 ug/million cells) used under the same conditions. Unlabelled sample without incubation with primary antibody and secondary antibody (Red line) was used as a blank control.
Availability 1-2 days
Species Reactivity Human, Mouse, Rat
Format Lyophilized
Host Rabbit
Clonality Polyclonal (rabbit origin)
Isotype Rabbit IgG
Purity Immunogen affinity purified
Buffer Each vial contains 4 mg Trehalose, 0.9 mg NaCl, 0.2 mg Na2HPO4.
UniProt Q8TB45
Localization Cytoplasm (lysosome)
Applications Western Blot : 0.25-0.5ug/ml
Immunohistochemistry : 2-5ug/ml
Flow Cytometry : 1-3ug/million cells
ELISA : 0.1-0.5ug/ml
Limitations This DEPTOR antibody is available for research use only.
Review this product on BioCompare and get a $20 Amazon gift card

Description

DEPTOR antibody detects DEP domain-containing mTOR-interacting protein, an endogenous inhibitor of the mTORC1 and mTORC2 complexes. The UniProt recommended name is DEP domain-containing mTOR-interacting protein (DEPTOR), also known as DEP domain-containing protein 6 (DEPDC6). DEPTOR acts as a critical regulator of cell growth, metabolism, and survival by directly binding to mechanistic target of rapamycin (mTOR), suppressing its kinase activity.

Functionally, DEPTOR antibody recognizes a 409-amino-acid cytoplasmic protein that negatively regulates mTOR signaling. DEPTOR binds to both mTORC1 and mTORC2 via its PDZ domain, preventing phosphorylation of downstream effectors such as S6K1 and AKT. Its expression is finely tuned by nutrient availability, growth factors, and stress stimuli. Under normal conditions, mTOR phosphorylates DEPTOR, marking it for ubiquitination and proteasomal degradation, thereby sustaining mTOR activity. Conversely, nutrient deprivation or stress increases DEPTOR levels, suppressing mTOR signaling to promote autophagy and energy conservation.

The DEPTOR gene is located on chromosome 8q24.12 and encodes a DEP and PDZ domain-containing protein that integrates environmental cues with cellular metabolic state. DEPTOR functions as a feedback regulator ensuring mTOR pathway balance. Dysregulation of DEPTOR disrupts this feedback loop, leading to aberrant cell growth and metabolic reprogramming. In cancer, overexpression of DEPTOR has been observed in multiple myeloma, where it paradoxically supports survival by maintaining AKT activation through mTORC2 inhibition.

DEPTOR antibody is used to explore cellular signaling pathways involving mTOR, autophagy, and nutrient sensing. It supports applications such as western blotting, immunoprecipitation, and fluorescence microscopy to monitor DEPTOR expression and mTOR complex association. In metabolic studies, DEPTOR serves as a marker for energy stress adaptation, linking insulin signaling and amino acid availability to cell growth control. Elevated DEPTOR expression modulates lipid biosynthesis and glucose uptake pathways, reinforcing its role in metabolic regulation.

Structurally, DEPTOR contains an N-terminal DEP domain responsible for membrane association and a C-terminal PDZ domain mediating protein-protein interactions with mTOR and associated complexes. Post-translational modifications including phosphorylation and ubiquitination govern its stability and turnover. DEPTOR also interacts with transcription factors and kinases outside the mTOR axis, expanding its regulatory network. NSJ Bioreagents provides DEPTOR antibody reagents validated for use in signaling, oncology, and metabolism research to investigate mTOR regulation and stress adaptation.

Application Notes

Optimal dilution of the DEPTOR antibody should be determined by the researcher.

Immunogen

E.coli-derived human DEPDC6/DEPTOR recombinant protein (Position: A22-C409) was used as the immunogen for the DEPTOR antibody.

Storage

After reconstitution, the DEPTOR antibody can be stored for up to one month at 4oC. For long-term, aliquot and store at -20oC. Avoid repeated freezing and thawing.

Cross
Bulk Quote Request Form
Name*:
Organization*:
Email*:
Phone Number*:
Catalog No.*:
Comments and Specifics(amount, formulation, etc.)*:
Validation code: Captchapackage Image


Can't read the image? click here to refresh.
    *required field

Your bulk quote request has been submitted successfully!

Please contact us if you have any questions.