• Tel: 858.663.9055
  • SeparatorEmail: info@nsjbio.com
  • Tel: 858.663.9055
  • Email: info@nsjbio.com
Home >> Antibodies >> DDX5 Antibody

DDX5 Antibody [clone 3F9] (RQ5934)

  Catalog No Formulation Size Price (USD)  
Image RQ5934 0.5mg/ml if reconstituted with 0.2ml sterile DI water 100 ug 449
Bulk quote request
Immunofluorescent staining of FFPE human intestinal cancer with DDX5 antibody (red) and DAPI nuclear stain (blue). HIER: steam section in pH8 EDTA for 20 min.
Immunofluorescent staining of FFPE mouse intestine with DDX5 antibody (red) and DAPI nuclear stain (blue). HIER: steam section in pH8 EDTA for 20 min.
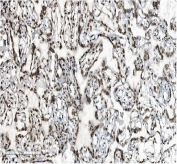
IHC staining of FFPE human rectal cancer with DDX5 antibody. HIER: boil tissue sections in pH8 EDTA for 20 min and allow to cool before testing.
IHC staining of FFPE rat intestine with DDX5 antibody. HIER: boil tissue sections in pH8 EDTA for 20 min and allow to cool before testing.
IHC staining of FFPE rat intestine with DDX5 antibody. HIER: boil tissue sections in pH8 EDTA for 20 min and allow to cool before testing.
IHC staining of frozen human placenta with DDX5 antibody.
Immunofluorescent staining of FFPE human A549 cells with DDX5 antibody (green) and DAPI nuclear stain (blue). HIER: steam section in pH6 citrate buffer for 20 min.
Flow cytometry testing of human A431 cells with DDX5 antibody at 1ug/million cells (blocked with goat sera); Red=cells alone, Green=isotype control, Blue= DDX5 antibody.
Western blot testing of human 1) HeLa, 2) SW620, 3) Caco-2, 4) K562, 5) rat PC-12 and 6) mouse NIH 3T3 lysate with DDX5 antibody. Predicted molecular weight: ~68 kDa.
Availability 1-3 business days
Species Reactivity Human, Mouse, Rat
Format Antigen affinity purified
Host Mouse
Clonality Monoclonal (mouse origin)
Isotype Mouse IgG2b
Clone Name 3F9
Purity Affinity purified
Buffer Lyophilized from 1X PBS with 2% Trehalose and 0.025% sodium azide
UniProt P17844
Applications Western Blot : 0.5-1ug/ml
Immunohistochemistry (FFPE & Frozen) : 1-2ug/ml
Immunofluorescence : 2-4ug/ml
Flow Cytometry : 1-3ug/million cells
Limitations This DDX5 antibody is available for research use only.
Review this product on BioCompare and get a $20 Amazon gift card

Related Products

  • Applications : WB, IHC-P
    Reactivity : Human, Mouse, Rat
  • Applications : WB, ELISA (peptide)
    Reactivity : Human, Mouse
    Pred. Reactivity : Dog, Rat
  • Applications : WB, IHC-P, FACS, IF/ICC, Direct ELISA
    Reactivity : Human, Mouse, Rat

Description

DDX5 (DEAD/H BOX 5), also known as HLR1 or G17P1, is an enzyme that in humans is encoded by the DDX5 gene. The p68 protein is a proliferation-associated nuclear antigen first identified through its highly specific cross-reaction with the simian virus 40 tumor antigen (Iggo et al., 1989). Subsequently, homology to eukaryotic translation initiation factor was found, and amino acid sequence blocks characteristic of a large superfamily of proteins with putative helicase activity were demonstrated. Brody et al. (1995) confirmed that this gene is located on chromosome 17 in the region of the BRCA1 gene at 17q21. By immunoprecipitation analysis, Caretti et al. (2006) found that p68, p72 (DDX17), and the noncoding RNA SRA (SRA1) associated with MYOD (MYOD1) in MYOD-transfected HeLa cells.

Application Notes

Optimal dilution of the DDX5 antibody should be determined by the researcher.

Immunogen

Recombinant human protein (amino acids R85-K328) was used as the immunogen for the DDX5 antibody.

Storage

After reconstitution, the DDX5 antibody can be stored for up to one month at 4oC. For long-term, aliquot and store at -20oC. Avoid repeated freezing and thawing.

Cross
Bulk Quote Request Form
Name*:
Organization*:
Email*:
Phone Number*:
Catalog No.*:
Comments and Specifics(amount, formulation, etc.)*:
Validation code: Captchapackage Image


Can't read the image? click here to refresh.
    *required field

Your bulk quote request has been submitted successfully!

Please contact us if you have any questions.