• Tel: 858.663.9055
  • SeparatorEmail: info@nsjbio.com
  • Tel: 858.663.9055
  • Email: info@nsjbio.com
Home >> Antibodies >> Deoxyhypusine synthase Antibody / DHPS / DHS

Deoxyhypusine synthase Antibody / DHPS / DHS (RQ6469)

  Catalog No Formulation Size Price (USD)  
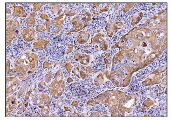
Image RQ6469 0.5mg/ml if reconstituted with 0.2ml sterile DI water 100 ug 449
Bulk quote request
IHC staining of FFPE human gallbladder adenocarcinoma tissue with Deoxyhypusine synthase antibody. HIER: boil tissue sections in pH8 EDTA for 20 min and allow to cool before testing.
IHC staining of FFPE human lung cancer tissue with Deoxyhypusine synthase antibody. HIER: boil tissue sections in pH8 EDTA for 20 min and allow to cool before testing.
Immunofluorescent staining of FFPE human MCF7 cells with Deoxyhypusine synthase antibody (green) and DAPI nuclear stain (blue). HIER: steam section in pH6 citrate buffer for 20 min.
Wester blot testing of human 1) HeLa, 2) MCF7, 3) Jurkat, 4) HEK293, 5) SH-SY5Y, 6) ThP-1, 7) PC-3, 8) U937 and 9) rat testis cell lysate with Deoxyhypusine synthase antibody. Expected molecular weight: 36-40 kDa.
Flow cytometry testing of human K562 cells with Deoxyhypusine synthase antibody at 1ug/million cells (blocked with goat sera); Red=cells alone, Green=isotype control, Blue= Deoxyhypusine synthase antibody.
Availability 1-3 business days
Species Reactivity Human, Mouse, Rat
Format Antigen affinity purified
Host Rabbit
Clonality Polyclonal (rabbit origin)
Isotype Rabbit IgG
Purity Affinity purified
Buffer Lyophilized from 1X PBS with 2% Trehalose
UniProt P49366
Localization Cytoplasmic, nuclear
Applications Western Blot : 1-2ug/ml
Immunohistochemistry (FFPE) : 2-5ug/ml
Immunofluorescence : 5ug/ml
Flow Cytometry : 1-3ug/million cells
Direct ELISA : 0.1-0.5ug/ml
Limitations This Deoxyhypusine synthase antibody is available for research use only.
Review this product on BioCompare and get a $20 Amazon gift card

Description

Deoxyhypusine synthase is an enzyme that in humans is encoded by the DHPS gene. This gene encodes a protein that is required for the formation of hypusine, a unique amino acid formed by the posttranslational modification of only one protein, eukaryotic translation initiation factor 5A. The encoded protein catalyzes the first step in hypusine formation by transferring the butylamine moiety of spermidine to a specific lysine residue of the eukaryotic translation initiation factor 5A precursor, forming an intermediate deoxyhypusine residue. Alternatively spliced transcript variants encoding multiple isoforms have been observed for this gene.

Application Notes

Optimal dilution of the Deoxyhypusine synthase antibody should be determined by the researcher.

Immunogen

An E. coli-derived human protein (amino acids F54-K358) was used as the immunogen for the Deoxyhypusine synthase antibody.

Storage

After reconstitution, the Deoxyhypusine synthase antibody can be stored for up to one month at 4oC. For long-term, aliquot and store at -20oC. Avoid repeated freezing and thawing.

Cross
Bulk Quote Request Form
Name*:
Organization*:
Email*:
Phone Number*:
Catalog No.*:
Comments and Specifics(amount, formulation, etc.)*:
Validation code: Captchapackage Image


Can't read the image? click here to refresh.
    *required field

Your bulk quote request has been submitted successfully!

Please contact us if you have any questions.