• Tel: 858.663.9055
  • SeparatorEmail: info@nsjbio.com
  • Tel: 858.663.9055
  • Email: info@nsjbio.com
Home >> Antibodies >> DDR1 Antibody

DDR1 Antibody (RQ5574)

  Catalog No Formulation Size Price (USD)  
Image RQ5574 0.5mg/ml if reconstituted with 0.2ml sterile DI water 100 ug 449
Bulk quote request
Immunofluorescent co-staining of human A431 cells with DDR1 antibody (green) and DAPI nuclear stain (blue).
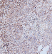
IHC staining of FFPE human breast cancer with DDR1 antibody. HIER: boil tissue sections in pH6, 10mM citrate buffer, for 20 min and allow to cool before testing.
IHC staining of FFPE human rectal cancer with DDR1 antibody. HIER: boil tissue sections in pH6, 10mM citrate buffer, for 20 min and allow to cool before testing.
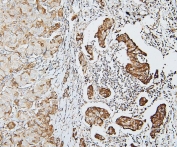
IHC staining of FFPE human lung cancer with DDR1 antibody. HIER: boil tissue sections in pH6, 10mM citrate buffer, for 20 min and allow to cool before testing.
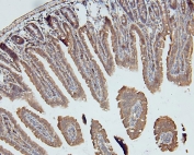
IHC staining of FFPE mouse intestine with DDR1 antibody. HIER: boil tissue sections in pH6, 10mM citrate buffer, for 20 min and allow to cool before testing.
IHC staining of FFPE rat intestine with DDR1 antibody. HIER: boil tissue sections in pH6, 10mM citrate buffer, for 20 min and allow to cool before testing.
Western blot testing of human 1) placenta, 2) A549, 3) K562, 4) HepG2, 5) PC-3 and 6) ThP-1 lysate with DDR1 antibody. Expected molecular weight: 100~125 kDa.
Western blot testing of 1) rat brain, 2) rat lung, 3) rat testis, 4) mouse brain, 5) mouse lung and 6) mouse testis lysate with DDR1 antibody. Expected molecular weight: 100~125 kDa.
Flow cytometry testing of human A431 cells with DDR1 antibody at 1ug/million cells (blocked with goat sera); Red=cells alone, Green=isotype control, Blue= DDR1 antibody.
Availability 1-3 business days
Species Reactivity Human, Mouse, Rat
Format Antigen affinity purified
Host Rabbit
Clonality Polyclonal (rabbit origin)
Isotype Rabbit IgG
Purity Affinity purified
Buffer Lyophilized from 1X PBS with 2% Trehalose and 0.005% sodium azide
UniProt Q08345
Localization Nuclear, cytoplasmic
Applications Western Blot : 0.25-0.5ug/ml
Immunohistochemistry (FFPE) : 1-2ug/ml
Flow Cytometry : 1-3ug/million cells
Direct ELISA : 0.1-0.5ug/ml
Immunofluorescence : 2-4ug/ml
Limitations This DDR1 antibody is available for research use only.
Review this product on BioCompare and get a $20 Amazon gift card

Related Products

Description

DDR1 (Discoidin domain receptor family, member 1) also known as NEP, EDDR1, NTRK4, TRKE, DDR, CAK or RTK6, is a human gene. The protein encoded by this gene is a RTK that is widely expressed in normal and transformed epithelial cells and is activated by various types of collagen. This protein belongs to a subfamily of tyrosine kinase receptors with a homology region to the Dictyostelium discoideum protein discoidin I in their extracellular domain. The DDR1 gene is mapped on 6p21.33. The fibrillar collagens and immobilized collagen activated DDR1 receptor phosphorylation after prolonged treatment. Bhatt et al. (2000) showed thatDdr1was highly expressed in the cerebellum of developing and adult mouse brain, and that bothDdr1and collagen IV were highly expressed in the pial layer of the cerebellar cortex cocultures of collagen I- and IV-expressing mouse pial cells withDdr1-expressing granule cells resulted in granule cell neurite extension. Inhibition of collagen-Ddr1signaling reduced granule cell neurite elongation.

Application Notes

Optimal dilution of the DDR1 antibody should be determined by the researcher.

Immunogen

A human recombinant protein (amino acids R341-A909) was used as the immunogen for the DDR1 antibody.

Storage

After reconstitution, the DDR1 antibody can be stored for up to one month at 4oC. For long-term, aliquot and store at -20oC. Avoid repeated freezing and thawing.

Cross
Bulk Quote Request Form
Name*:
Organization*:
Email*:
Phone Number*:
Catalog No.*:
Comments and Specifics(amount, formulation, etc.)*:
Validation code: Captchapackage Image


Can't read the image? click here to refresh.
    *required field

Your bulk quote request has been submitted successfully!

Please contact us if you have any questions.