• Tel: 858.663.9055
  • SeparatorEmail: info@nsjbio.com
  • Tel: 858.663.9055
  • Email: info@nsjbio.com
Home >> Antibodies >> DDX6 Antibody / DEAD box protein 6

DDX6 Antibody / DEAD box protein 6 (RQ5718)

  Catalog No Formulation Size Price (USD)  
Image RQ5718 0.5mg/ml if reconstituted with 0.2ml sterile DI water 100 ug 449
Bulk quote request
Immunofluorescent staining of FFPE human A549 cells with DDX6 antibody (green) and DAPI nuclear stain (blue). HIER: steam section in pH6 citrate buffer for 20 min.
Immunofluorescent staining of FFPE human U-2 OS cells with DDX6 antibody (green) and DAPI nuclear stain (blue). HIER: steam section in pH6 citrate buffer for 20 min.
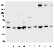
Western blot testing of human 1) placenta, 2) HeLa, 3) HepG2, 4) A431, 5) Raji, 6) ThP-1, 7) rat PC-12, 8) mouse NIH 3T3 and 9) mouse HEPA1-6 lysate with DDX6 antibody. Predicted molecular weight ~53 kDa.
Western blot testing of 1) human K562, 2) human HeLa, 3) human 293T, 4) human HepG2, 5) rat testis, 6) rat PC-12, 7) mouse testis and 8) mouse NIH 3T3 cell lysate with DDX6 antibody. Predicted molecular weight ~53 kDa.
Immunoprecipitation of DDX6 protein from 500ug of human HepG2 whole cell lysate with 2ug of DDX6 antibody.
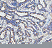
IHC staining of FFPE human stomach cancer with DDX6 antibody. HIER: boil tissue sections in pH8 EDTA for 20 min and allow to cool before testing.
Flow cytometry testing of fixed and permeabilized human HepG2 cells with DDX6 antibody at 1ug/million cells (blocked with goat sera); Red=cells alone, Green=isotype control, Blue= DDX6 antibody.
Availability 1-3 business days
Species Reactivity Human, Mouse, Rat
Format Antigen affinity purified
Host Rabbit
Clonality Polyclonal
Isotype Rabbit IgG
Purity Affinity purified
Buffer Lyophilized from 1X PBS with 2% Trehalose
UniProt P26196
Localization Cytoplasm, Nucleus
Applications Western Blot : 0.5-1ug/ml
Immunohistochemistry : 1-2ug/ml
Immunofluorescence : 2-4ug/ml
Flow Cytometry : 1-3ug/million cells
Immunoprecipitation : 2ug/500ug of lysate
Direct ELISA : 0.1-0.5ug/ml
Limitations This DDX6 antibody is available for research use only.
Review this product on BioCompare and get a $20 Amazon gift card

Related Products

Description

DDX6 (DEAD/H BOX 6), also known as HLR2 or p54, is an enzyme that in humans is encoded by the DDX6 gene. DDX6 belongs to the DEAD box family of putative RNA helicases that contain a characteristic asp-glu-ala-asp(DEAD) box motif (Seto et al., 1995). Tunnacliffe et al.(1993) assigned the DDX6 gene more precisely using a panel of sequence tagged sites (STSs) representing 30 markers previously assigned to 11q23. Using mass spectroscopy, Fenger-Gron et al.(2005) found that RCK, EDC3 (YJDC), and HEDLS (RCD8) coimmunopurified with DCP1A and DCP2 from HEK293 cell lysates. Overexpression of DCP2, RCK, or EDC3 in HeLa cells reduced the association of endogenous DCP1A and XRN1 with cytoplasmic P bodies.

Application Notes

Optimal dilution of the DDX6 antibody should be determined by the researcher.

Immunogen

Recombinant human protein (amino acids Q56-P483) was used as the immunogen for the DDX6 antibody.

Storage

After reconstitution, the DDX6 antibody can be stored for up to one month at 4oC. For long-term, aliquot and store at -20oC. Avoid repeated freezing and thawing.

Cross
Bulk Quote Request Form
Name*:
Organization*:
Email*:
Phone Number*:
Catalog No.*:
Comments and Specifics(amount, formulation, etc.)*:
Validation code: Captchapackage Image


Can't read the image? click here to refresh.
    *required field

Your bulk quote request has been submitted successfully!

Please contact us if you have any questions.