• Tel: 858.663.9055
  • SeparatorEmail: info@nsjbio.com
  • Tel: 858.663.9055
  • Email: info@nsjbio.com
Home >> Antibodies >> Decorin Antibody / DCN

Decorin Antibody / DCN [clone DCN/3523] (V7713)

  Catalog No Formulation Size Price (USD)  
Image V7713-100UG 0.2 mg/ml in 1X PBS with 0.1 mg/ml BSA (US sourced) and 0.05% sodium azide 100 ug 559
Image
V7713-20UG 0.2 mg/ml in 1X PBS with 0.1 mg/ml BSA (US sourced) and 0.05% sodium azide 20 ug 259
Image
V7713SAF-100UG 1 mg/ml in 1X PBS; BSA free, sodium azide free 100 ug 559
Microvalidated
Bulk quote request
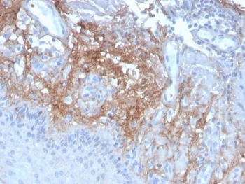
Decorin Antibody Human Skin Immunohistochemistry. IHC staining of FFPE human skin with Decorin antibody (clone DCN/3523). HIER: boil tissue sections in pH 9 10mM Tris with 1mM EDTA for 10-20 min and allow to cool before testing.
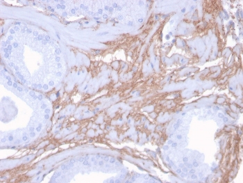
Decorin Antibody Human Prostate Tissue Immunohistochemistry. IHC staining of FFPE human prostate with Decorin antibody (clone DCN/3523). HIER: boil tissue sections in pH 9 10mM Tris with 1mM EDTA for 10-20 min and allow to cool before testing.
Analysis of HuProt(TM) microarray containing more than 19,000 full-length human proteins using Decorin antibody (clone DCN/3523). These results demonstrate the foremost specificity of the DCN/3523 mAb.
Z- and S- score: The Z-score represents the strength of a signal that an antibody (in combination with a fluorescently-tagged anti-IgG secondary Ab) produces when binding to a particular protein on the HuProt(TM) array. Z-scores are described in units of standard deviations (SD's) above the mean value of all signals generated on that array. If the targets on the HuProt(TM) are arranged in descending order of the Z-score, the S-score is the difference (also in units of SD's) between the Z-scores. The S-score therefore represents the relative target specificity of an Ab to its intended target.
Availability 1-3 business days
Species Reactivity Human
Format Purified
Host Mouse
Clonality Monoclonal (mouse origin)
Isotype Mouse IgG2b, kappa
Clone Name DCN/3523
Purity Protein G affinity chromatography
UniProt P07585
Applications Immunohistochemistry (FFPE) : 1-2ug/ml
Limitations This Decorin antibody is available for research use only.
Review this product on BioCompare and get a $20 Amazon gift card

Related Products

Description

Decorin antibody detects decorin, a small leucine-rich proteoglycan encoded by the DCN gene. Decorin is a secreted component of the extracellular matrix, where it binds collagen and regulates tissue structure, growth factor signaling, and fibrotic remodeling. Because decorin influences both normal connective tissue organization and disease processes such as cancer and fibrosis, Decorin antibody is widely used in cell biology, oncology, and tissue pathology research.

Decorin consists of a core protein containing leucine-rich repeats with a single glycosaminoglycan chain attached. Its interaction with type I collagen controls fibril diameter and spacing, ensuring mechanical stability of skin, tendon, and cornea. Beyond structural support, decorin modulates signaling molecules including transforming growth factor beta, epidermal growth factor receptor ligands, and insulin-like growth factors. These interactions position decorin as both a structural organizer and a signaling regulator within the extracellular environment.

The Decorin antibody clone DCN/3523 provides reliable and specific recognition of decorin. Clone DCN/3523 has been employed in peer-reviewed studies investigating extracellular matrix biology, fibrotic progression, and tumor microenvironment remodeling. Its consistent performance makes it suitable for immunohistochemistry, immunoblotting, and biochemical assays requiring detection of decorin in tissues and cell culture systems.

Research using clone DCN/3523 has shown how decorin antagonizes pro-fibrotic pathways by sequestering TGF-beta, reducing excessive matrix deposition. In oncology, decorin has been identified as a tumor suppressor, limiting tumor progression by interfering with receptor tyrosine kinase activity. Its absence or reduced expression correlates with aggressive disease in multiple cancers. Beyond pathology, decorin is essential in ocular biology, where it contributes to corneal transparency, and in musculoskeletal tissues, where it supports tendon resilience.

NSJ Bioreagents supplies this Decorin antibody to support connective tissue research, fibrosis models, and tumor biology. Alternate terms include DCN antibody, small leucine-rich proteoglycan antibody, dermatan sulfate proteoglycan antibody, extracellular matrix regulator antibody, and collagen fibrillogenesis regulator antibody.

This antibody can be compared with our Decorin Antibody (clone DCN/3521) for consistent detection of DCN across extracellular matrix and proteoglycan biology studies.

Application Notes

Optimal dilution of the Decorin antibody should be determined by the researcher.

For immunostaining, pre-incubation with chondroitinase-SBC or testicular hyaluronidase may be required to expose the epitope.

Immunogen

A human recombinant partial protein (amino acids 212-336) was used as the immunogen for the Decorin antibody.

Storage

Store the Decorin antibody at 2-8oC (with azide) or aliquot and store at -20oC or colder (without azide).

Cross
Bulk Quote Request Form
Name*:
Organization*:
Email*:
Phone Number*:
Catalog No.*:
Comments and Specifics(amount, formulation, etc.)*:
Validation code: Captchapackage Image


Can't read the image? click here to refresh.
    *required field

Your bulk quote request has been submitted successfully!

Please contact us if you have any questions.