• Tel: 858.663.9055
  • SeparatorEmail: info@nsjbio.com
  • Tel: 858.663.9055
  • Email: info@nsjbio.com
Home >> Antibodies >> DDX1 Antibody

DDX1 Antibody [clone 11E5.] (RQ6287)

  Catalog No Formulation Size Price (USD)  
Image RQ6287 0.5mg/ml if reconstituted with 0.2ml sterile DI water 100 ug 449
Bulk quote request
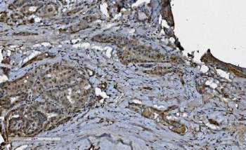
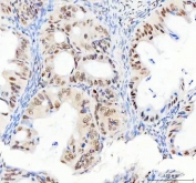
IHC staining of FFPE human prostatic acinar adenocarcinoma tissue with DDX1 antibody. HIER: boil tissue sections in pH8 EDTA for 20 min and allow to cool before testing.
IHC staining of FFPE human spleen tissue with DDX1 antibody. HIER: boil tissue sections in pH8 EDTA for 20 min and allow to cool before testing.
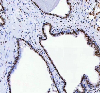
IHC staining of FFPE human rectum adenocarcinoma tissue with DDX1 antibody. HIER: boil tissue sections in pH8 EDTA for 20 min and allow to cool before testing.
IHC staining of FFPE human ovarian serous adenocarcinoma tissue with DDX1 antibody. HIER: boil tissue sections in pH8 EDTA for 20 min and allow to cool before testing.
IHC staining of FFPE human cervical squamous carcinoma tissue with DDX1 antibody. HIER: boil tissue sections in pH8 EDTA for 20 min and allow to cool before testing.
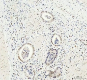
IHC staining of FFPE mouse brain tissue with DDX1 antibody. HIER: boil tissue sections in pH8 EDTA for 20 min and allow to cool before testing.
IHC staining of FFPE rat brain tissue with DDX1 antibody. HIER: boil tissue sections in pH8 EDTA for 20 min and allow to cool before testing.
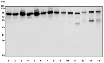
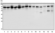
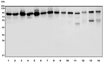
Western blot testing of human 1) K562, 2) Caco-2, 3) U-2 OS, 4) HEK293, 5) U-87 MG, 6) HeLa, 7) A549, 8) rat heart, 9) rat kidney, 10) rat skeletal muscle, 11) rat lung, 12) mouse heart, 13) mouse kidney and 14) mouse lung lysate with DDX1 antibody. Predicted molecular weight ~86 kDa.
Flow cytometry testing of human MCF7 cells with DDX1 antibody at 1ug/million cells (blocked with goat sera); Red=cells alone, Green=isotype control, Blue= DDX1 antibody.
Availability 1-3 business days
Species Reactivity Human, Mouse, Rat
Format Antigen affinity purified
Host Mouse
Clonality Monoclonal (mouse origin)
Isotype Mouse IgG2b
Clone Name 11E5.
Purity Affinity purified
Buffer Lyophilized from 1X PBS with 2% Trehalose
UniProt Q92499
Localization Nuclear, cytoplasmic
Applications Western Blot : 1-2ug/ml
Immunohistochemistry (FFPE) : 2-5ug/ml
Flow Cytometry : 1-3ug/million cells
Limitations This DDX1 antibody is available for research use only.
Review this product on BioCompare and get a $20 Amazon gift card

Related Products

Description

DEAD box protein 1 (DDX1) is a multifunctional RNA helicase that plays a critical role in RNA processing and cellular regulation. As part of the DEAD-box family, DDX1 uses ATP hydrolysis to unwind RNA secondary structures, supporting processes such as transcription, splicing, ribosome biogenesis, and RNA transport. A DDX1 antibody is a key reagent for studying these functions in molecular biology.

In addition to RNA metabolism, DDX1 has been implicated in DNA damage repair. It interacts with key repair factors at double-strand breaks, suggesting a bridging role between RNA processing and genome integrity. The use of a DDX1 antibody in experimental models helps researchers trace these interactions and evaluate its contribution to stress responses and chromosomal stability.

DDX1 has growing relevance in biomedical research due to its connections with cancer and viral infection. Overexpression of the protein has been reported in tumors, where it supports proliferation and metabolic reprogramming. It also participates in the replication cycles of certain viruses by binding to viral RNA, positioning DDX1 as an important host factor in virology. A DDX1 antibody allows for detailed assessment of these roles in both health and disease.

NSJ Bioreagents provides a high-quality DDX1 antibody optimized for western blot, immunofluorescence, and immunohistochemistry. By selecting a validated DDX1 antibody, researchers can achieve consistent and sensitive detection to advance studies of RNA regulation, DNA repair, cancer, and viral biology.

Application Notes

Optimal dilution of the DDX1 antibody should be determined by the researcher.

Immunogen

A human recombinant partial protein (amino acids K562-F740) was used as the immunogen for the DDX1 antibody.

Storage

After reconstitution, the DDX1 antibody can be stored for up to one month at 4oC. For long-term, aliquot and store at -20oC. Avoid repeated freezing and thawing.

Cross
Bulk Quote Request Form
Name*:
Organization*:
Email*:
Phone Number*:
Catalog No.*:
Comments and Specifics(amount, formulation, etc.)*:
Validation code: Captchapackage Image


Can't read the image? click here to refresh.
    *required field

Your bulk quote request has been submitted successfully!

Please contact us if you have any questions.