• Tel: 858.663.9055
  • SeparatorEmail: info@nsjbio.com
  • Tel: 858.663.9055
  • Email: info@nsjbio.com
Home >> Antibodies >> DDX1 Antibody

DDX1 Antibody [clone 2D4] (RQ6286)

  Catalog No Formulation Size Price (USD)  
Image RQ6286 0.5mg/ml if reconstituted with 0.2ml sterile DI water 100 ug 449
Bulk quote request
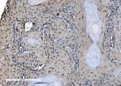
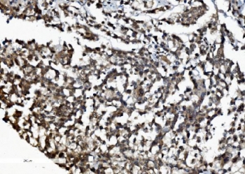
IHC staining of FFPE human pancreatic cancer with DDX1 antibody. HIER: boil tissue sections in pH8 EDTA for 20 min and allow to cool before testing.
IHC staining of FFPE human gastric cancer with DDX1 antibody. HIER: boil tissue sections in pH8 EDTA for 20 min and allow to cool before testing.
IHC staining of FFPE human esophageal squamous carcinoma with DDX1 antibody. HIER: boil tissue sections in pH8 EDTA for 20 min and allow to cool before testing.
IHC staining of FFPE rat brain with DDX1 antibody. HIER: boil tissue sections in pH8 EDTA for 20 min and allow to cool before testing.
Western blot testing of human 1) K562, 2) Caco-2, 3) U-2 OS, 4) HEK293, 5) U-87 MG, 6) HeLa, 7) A549, 8) rat kidney and 9) mouse kidney lysate with DDX1 antibody. Predicted molecular weight ~86 kDa.
Flow cytometry testing of human MCF7 cells with DDX1 antibody at 1ug/million cells (blocked with goat sera); Red=cells alone, Green=isotype control, Blue= DDX1 antibody.
Availability 1-3 business days
Species Reactivity Human, Mouse, Rat
Format Antigen affinity purified
Host Mouse
Clonality Monoclonal (mouse origin)
Isotype Mouse IgG2a
Clone Name 2D4
Purity Affinity purified
Buffer Lyophilized from 1X PBS with 2% Trehalose
UniProt Q92499
Localization Nuclear, cytoplasmic
Applications Western Blot : 1-2ug/ml
Immunohistochemistry (FFPE) : 2-5ug/ml
Flow Cytometry : 1-3ug/million cells
Limitations This DDX1 antibody is available for research use only.
Review this product on BioCompare and get a $20 Amazon gift card

Related Products

Description

DDX1 (DEAD box protein 1) is an ATP-dependent RNA helicase belonging to the DEAD-box family, which is defined by the conserved Asp-Glu-Ala-Asp sequence motif. These helicases are central to RNA biology, driving structural rearrangements in RNA and ribonucleoprotein complexes. DDX1 participates in diverse processes including RNA splicing, mRNA transport, ribosome assembly, and transcriptional regulation. Researchers often use a DDX1 antibody to explore these broad contributions to RNA metabolism.

Beyond its RNA-related roles, DDX1 has been connected to genome maintenance. It is recruited to sites of DNA double-strand breaks, where it interacts with repair proteins and promotes genomic stability. This dual role in RNA and DNA regulation underscores its importance in preserving cell integrity. Using a DDX1 antibody helps clarify how the protein integrates RNA processing with DNA repair pathways.

DDX1 expression has been reported in multiple cancer types, where it supports rapid growth and metabolic adaptation of tumor cells. Additionally, it has been shown to facilitate replication of several RNA viruses by binding viral RNA, making it a relevant target in host-pathogen studies. Employing a DDX1 antibody enables the detection and characterization of its functions in both oncogenic and infectious contexts.

NSJ Bioreagents offers a validated DDX1 antibody designed for reliable performance in applications such as western blot, immunohistochemistry, and immunoprecipitation. A high-quality DDX1 antibody ensures reproducible results in studies focused on RNA helicase biology, cancer, and virology.

Application Notes

Optimal dilution of the DDX1 antibody should be determined by the researcher.

Immunogen

A human recombinant partial protein (amino acids K562-F740) was used as the immunogen for the DDX1 antibody.

Storage

After reconstitution, the DDX1 antibody can be stored for up to one month at 4oC. For long-term, aliquot and store at -20oC. Avoid repeated freezing and thawing.

Cross
Bulk Quote Request Form
Name*:
Organization*:
Email*:
Phone Number*:
Catalog No.*:
Comments and Specifics(amount, formulation, etc.)*:
Validation code: Captchapackage Image


Can't read the image? click here to refresh.
    *required field

Your bulk quote request has been submitted successfully!

Please contact us if you have any questions.