• Tel: 858.663.9055
  • SeparatorEmail: info@nsjbio.com
  • Tel: 858.663.9055
  • Email: info@nsjbio.com
Home >> Antibodies >> DDX1 Antibody

DDX1 Antibody [clone 3I10] (RQ6285)

  Catalog No Formulation Size Price (USD)  
Image RQ6285 0.5mg/ml if reconstituted with 0.2ml sterile DI water 100 ug 449
Bulk quote request
IHC staining of FFPE mouse brain tissue with DDX1 antibody. HIER: boil tissue sections in pH8 EDTA for 20 min and allow to cool before testing.
IHC staining of FFPE mouse brain tissue with DDX1 antibody. HIER: boil tissue sections in pH8 EDTA for 20 min and allow to cool before testing.
IHC staining of FFPE rat brain tissue with DDX1 antibody. HIER: boil tissue sections in pH8 EDTA for 20 min and allow to cool before testing.
IHC staining of FFPE rat brain tissue with DDX1 antibody. HIER: boil tissue sections in pH8 EDTA for 20 min and allow to cool before testing.
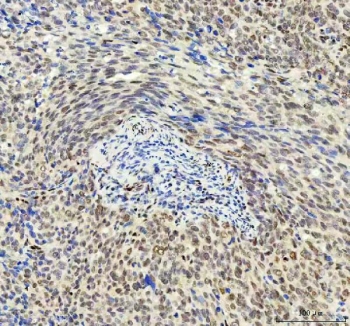
IHC staining of FFPE human prostatic acinar adenocarcinoma tissue with DDX1 antibody. HIER: boil tissue sections in pH8 EDTA for 20 min and allow to cool before testing.
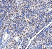
IHC staining of FFPE human spleen tissue with DDX1 antibody. HIER: boil tissue sections in pH8 EDTA for 20 min and allow to cool before testing.
IHC staining of FFPE human ovarian cancer tissue with DDX1 antibody. HIER: boil tissue sections in pH8 EDTA for 20 min and allow to cool before testing.
IHC staining of FFPE human colorectal adenocarcinoma tissue with DDX1 antibody. HIER: boil tissue sections in pH8 EDTA for 20 min and allow to cool before testing.
IHC staining of FFPE human squamous cell cervical carcinoma tissue with DDX1 antibody. HIER: boil tissue sections in pH8 EDTA for 20 min and allow to cool before testing.
Immunofluorescent staining of FFPE mouse brain tissue with DDX1 antibody. HIER: boil tissue sections in pH8 EDTA for 20 min and allow to cool before testing.
Immunofluorescent staining of FFPE human HeLa cells with DDX1 antibody. HIER: boil tissue sections in pH6 citrate buffer for 20 min and allow to cool before testing.
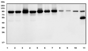
Western blot testing of 1) human K562, 2) human Caco-2, 3) human U-2 OS, 4) human HEK293, 5) human U-87 MG, 6) human HeLa, 7) human A549, 8) rat heart, 9) rat kidney, 10) rat skeletal muscle and 11) mouse kidney lysate with DDX1 antibody. Predicted molecular weight ~86 kDa.
Flow cytometry testing of human MCF7 cells with DDX1 antibody at 1ug/million cells (blocked with goat sera); Red=cells alone, Green=isotype control, Blue= DDX1 antibody.
Availability 1-3 business days
Species Reactivity Human, Mouse, Rat
Format Antigen affinity purified
Host Mouse
Clonality Monoclonal (mouse origin)
Isotype Mouse IgG1
Clone Name 3I10
Purity Affinity purified
Buffer Lyophilized from 1X PBS with 2% Trehalose
UniProt Q92499
Localization Nuclear, cytoplasmic
Applications Western Blot : 1-2ug/ml
Immunohistochemistry (FFPE) : 2-5ug/ml
Flow Cytometry : 1-3ug/million cells
Immunofluorescence : 5ug/ml
Limitations This DDX1 antibody is available for research use only.
Review this product on BioCompare and get a $20 Amazon gift card

Related Products

Description

DDX1 (DEAD box protein 1) is a member of the DEAD-box RNA helicase family, characterized by the conserved Asp-Glu-Ala-Asp (DEAD) motif. These proteins are implicated in a variety of cellular processes involving RNA metabolism, including transcription, splicing, RNA transport, and ribosome assembly. DDX1 functions as an ATP-dependent RNA helicase that unwinds RNA secondary structures, facilitating proper RNA processing and utilization. Researchers frequently use a DDX1 antibody to explore RNA biology and gene expression regulation.

Beyond its canonical role in RNA metabolism, DDX1 has been implicated in cellular stress responses, DNA repair, and regulation of the cell cycle. Studies have shown that DDX1 interacts with proteins involved in double-strand break repair, suggesting a role at the interface of RNA metabolism and genomic stability. Employing a DDX1 antibody enables researchers to evaluate how this helicase contributes to maintaining cell integrity under stress and during development.

DDX1 has also been studied in the context of cancer and viral infection. Elevated expression has been observed in certain malignancies, and the protein has been linked to replication of several viruses through interactions with viral RNA. Because of these roles, DDX1 is an attractive target for understanding oncogenesis and host-pathogen interactions. Using a DDX1 antibody allows investigators to study its involvement in tumor biology, RNA regulation, and viral life cycles.

NSJ Bioreagents provides a validated DDX1 antibody designed for applications such as western blot, immunohistochemistry, and immunoprecipitation. A high-quality DDX1 antibody ensures reproducibility and sensitivity, supporting research in RNA helicase biology, cancer, and virology.

Application Notes

Optimal dilution of the DDX1 antibody should be determined by the researcher.

Immunogen

A human recombinant partial protein (amino acids K562-F740) was used as the immunogen for the DDX1 antibody.

Storage

After reconstitution, the DDX1 antibody can be stored for up to one month at 4oC. For long-term, aliquot and store at -20oC. Avoid repeated freezing and thawing.

Cross
Bulk Quote Request Form
Name*:
Organization*:
Email*:
Phone Number*:
Catalog No.*:
Comments and Specifics(amount, formulation, etc.)*:
Validation code: Captchapackage Image


Can't read the image? click here to refresh.
    *required field

Your bulk quote request has been submitted successfully!

Please contact us if you have any questions.