• Tel: 858.663.9055
  • SeparatorEmail: info@nsjbio.com
  • Tel: 858.663.9055
  • Email: info@nsjbio.com
Home >> Antibodies >> DDR1 Antibody

DDR1 Antibody (F50284)

  Catalog No Formulation Size Price (USD)  
Image F50284-0.4ML In 1X PBS, pH 7.4, with 0.09% sodium azide 0.4 ml 439
Image
F50284-0.08ML In 1X PBS, pH 7.4, with 0.09% sodium azide 0.08 ml 205
Bulk quote request
Western blot analysis of DDR1 antibody and 293 cell lysate (2 ug/lane) either nontransfected (Lane 1) or transiently transfected with the DDR1 gene (2). Predicted molecular weight: 100~125KD.
DDR1 antibody immunohistochemistry analysis in formalin fixed and paraffin embedded human breast carcinoma.
Confocal immunofluorescent analysis of DDR1 antibody with 293 cells followed by Alexa Fluor 488-conjugated goat anti-rabbit lgG (green). DAPI was used as a nuclear counterstain (blue).
DDR1 antibody flow cytometric analysis of 293 cells (right histogram) compared to a negative control (left histogram). FITC-conjugated goat-anti-rabbit secondary Ab was used for the analysis.
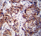
IHC testing of FFPE human placental tissue with DDR1 antibody. HIER: steam section in pH9 EDTA buffer for 20 min and allow to cool prior to staining.
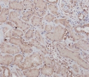
IHC testing of FFPE human kidney tissue with DDR1 antibody. HIER: steam section in pH9 EDTA buffer for 20 min and allow to cool prior to staining.
Western blot testing of human A431 cell lysate with DDR1 antibody. Expected molecular weight: 100~125 kDa.
Availability 1-3 business days
Species Reactivity Human
Format Purified
Host Rabbit
Clonality Polyclonal (rabbit origin)
Isotype Rabbit Ig
Purity Purified
UniProt Q08345
Applications Western Blot : 1:1000
IHC (Paraffin) : 1:10-1:50
Immunofluorescence : 1:10-1:50
Flow Cytometry : 1:10-1:50
Limitations This DDR1 antibody is available for research use only.
Review this product on BioCompare and get a $20 Amazon gift card

Related Products

Description

Receptor tyrosine kinases (RTKs) play a key role in the communication of cells with their microenvironment. These molecules are involved in the regulation of cell growth, differentiation and metabolism. DDR1 is an RTK that is widely expressed in normal and transformed epithelial cells and is activated by various types of collagen. It belongs to a subfamily of tyrosine kinase receptors with a homology region to the Dictyostelium discoideum protein discoidin I in their extracellular domain. Its autophosphorylation is achieved by all collagens so far tested (type I to type VI). In situ studies and Northern-blot analysis show that expression of DDR1 is restricted to epithelial cells, particularly in the kidney, lung, gastrointestinal tract, and brain. In addition, it is significantly over-expressed in several human tumors from breast, ovarian, esophageal, and pediatric brain.

Application Notes

Titration of the DDR1 antibody may be required due to differences in protocols and secondary/substrate sensitivity.

Immunogen

A portion of amino acids 299-330 from the human protein was used as the immunogen for this DDR1 antibody.

Storage

Aliquot the DDR1 antibody and store frozen at -20oC or colder. Avoid repeated freeze-thaw cycles.

Cross
Bulk Quote Request Form
Name*:
Organization*:
Email*:
Phone Number*:
Catalog No.*:
Comments and Specifics(amount, formulation, etc.)*:
Validation code: Captchapackage Image


Can't read the image? click here to refresh.
    *required field

Your bulk quote request has been submitted successfully!

Please contact us if you have any questions.