• Tel: 858.663.9055
  • SeparatorEmail: info@nsjbio.com
  • Tel: 858.663.9055
  • Email: info@nsjbio.com
Home >> Antibodies >> DCN Antibody / Decorin

DCN Antibody / Decorin (F54863)

  Catalog No Formulation Size Price (USD)  
Image F54863-0.4ML In 1X PBS, pH 7.4, with 0.09% sodium azide 0.4 ml 439
Image
F54863-0.08ML In 1X PBS, pH 7.4, with 0.09% sodium azide 0.08 ml 205
Bulk quote request
DCN Antibody FACS. Flow cytometry testing of human HepG2 cells with DCN antibody; Blue=isotype control, Green= DCN antibody.
DCN Antibody WB. Western blot testing of mouse heart tissue lysate with DCN antibody. Predicted molecular weight ~40 kDa.
Western blot testing of 1) non-transfected and 2) transfected 293 cell lysate with DCN antibody.
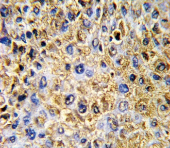
DCN Antibody Hepatocellular Carcinoma IHC. Immunohistochemistry testing of FFPE human hepatocellular carcinoma tissue with DCN antibody. HIER: steam section in pH6 citrate buffer for 20 min and allow to cool prior to staining.
Availability 1-3 business days
Species Reactivity Human, Mouse
Format Purified
Host Rabbit
Clonality Polyclonal (rabbit origin)
Isotype Rabbit IgG
Purity Purified
UniProt P07585
Applications Immunohistochemistry (FFPE) : 1:10-1:50
Flow Cytometry : 1:10-1:50 (1x10e6 cells)
Western Blot : 1:500-1:1000
Limitations This DCN antibody is available for research use only.
Review this product on BioCompare and get a $20 Amazon gift card

Related Products

Description

DCN is a small cellular or pericellular matrix proteoglycan that is closely related in structure to biglycan protein. The protein and biglycan are thought to be the result of a gene duplication. This protein is a component of connective tissue, binds to type I collagen fibrils, and plays a role in matrix assembly. It contains one attached glycosaminoglycan chain. This protein is capable of suppressing the growth of various tumor cell lines.

This antibody can be compared with our Decorin Antibody (clone DCN/3521) for consistent detection of DCN across extracellular matrix and proteoglycan biology studies.

Application Notes

The stated application concentrations are suggested starting points. Titration of the DCN antibody may be required due to differences in protocols and secondary/substrate sensitivity.

Immunogen

A portion of amino acids 122-150 from the human protein was used as the immunogen for the DCN antibody.

Storage

Aliquot the DCN antibody and store frozen at -20oC or colder. Avoid repeated freeze-thaw cycles.

Cross
Bulk Quote Request Form
Name*:
Organization*:
Email*:
Phone Number*:
Catalog No.*:
Comments and Specifics(amount, formulation, etc.)*:
Validation code: Captchapackage Image


Can't read the image? click here to refresh.
    *required field

Your bulk quote request has been submitted successfully!

Please contact us if you have any questions.