• Tel: 858.663.9055
  • SeparatorEmail: info@nsjbio.com
  • Tel: 858.663.9055
  • Email: info@nsjbio.com
Home >> Antibodies >> Deleted in breast cancer 2 Antibody / DBC2 / RHOBTB2

Deleted in breast cancer 2 Antibody / DBC2 / RHOBTB2 [clone DBC2/4570] (V5242)

  Catalog No Formulation Size Price (USD)  
Image V5242-100UG 0.2 mg/ml in 1X PBS with 0.1 mg/ml BSA (US sourced), 0.05% sodium azide 100 ug 559
Image
V5242-20UG 0.2 mg/ml in 1X PBS with 0.1 mg/ml BSA (US sourced), 0.05% sodium azide 20 ug 259
Image
V5242SAF-100UG 1 mg/ml in 1X PBS; BSA free, sodium azide free 100 ug 559
Microvalidated
Bulk quote request
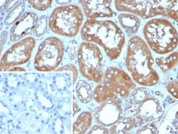
Deleted in breast cancer 2 Antibody Kidney IHC. Immunohistochemistry staining of FFPE human kidney tissue with Deleted in breast cancer 2 antibody (clone DBC2/4570). Inset: PBS used in place of primary Ab (secondary Ab negative control). HIER: boil tissue sections in pH 9 10mM Tris with 1mM EDTA for 20 min and allow to cool before testing.
SDS-PAGE analysis of purified, BSA-free Deleted in breast cancer 2 antibody (clone DBC2/4570) as confirmation of integrity and purity.
Analysis of a HuProt(TM) microarray containing more than 19,000 full-length human proteins using Deleted in breast cancer 2 antibody (clone DBC2/4570). Z- and S- Score: The Z-score represents the strength of a signal that a monoclonal antibody (in combination with a fluorescently-tagged anti-IgG secondary antibody) produces when binding to a particular protein on the HuProt(TM) array. Z-scores are described in units of standard deviations (SD's) above the mean value of all signals generated on that array. If targets on HuProt(TM) are arranged in descending order of the Z-score, the S-score is the difference (also in units of SD's) between the Z-score. S-score therefore represents the relative target specificity of a mAb to its intended target. A mAb is considered to specific to its intended target, if the mAb has an S-score of at least 2.5. For example, if a mAb binds to protein X with a Z-score of 43 and to protein Y with a Z-score of 14, then the S-score for the binding of that mAb to protein X is equal to 29.
Availability 1-3 business days
Species Reactivity Human
Format Purified
Host Mouse
Clonality Monoclonal (mouse origin)
Isotype Mouse IgG2, kappa
Clone Name DBC2/4570
Purity Protein A/G affinity
UniProt Q9BYZ6
Localization Secreted in plasma
Applications Immunohistochemistry (FFPE) : 1-2ug/ml for 30 min at RT
Limitations This Deleted in breast cancer 2 antibody is available for research use only.
Review this product on BioCompare and get a $20 Amazon gift card

Related Products

Description

Deleted in breast cancer 2 Antibody specifically detects DBC2, also called RHOBTB2. The Rho subfamily of Ras-related GTPases controls multiple aspects of cell function, including cytoskeletal rearrangement, nuclear signaling and cell growth. DBC-2 (deleted in breast cancer 2 gene protein), also known as RHOBTB2 (Rho-related BTB domain-containing protein 2), is a 727 amino acid member of the RhoBTB subfamily of Rho GTPases. Members of the RhoBTB subfamily are evolutionarily conserved and are characterized by a proline-rich region, a GTPase domain and two tandem BTB repeats. Expressed ubiquitously with highest levels in neural tissue, heart, brain and fetal lung, DBC-2 contains two BTB (POZ) domains through which it may bind to and regulate the function of target proteins, such as CUL-3. Additionally, DBC-2 is thought to function as a regulator of cell cycle and apoptosis events. Under normal conditions, DBC-2 is thought to exhibit tumor suppressor activity. Mutations in the gene encoding DBC-2 are associated with breast cancer, suggesting that mutated DBC-2 may play a role in carcinogenesis.

Explore our RHOBTB2 Antibody / Tumor Suppressor Marker clone DBC2/3361 page for additional validation data and research applications involving epithelial cancer biology, atypical Rho GTPase signaling, and tumor suppressor-associated cellular regulation pathways.

Application Notes

Optimal dilution of the Deleted in breast cancer 2 antibody should be determined by the researcher.

Immunogen

A recombinant partial protein sequence (within amino acids 554-604) from the human protein was used as the immunogen for the Deleted in breast cancer 2 antibody.

Storage

Aliquot the Deleted in breast cancer 2 antibody and store frozen at -20oC or colder. Avoid repeated freeze-thaw cycles.

Alternate Names

RHOBTB 2 antibody, DBC2 antibody

Cross
Bulk Quote Request Form
Name*:
Organization*:
Email*:
Phone Number*:
Catalog No.*:
Comments and Specifics(amount, formulation, etc.)*:
Validation code: Captchapackage Image


Can't read the image? click here to refresh.
    *required field

Your bulk quote request has been submitted successfully!

Please contact us if you have any questions.