• Tel: 858.663.9055
  • SeparatorEmail: info@nsjbio.com
  • Tel: 858.663.9055
  • Email: info@nsjbio.com
Home >> Antibodies >> Decorin Antibody Microarray Validated / DCN

Decorin Antibody Microarray Validated / DCN [clone DCN/3521] (V5683)

  Catalog No Formulation Size Price (USD)  
Image V5683-100UG 0.2 mg/ml in 1X PBS with 0.1 mg/ml BSA (US sourced), 0.05% sodium azide 100 ug 559
Image
V5683-20UG 0.2 mg/ml in 1X PBS with 0.1 mg/ml BSA (US sourced), 0.05% sodium azide 20 ug 259
Image
V5683SAF-100UG 1 mg/ml in 1X PBS; BSA free, sodium azide free 100 ug 559
Microvalidated
Bulk quote request
Decorin Antibody Microarray Validation. Analysis of HuProt(TM) microarray containing more than 19,000 full-length human proteins using Decorin antibody (clone DCN/3521). These results demonstrate the foremost specificity of the microarray validated DCN/3521 mAb. Z- and S- score: The Z-score represents the strength of a signal that an antibody (in combination with a fluorescently-tagged anti-IgG secondary Ab) produces when binding to a particular protein on the HuProt(TM) array. Z-scores are described in units of standard deviations (SD's) above the mean value of all signals generated on that array. If the targets on the HuProt(TM) are arranged in descending order of the Z-score, the S-score is the difference (also in units of SD's) between the Z-scores. The S-score therefore represents the relative target specificity of an Ab to its intended target.
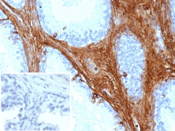
Decorin Antibody Prostate Carcinoma Immunohistochemistry. IHC staining of FFPE human prostate carcinoma tissue with microarray validated Decorin antibody (clone DCN/3521). Inset: PBS used in place of primary Ab (secondary Ab negative control). HIER: boil tissue sections in pH 9 10mM Tris with 1mM EDTA for 20 min and allow to cool before testing.
SDS-PAGE analysis of purified, BSA-free Decorin antibody (clone DCN/3521) as confirmation of integrity and purity.
Decorin Antibody Multi-Species Kidney and Lung WB. Western blot analysis of kidney and lung tissue lysates from human, mouse, rat, hamster, guinea pig, and rabbit using Decorin Antibody (clone DCN/3521) detects bands at approximately 90-120 kDa, consistent with glycosylated forms of Decorin (DCN). The observed variation in band intensity and migration reflects species-specific differences in glycosaminoglycan modification and glycosylation state of this extracellular matrix proteoglycan. The conserved detection across multiple species supports reliable recognition of DCN and its post-translationally modified forms.
Decorin Antibody Human Tissue Panel WB. Western blot analysis of human 1) heart, 2) kidney, and 3) lung tissue lysates using Decorin Antibody (clone DCN/3521) detects bands at approximately 90-120 kDa, consistent with glycosylated forms of Decorin (DCN). Decorin is a secreted extracellular matrix proteoglycan, and its migration at higher apparent molecular weights reflects glycosaminoglycan modification and variable glycosylation states across tissues. The banding pattern across multiple tissues supports reliable detection of DCN and its post-translationally modified forms.
Availability 1-3 business days
Species Reactivity Human
Format Purified
Host Mouse
Clonality Monoclonal (mouse origin)
Isotype Mouse IgG2b, kappa
Clone Name DCN/3521
Purity Protein G affinity
UniProt P07585
Localization Secreted
Applications Immunohistochemistry (FFPE) : 1-2ug/ml
Western Blot : 2-4ug/ml
Limitations This Decorin antibody is available for research use only.
Review this product on BioCompare and get a $20 Amazon gift card

Related Products

Description

Decorin Antibody Microarray Validated detects Decorin, a small leucine-rich proteoglycan encoded by the DCN gene and widely distributed within the extracellular matrix of connective tissues. Clone DCN/3521 is a mouse monoclonal antibody validated by protein microarray analysis to support high specificity for Decorin in research applications focused on matrix biology and tissue remodeling. This antibody is part of a collection of Human Protein Microarray validated antibodies that have been screened for specificity across thousands of proteins.

Decorin antibody, also referred to as DCN antibody and small leucine-rich proteoglycan decorin antibody in the literature, recognizes a secreted extracellular matrix protein characterized by leucine-rich repeat domains and a single glycosaminoglycan chain. Decorin binds to fibrillar collagens, including type I and type II collagen, where it regulates collagen fibrillogenesis and fiber spacing. Through interactions with transforming growth factor beta and other growth factors, Decorin modulates cell proliferation, differentiation, and extracellular matrix organization.

DCN is highly expressed in skin, tendon, ligament, cornea, and other collagen-rich tissues. In histologic analyses, Decorin typically demonstrates extracellular stromal staining distributed between collagen bundles and surrounding connective tissue frameworks. This pattern makes a Decorin Antibody Microarray Validated particularly useful for studies of fibrosis, wound healing, tumor stroma composition, and connective tissue development.

Altered Decorin expression has been implicated in fibrotic disorders, cancer progression, and abnormal scar formation, where dysregulated extracellular matrix composition influences cellular behavior. Decorin can also act as a tumor suppressive matrix component by sequestering growth factors and modulating receptor signaling pathways. A Decorin Antibody Microarray Validated such as clone DCN/3521 supports investigations into extracellular matrix structure, stromal-tumor interactions, and connective tissue pathology. This antibody targets DCN in research applications and is available from NSJ Bioreagents.

This antibody is part of a broader antibody panel offered by NSJ Bioreagents.

Application Notes

Optimal dilution of the microarray validated Decorin antibody should be determined by the researcher.

For immunostaining, pre-incubation with chondroitinase-SBC or testicular hyaluronidase may be required to expose the epitope.

Immunogen

A recombinant human Decorin partial protein (within amino acids 212-336) was used as the immunogen for the microarray validated Decorin antibody.

Storage

Aliquot the Decorin antibody and store frozen at -20oC or colder. Avoid repeated freeze-thaw cycles.

Cross
Bulk Quote Request Form
Name*:
Organization*:
Email*:
Phone Number*:
Catalog No.*:
Comments and Specifics(amount, formulation, etc.)*:
Validation code: Captchapackage Image


Can't read the image? click here to refresh.
    *required field

Your bulk quote request has been submitted successfully!

Please contact us if you have any questions.