• Tel: 858.663.9055
  • SeparatorEmail: info@nsjbio.com
  • Tel: 858.663.9055
  • Email: info@nsjbio.com
Home >> Antibodies >> Ddr2 Antibody / Discoidin domain receptor 2

Ddr2 Antibody / Discoidin domain receptor 2 (F44008)

  Catalog No Formulation Size Price (USD)  
Image F44008-0.4ML In 1X PBS, pH 7.4, with 0.09% sodium azide 0.4 ml 439
Image
F44008-0.08ML In 1X PBS, pH 7.4, with 0.09% sodium azide 0.08 ml 205
Bulk quote request
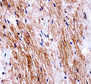
Ddr2 antibody immunohistochemistry analysis in formalin fixed and paraffin embedded mouse heart tissue.
Ddr2 antibody western blot analysis in mouse bladder tissue lysate. Predicted molecular weight: 97-116 kDa.
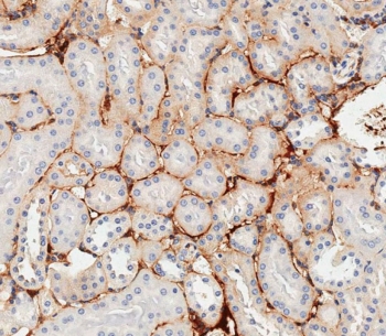
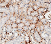
Ddr2 antibody immunohistochemistry analysis in formalin fixed and paraffin embedded mouse kidney tissue. HIER: steam section in pH6 citrate buffer for 20 min and allow to cool prior to staining.
Availability 1-3 business days
Species Reactivity Mouse
Format Antigen affinity purified
Host Rabbit
Clonality Polyclonal (rabbit origin)
Isotype Rabbit Ig
Purity Antigen affinity
UniProt Q62371
Applications Western Blot : 1:1000
IHC (Paraffin) : 1:10-1:50
Limitations This Ddr2 antibody is available for research use only.
Review this product on BioCompare and get a $20 Amazon gift card

Related Products

Description

This tyrosine kinase receptor for fibrillar collagen mediates fibroblast migration and proliferation. Contributes to cutaneous wound healing.

Application Notes

Titration of the Ddr2 antibody may be required due to differences in protocols and secondary/substrate sensitivity.

Immunogen

A portion of amino acids 816-843 from the mouse protein was used as the immunogen for this Ddr2 antibody.

Storage

Aliquot the Ddr2 antibody and store frozen at -20oC or colder. Avoid repeated freeze-thaw cycles.

Cross
Bulk Quote Request Form
Name*:
Organization*:
Email*:
Phone Number*:
Catalog No.*:
Comments and Specifics(amount, formulation, etc.)*:
Validation code: Captchapackage Image


Can't read the image? click here to refresh.
    *required field

Your bulk quote request has been submitted successfully!

Please contact us if you have any questions.