• Tel: 858.663.9055
  • SeparatorEmail: info@nsjbio.com
  • Tel: 858.663.9055
  • Email: info@nsjbio.com
Home >> Antibodies >> DCXR Antibody

DCXR Antibody (R34140)

  Catalog No Formulation Size Price (USD)  
Image R34140-100UG 0.5 mg/ml in 1X TBS, pH7.3, with 0.5% BSA (US sourced) and 0.02% sodium azide 100 ug 475
Bulk quote request
Western blot testing of human kidney lysate with DCXR antibody at 0.1ug/ml. Predicted molecular weight: ~26kDa.
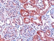
IHC staining of FFPE human kidney with DCXR antibody at 1ug/ml. HIER: microwaved with pH6 citrate buffer, HRP-staining.
Availability 1-3 business days
Species Reactivity Human
Format Antigen affinity purified
Host Goat
Clonality Polyclonal (goat origin)
Isotype Goat Ig
Purity Antigen affinity
Gene ID 51181
Applications Western Blot : 0.1-0.3ug/ml
Immunohistochemistry (FFPE) : 1-2ug/ml
ELISA (peptide) LOD : 1:32000
Limitations This DCXR antibody is available for research use only.
Review this product on BioCompare and get a $20 Amazon gift card

Related Products

  • Applications : WB, IHC, FACS, ELISA
    Reactivity : Human, Mouse

Description

Additional name(s) for this target protein: Dicarbonyl Reductase

Application Notes

Optimal dilution of the DCXR antibody should be determined by the researcher.

Immunogen

Amino acids GSTLPVEGGFWAC were used as the immunogen for this DCXR antibody.

Storage

Aliquot and store the DCXR antibody at -20oC.

Cross
Bulk Quote Request Form
Name*:
Organization*:
Email*:
Phone Number*:
Catalog No.*:
Comments and Specifics(amount, formulation, etc.)*:
Validation code: Captchapackage Image


Can't read the image? click here to refresh.
    *required field

Your bulk quote request has been submitted successfully!

Please contact us if you have any questions.