• Tel: 858.663.9055
  • SeparatorEmail: info@nsjbio.com
  • Tel: 858.663.9055
  • Email: info@nsjbio.com
Home >> Antibodies >> DEGS1 Antibody / DES1 / Dihydroceramide desaturase-1

DEGS1 Antibody / DES1 / Dihydroceramide desaturase-1 [clone 30D03] (FY12995)

  Catalog No Formulation Size Price (USD)  
Image FY12995 Rabbit IgG in phosphate buffered saline, pH 7.4, 150mM NaCl, 0.02% sodium azide and 50% glycerol, 0.4-0.5mg/ml BSA 100 ul 449
Microvalidated Recrabbitmono
Bulk quote request
Western blot analysis of DEGS1 expression in human 293 cell lysate using DEGS1 antibody. Predicted molecular weight ~38 kDa.
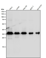
Western blot testing of human samples using the DEGS1 antibody at 1:3000 dilution for 1 hour at room temperature. Predicted molecular weight ~38 kDa.
Availability 2-3 weeks
Species Reactivity Human
Format Liquid
Host Rabbit
Clonality Recombinant Rabbit Monoclonal
Isotype Rabbit IgG
Clone Name 30D03
Purity Affinity chromatography
Buffer Rabbit IgG in phosphate buffered saline, pH 7.4, 150mM NaCl, 0.02% sodium azide and 50% glycerol, 0.4-0.5mg/ml BSA.
UniProt O15121
Applications Western Blot : 1:500-1:2000
Limitations This DEGS1 antibody is available for research use only.
Review this product on BioCompare and get a $20 Amazon gift card

Description

DEGS1 antibody detects Dihydroceramide desaturase 1, encoded by the DEGS1 gene. This enzyme catalyzes the introduction of a trans double bond into dihydroceramide to produce ceramide, a central step in the sphingolipid biosynthesis pathway. Ceramides are essential bioactive lipids involved in regulating apoptosis, autophagy, differentiation, and membrane organization. DEGS1 antibody provides researchers with a valuable tool to study sphingolipid metabolism, cellular signaling, and the pathogenesis of metabolic and neurodegenerative diseases.

Dihydroceramide desaturase 1 resides in the endoplasmic reticulum and is part of a larger network of enzymes controlling sphingolipid levels. By converting dihydroceramide to ceramide, DEGS1 regulates the balance between precursors and bioactive sphingolipids. Research with DEGS1 antibody has shown that altered activity of this enzyme shifts cellular lipid composition, leading to changes in apoptosis sensitivity and membrane structure. Ceramides produced by DEGS1 also participate in signaling pathways that control stress responses, mitochondrial function, and immune activity.

Mutations in DEGS1 cause rare hereditary spastic paraplegia and leukodystrophy, highlighting the enzyme's role in nervous system development and maintenance. Patients with DEGS1 mutations show impaired myelination, progressive neurodegeneration, and developmental delay. Studies using DEGS1 antibody have demonstrated that defective enzyme activity leads to accumulation of dihydroceramides and reduced ceramide production, disrupting neuronal signaling and survival. These findings underscore the enzyme's essential role in neurobiology and its potential as a therapeutic target.

In cancer, altered sphingolipid metabolism has been linked to tumor progression and treatment resistance. DEGS1 contributes to the regulation of apoptosis sensitivity, and reduced ceramide levels can enable survival of malignant cells under stress. Research with DEGS1 antibody has associated aberrant expression with poor prognosis in certain cancers, making it a potential biomarker and therapeutic target. Beyond oncology, sphingolipid imbalance has been implicated in metabolic diseases such as diabetes and obesity, further expanding the relevance of DEGS1.

DEGS1 antibody is applied in western blotting, immunohistochemistry, and lipidomic studies. Western blotting confirms protein expression levels, while immunohistochemistry highlights tissue specific distribution in brain, liver, and metabolic organs. Functional assays using DEGS1 antibody in combination with lipidomics allow researchers to connect enzyme expression with lipid composition changes, providing a systems level view of sphingolipid biology.

By supplying validated DEGS1 antibody reagents, NSJ Bioreagents supports studies of lipid metabolism, neurodegeneration, and cancer biology. Detection of Dihydroceramide desaturase 1 provides a critical tool for understanding how sphingolipid regulation contributes to health and disease.

Application Notes

Optimal dilution of the DEGS1 antibody should be determined by the researcher.

Immunogen

A synthesized peptide derived from human MLD was used as the immunogen for the DEGS1 antibody.

Storage

Store the DEGS1 antibody at -20oC.

Cross
Bulk Quote Request Form
Name*:
Organization*:
Email*:
Phone Number*:
Catalog No.*:
Comments and Specifics(amount, formulation, etc.)*:
Validation code: Captchapackage Image


Can't read the image? click here to refresh.
    *required field

Your bulk quote request has been submitted successfully!

Please contact us if you have any questions.