• Tel: 858.663.9055
  • SeparatorEmail: info@nsjbio.com
  • Tel: 858.663.9055
  • Email: info@nsjbio.com
Home >> Antibodies >> Decorin Antibody Rabbit Monoclonal / DCN

Decorin Antibody Rabbit Monoclonal / DCN [clone DCN/8760R] (V4308)

  Catalog No Formulation Size Price (USD)  
Image V4308-100UG 0.2 mg/ml in 1X PBS with 0.1 mg/ml BSA (US sourced), 0.05% sodium azide 100 ug 559
Image
V4308-20UG 0.2 mg/ml in 1X PBS with 0.1 mg/ml BSA (US sourced), 0.05% sodium azide 20 ug 259
Image
V4308SAF-100UG 1 mg/ml in 1X PBS; BSA free, sodium azide free 100 ug 559
Microvalidated Recrabbitmono
Bulk quote request
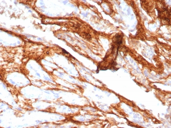
Decorin Antibody Rabbit Monoclonal Prostate IHC. Immunohistochemistry of Decorin antibody in human prostate carcinoma tissue. Formalin-fixed, paraffin-embedded human prostate carcinoma was stained using rabbit monoclonal Decorin antibody (clone DCN/8760R). Heat induced epitope retrieval was performed by boiling tissue sections in 10mM Tris with 1mM EDTA, pH 9, for 20 min followed by cooling prior to staining. HRP-DAB brown chromogenic signal highlights extracellular stromal connective tissue and desmoplastic matrix surrounding malignant glands, consistent with Decorin localization within collagen-rich tumor stroma.
SDS-PAGE analysis of purified, BSA-free Decorin antibody rabbit monoclonal (clone DCN/8760R) as confirmation of integrity and purity.
Decorin Antibody Human Tissue Panel WB. Western blot analysis of human 1) heart, 2) lung, and 3) skeletal muscle tissue lysates using Decorin Antibody (clone DCN/8760R) detects multiple bands between approximately 50-120 kDa, consistent with glycosylated and partially processed forms of Decorin (DCN). The higher molecular weight bands reflect glycosaminoglycan-modified Decorin, while lower bands likely represent core protein or proteolytic fragments. The consistent banding pattern across tissues supports reliable detection of DCN and its post-translationally modified variants in extracellular matrix-rich samples.
Decorin Antibody Multi-Species Heart and Lung WB. Western blot analysis of heart and lung tissue lysates from human, mouse, rat, hamster, guinea pig, and rabbit using Decorin Antibody (clone DCN/8760R) detects multiple bands ranging from approximately 50-120 kDa, consistent with glycosylated and partially processed forms of Decorin (DCN). The higher molecular weight bands reflect glycosaminoglycan-modified Decorin, while lower bands likely represent core protein or proteolytically processed forms. The conserved banding pattern across species supports reliable detection of DCN and its post-translationally modified variants in extracellular matrix-rich tissues.
Availability 1-3 business days
Species Reactivity Human, Hamster, Rabbit, Guinea pig
Format Purified
Host Rabbit
Clonality Recombinant Rabbit Monoclonal
Isotype Rabbit IgG, kappa
Clone Name DCN/8760R
Purity Protein A/G affinity
UniProt P07585
Localization Secreted
Applications Immunohistochemistry (FFPE) : 1-2ug/ml for 30 minutes at RT (Human)
Western Blot : 2-4ug/ml (Human/Hamster/Guinea pig/Rabbit)
Limitations This Decorin Antibody Rabbit Monoclonal is available for research use only.
Review this product on BioCompare and get a $20 Amazon gift card

Related Products

Description

Decorin Antibody Rabbit Monoclonal detects Decorin, a small leucine-rich extracellular matrix proteoglycan encoded by the DCN gene and widely expressed in connective tissues. Clone DCN/8760R is a rabbit monoclonal antibody developed for research applications focused on stromal biology, collagen organization, and extracellular matrix remodeling in normal and diseased tissues.

Decorin antibody, also referred to as DCN antibody and small leucine-rich proteoglycan decorin antibody in the literature, recognizes a secreted matrix proteoglycan composed of tandem leucine-rich repeat domains and a single glycosaminoglycan side chain. Decorin binds to fibrillar collagens, particularly type I collagen, where it regulates collagen fibrillogenesis, fiber diameter, and interfibrillar spacing. Through these structural interactions, Decorin contributes to tissue tensile strength and extracellular matrix stability.

In addition to its structural role, Decorin modulates signaling pathways by interacting with growth factors and receptor tyrosine kinases, including transforming growth factor beta and epidermal growth factor receptor. These interactions influence cellular proliferation, migration, and differentiation, positioning Decorin as both a matrix scaffold and a regulatory molecule within the tissue microenvironment. DCN expression is prominent in skin, tendon, ligament, cornea, prostate stroma, placenta, and other collagen-rich tissues. In tissue-based analyses, Decorin typically demonstrates extracellular stromal staining localized between collagen bundles and surrounding glandular structures.

Altered Decorin expression has been implicated in fibrosis, abnormal wound repair, and tumor progression, where extracellular matrix composition shapes stromal signaling and structural organization. Changes in Decorin distribution may accompany desmoplastic reactions and remodeling of collagen architecture in malignancy. A Decorin Antibody Rabbit Monoclonal such as clone DCN/8760R supports investigations into extracellular matrix biology, connective tissue development, fibrosis research, and stromal-tumor interactions. This antibody targets Decorin in research applications and is available from NSJ Bioreagents.

This antibody can be compared with our Decorin Antibody (clone DCN/3521) for consistent detection of DCN across extracellular matrix and proteoglycan biology studies.

Application Notes

1. Optimal dilution of the Decorin Antibody Rabbit Monoclonal should be determined by the researcher.

2. For immunostaining, pre-incubation with chondroitinase-SBC or testicular hyaluronidase may be required to expose the epitope.

Immunogen

A recombinant human Decorin protein fragment (within amino acids 212-336) was used as the immunogen for the Decorin antibody rabbit monoclonal.

Storage

Aliquot the Decorin antibody rabbit monoclonal and store frozen at -20oC or colder. Avoid repeated freeze-thaw cycles.

Alternate Names

DCN antibody

Cross
Bulk Quote Request Form
Name*:
Organization*:
Email*:
Phone Number*:
Catalog No.*:
Comments and Specifics(amount, formulation, etc.)*:
Validation code: Captchapackage Image


Can't read the image? click here to refresh.
    *required field

Your bulk quote request has been submitted successfully!

Please contact us if you have any questions.