• Tel: 858.663.9055
  • SeparatorEmail: info@nsjbio.com
  • Tel: 858.663.9055
  • Email: info@nsjbio.com
Home >> Antibodies >> DDX6 Antibody

DDX6 Antibody [clone 8G6] (RQ6541)

  Catalog No Formulation Size Price (USD)  
Image RQ6541 0.5mg/ml if reconstituted with 0.2ml sterile DI water 100 ug 449
Bulk quote request
Flow cytometry testing of human HeLa cells with DDX6 antibody at 1ug/million cells (blocked with goat sera); Red=cells alone, Green=isotype control, Blue= DDX6 antibody.
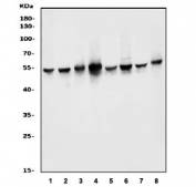
Western blot testing of human 1) HeLa, 2) HepG2, 3) SW620, 4) Raji, 5) ThP-1, 6) Jurkat, 7) rat PC-12 and 8) mouse NIH 3T3 cell lysate with DDX6 antibody. Predicted molecular weight: ~53 kDa.
Immunofluorescent staining of FFPE human MCF7 cells with DDX6 antibody (green) and DAPI nuclear stain (blue). HIER: steam section in pH6 citrate buffer for 20 min.
Availability 1-3 business days
Species Reactivity Human, Mouse, Rat
Format Antigen affinity purified
Host Mouse
Clonality Monoclonal (mouse origin)
Isotype Mouse IgG2b
Clone Name 8G6
Purity Affinity purified
Buffer Lyophilized from 1X PBS with 2% Trehalose
UniProt P26196
Localization Cytoplasmic, nuclear
Applications Western Blot : 1-2ug/ml
Immunofluorescence : 5ug/ml
Flow Cytometry : 1-3ug/million cells
Limitations This DDX6 antibody is available for research use only.
Review this product on BioCompare and get a $20 Amazon gift card

Related Products

Description

DDX6 (DEAD/H BOX 6), also known as HLR2 or p54, is an enzyme that in humans is encoded by the DDX6 gene. DDX6 belongs to the DEAD box family of putative RNA helicases that contain a characteristic asp-glu-ala-asp (DEAD) box motif (Seto et al., 1995). Tunnacliffe et al.(1993) assigned the DDX6 gene more precisely using a panel of sequence tagged sites (STSs) representing 30 markers previously assigned to 11q23. Using mass spectroscopy, Fenger-Gron et al.(2005) found that RCK, EDC3(YJDC), and HEDLS (RCD8) co-immunopurified with DCP1A and DCP2 from HEK293 cell lysates. Overexpression of DCP2, RCK, or EDC3 in HeLa cells reduced the association of endogenous DCP1A and XRN1 with cytoplasmic P bodies.

Application Notes

Optimal dilution of the DDX6 antibody should be determined by the researcher.

Immunogen

An E. coli-derived human protein (amino acids Q56-P483) was used as the immunogen for the DDX6 antibody.

Storage

After reconstitution, the DDX6 antibody can be stored for up to one month at 4oC. For long-term, aliquot and store at -20oC. Avoid repeated freezing and thawing.

Cross
Bulk Quote Request Form
Name*:
Organization*:
Email*:
Phone Number*:
Catalog No.*:
Comments and Specifics(amount, formulation, etc.)*:
Validation code: Captchapackage Image


Can't read the image? click here to refresh.
    *required field

Your bulk quote request has been submitted successfully!

Please contact us if you have any questions.