• Tel: 858.663.9055
  • SeparatorEmail: info@nsjbio.com
  • Tel: 858.663.9055
  • Email: info@nsjbio.com
Home >> Antibodies >> DcR3 Antibody / TNFRSF6B

DcR3 Antibody / TNFRSF6B (F54535)

  Catalog No Formulation Size Price (USD)  
Image F54535-0.4ML In 1X PBS, pH 7.4, with 0.09% sodium azide 0.4 ml 439
Image
F54535-0.08ML In 1X PBS, pH 7.4, with 0.09% sodium azide 0.08 ml 205
Bulk quote request
Western blot testing of human HEK293 cell lysate with DcR3 antibody. Predicted molecular weight ~33 kDa.
Western blot testing of human 1) HeLa, 2) HCT116, 3) PC-3, 4) SW480 and 5) HUVEC cell lysate with DcR3 antibody. Predicted molecular weight ~33 kDa.
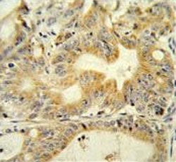
IHC testing of FFPE human colon carcinoma tissue with DcR3 antibody. HIER: steam section in pH6 citrate buffer for 20 min and allow to cool prior to staining.
Flow cytometry testing of human HEK293 cells with DcR3 antibody; Blue=isotype control, Green= DcR3 antibody.
Availability 1-3 business days
Species Reactivity Human
Format Purified
Host Rabbit
Clonality Polyclonal (rabbit origin)
Isotype Rabbit Ig
Purity Antigen affinity purified
UniProt O95407
Applications Western Blot : 1:500-1:2000
Flow Cytometry : 1:25 (1x10e6 cells)
Immunohistochemistry (FFPE) : 1:25
Limitations This DcR3 antibody is available for research use only.
Review this product on BioCompare and get a $20 Amazon gift card

Description

This gene belongs to the tumor necrosis factor receptor superfamily. The encoded protein is postulated to play a regulatory role in suppressing FasL- and LIGHT-mediated cell death. It acts as a decoy receptor that competes with death receptors for ligand binding. Overexpression of this gene has been noted in gastrointestinal tract tumors, and it is located in a gene-rich cluster on chromosome 20, with other potentially tumor-related genes. Two transcript variants encoding the same isoform, but differing in the 5' UTR, have been observed for this gene.

Application Notes

The stated application concentrations are suggested starting points. Titration of the DcR3 antibody may be required due to differences in protocols and secondary/substrate sensitivity.

Immunogen

A portion of amino acids 22-48 from the human protein was used as the immunogen for the DcR3 antibody.

Storage

Aliquot the DcR3 antibody and store frozen at -20oC or colder. Avoid repeated freeze-thaw cycles.

Cross
Bulk Quote Request Form
Name*:
Organization*:
Email*:
Phone Number*:
Catalog No.*:
Comments and Specifics(amount, formulation, etc.)*:
Validation code: Captchapackage Image


Can't read the image? click here to refresh.
    *required field

Your bulk quote request has been submitted successfully!

Please contact us if you have any questions.