• Tel: 858.663.9055
  • SeparatorEmail: info@nsjbio.com
  • Tel: 858.663.9055
  • Email: info@nsjbio.com
Home >> Antibodies >> Decorin Antibody / DCN

Decorin Antibody / DCN (R31589)

  Catalog No Formulation Size Price (USD)  
Image R31589 0.5mg/ml if reconstituted with 0.2ml sterile DI water 100 ug 449
Bulk quote request
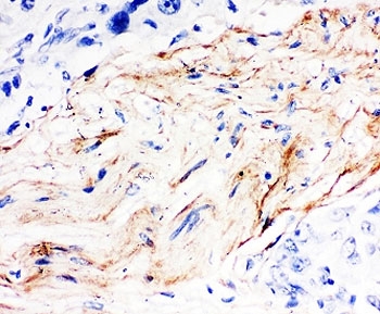
IHC analysis of Decorin Antibody / DCN. Decorin staining is observed in a paraffin-embedded section of human placenta tissue, with signal distributed throughout the extracellular matrix and stromal regions. Heat-mediated antigen retrieval was performed using EDTA buffer (pH 8.0). Tissue sections were blocked with 10% goat serum and incubated overnight at 4°C with rabbit anti-Decorin antibody, followed by a peroxidase-conjugated goat anti-rabbit IgG secondary antibody. Signal was developed using DAB chromogen, with hematoxylin used for nuclear counterstaining.
Western blot analysis of Decorin Antibody / DCN. Proteins were separated on a 10% SDS-PAGE gel under reducing conditions and transferred to a nitrocellulose membrane. Lane 1: human MCF-7 whole cell lysates; Lane 2: human HeLa whole cell lysates; Lane 3: human HepG2 whole cell lysates; Lane 4: human SW620 whole cell lysates; Lane 5: rat liver tissue lysates; Lane 6: rat RH35 whole cell lysates; Lane 7: mouse Hepa1-6 whole cell lysates; Lane 8: mouse NIH/3T3 whole cell lysates. A predominant band is observed at approximately 72 kDa, which is higher than the predicted molecular weight of Decorin (~40 kDa) and is consistent with the known proteoglycan nature of Decorin, including extensive glycosylation and glycosaminoglycan chain modification that cause slower migration on SDS-PAGE.
Availability 1-3 business days
Species Reactivity Human, Mouse, Rat
Format Antigen affinity purified
Host Rabbit
Clonality Polyclonal (rabbit origin)
Isotype Rabbit IgG
Purity Antigen affinity
Buffer Lyophilized from 1X PBS with 2.5% BSA and 0.025% sodium azide
UniProt P07585
Applications Western Blot : 0.5-1ug/ml
Immunohistochemistry (FFPE) : 2-5ug/ml
Limitations This Decorin antibody is available for research use only.
Review this product on BioCompare and get a $20 Amazon gift card

Related Products

Description

Decorin Antibody targets Decorin, encoded by the DCN gene. Decorin is a small leucine-rich proteoglycan that is a prominent component of the extracellular matrix, where it plays a critical role in regulating matrix organization, cell-matrix interactions, and tissue architecture. Decorin consists of a core protein decorated with a single dermatan sulfate or chondroitin sulfate glycosaminoglycan chain, allowing it to interact with structural matrix proteins as well as growth factors. Through these interactions, Decorin contributes to the mechanical integrity and signaling environment of connective tissues.

Functionally, Decorin binds directly to collagen fibrils, particularly type I collagen, and regulates fibrillogenesis by controlling collagen fiber diameter and spacing. This regulatory role is essential for maintaining normal tissue tensile strength and proper extracellular matrix assembly. In addition to its structural functions, Decorin acts as a signaling modulator by binding to and regulating the activity of multiple receptor tyrosine kinases and growth factors, including epidermal growth factor receptor and transforming growth factor beta. A Decorin Antibody is therefore useful for studying extracellular matrix biology, collagen organization, and growth factor signaling regulation.

Decorin expression is widespread in connective tissues such as skin, tendon, cartilage, bone, and vasculature, as well as in stromal compartments of many organs. It is predominantly localized to the extracellular matrix, where it associates with collagen fibers and other matrix components, although intracellular staining may be observed during synthesis and secretion. Fibroblasts are a major source of Decorin production, but endothelial cells and smooth muscle cells can also contribute to its expression depending on tissue context. These expression patterns make Decorin a valuable marker for stromal biology and matrix remodeling processes.

From a disease relevance perspective, alterations in Decorin expression or structure have been linked to a wide range of pathological conditions. Reduced or disorganized Decorin expression has been associated with fibrosis, impaired wound healing, and connective tissue disorders characterized by abnormal collagen architecture. In cancer biology, Decorin has been studied as a matrix-associated regulator of tumor growth and invasion, as changes in the stromal microenvironment can influence tumor progression and metastatic behavior. Decorin has also been examined in cardiovascular disease, where it contributes to vascular integrity and extracellular matrix stability.

At the molecular level, Decorin belongs to the small leucine-rich proteoglycan family, characterized by tandem leucine-rich repeats that mediate protein-protein interactions. These structural features enable Decorin to bind collagen fibers, growth factors, and cell surface receptors, integrating mechanical and biochemical signals within the extracellular matrix. Antibody-based detection of Decorin supports research into tissue development, extracellular matrix remodeling, fibrosis, and tumor-stroma interactions. NSJ Bioreagents provides reagents intended for research use to support investigations involving Decorin expression and extracellular matrix biology.

This antibody can be compared with our Decorin Antibody (clone DCN/3521) for consistent detection of DCN across extracellular matrix and proteoglycan biology studies.

Application Notes

The stated application concentrations are suggested starting amounts. Titration of the Decorin antibody may be required due to differences in protocols and secondary/substrate sensitivity.

Immunogen

Human partial recombinant protein (AA 31-359) was used as the immunogen for this Decorin antibody.

Storage

After reconstitution, the Decorin antibody can be stored for up to one month at 4oC. For long-term, aliquot and store at -20oC. Avoid repeated freezing and thawing.

Cross
Bulk Quote Request Form
Name*:
Organization*:
Email*:
Phone Number*:
Catalog No.*:
Comments and Specifics(amount, formulation, etc.)*:
Validation code: Captchapackage Image


Can't read the image? click here to refresh.
    *required field

Your bulk quote request has been submitted successfully!

Please contact us if you have any questions.