• Tel: 858.663.9055
  • SeparatorEmail: info@nsjbio.com
  • Tel: 858.663.9055
  • Email: info@nsjbio.com
Home >> Antibodies >> DCN Antibody Rabbit Monoclonal / Decorin

DCN Antibody Rabbit Monoclonal / Decorin [clone DCN/7031R] (V9487)

  Catalog No Formulation Size Price (USD)  
Image V9487-100UG 0.2 mg/ml in 1X PBS with 0.1 mg/ml BSA (US sourced), 0.05% sodium azide 100 ug 559
Image
V9487-20UG 0.2 mg/ml in 1X PBS with 0.1 mg/ml BSA (US sourced), 0.05% sodium azide 20 ug 259
Image
V9487SAF-100UG 1 mg/ml in 1X PBS; BSA free, sodium azide free 100 ug 559
Microvalidated Recrabbitmono
Bulk quote request
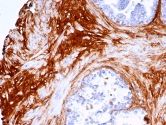
DCN Antibody Prostate Carcinoma IHC. Immunohistochemistry of DCN antibody in human prostate carcinoma tissue. Formalin-fixed, paraffin-embedded human prostate carcinoma was stained using rabbit monoclonal DCN antibody (clone DCN/7031R). Heat induced epitope retrieval was performed by boiling tissue sections in 10mM Tris with 1mM EDTA, pH 9, for 20 min followed by cooling prior to staining. HRP-DAB brown chromogenic signal highlights extracellular stromal connective tissue surrounding malignant glands, consistent with Decorin localization within collagen-rich matrix compartments.
SDS-PAGE analysis of purified, BSA-free DCN antibody rabbit monoclonal (clone DCN/7031R) as confirmation of integrity and purity.
Availability 1-3 business days
Species Reactivity Human
Format Purified
Host Rabbit
Clonality Recombinant Rabbit Monoclonal
Isotype Rabbit IgG
Clone Name DCN/7031R
Purity Protein A/G affinity
UniProt P07585
Localization Secreted
Applications Immunohistochemistry (FFPE) : 1-2ug/ml
Limitations This DCN antibody rabbit monoclonal is available for research use only.
Review this product on BioCompare and get a $20 Amazon gift card

Related Products

Description

DCN Antibody Rabbit Monoclonal detects Decorin, a small leucine-rich extracellular matrix proteoglycan encoded by the DCN gene and widely expressed in connective tissues. Clone DCN/7031R is a rabbit monoclonal antibody developed for research applications focused on stromal biology, collagen organization, and extracellular matrix remodeling in normal and diseased tissues.

DCN antibody, also referred to as Decorin antibody and small leucine-rich proteoglycan decorin antibody in the literature, recognizes a secreted proteoglycan characterized by tandem leucine-rich repeat domains and a single dermatan sulfate or chondroitin sulfate glycosaminoglycan chain. Decorin binds to fibrillar collagens, particularly type I collagen, where it regulates collagen fibrillogenesis, fiber diameter, and interfibrillar spacing. Through these interactions, Decorin contributes to tissue tensile strength and extracellular matrix stability.

In addition to its structural role, Decorin modulates signaling pathways by interacting with growth factors and receptor tyrosine kinases, including transforming growth factor beta and epidermal growth factor receptor. These interactions influence cell proliferation, migration, and differentiation, positioning Decorin as both a structural scaffold and a regulatory matrix molecule. DCN expression is prominent in skin, tendon, ligament, cornea, prostate stroma, and placental connective tissue. In tissue-based analyses, Decorin typically demonstrates extracellular stromal staining localized between collagen bundles and within connective tissue matrices.

Altered Decorin expression has been implicated in fibrotic disease, abnormal wound healing, and tumor progression, where extracellular matrix composition shapes microenvironmental signaling. Changes in Decorin distribution may accompany desmoplastic reactions and altered collagen architecture in malignancy. A DCN Antibody Rabbit Monoclonal such as clone DCN/7031R supports investigations into extracellular matrix biology, stromal-tumor interactions, connective tissue development, and fibrosis research. This antibody targets Decorin in research applications and is available from NSJ Bioreagents.

This antibody can be compared with our Decorin Antibody (clone DCN/3521) for consistent detection of DCN across extracellular matrix and proteoglycan biology studies.

Application Notes

1. Optimal dilution of the DCN antibody rabbit monoclonal should be determined by the researcher.

2. For immunostaining, pre-incubation with chondroitinase-SBC or testicular hyaluronidase may be required to expose the epitope.

Immunogen

A portion of amino acids 212-336 was used as the immunogen for the DCN antibody rabbit monoclonal.

Storage

Aliquot the DCN antibody rabbit monoclonal and store frozen at -20oC or colder. Avoid repeated freeze-thaw cycles.

Cross
Bulk Quote Request Form
Name*:
Organization*:
Email*:
Phone Number*:
Catalog No.*:
Comments and Specifics(amount, formulation, etc.)*:
Validation code: Captchapackage Image


Can't read the image? click here to refresh.
    *required field

Your bulk quote request has been submitted successfully!

Please contact us if you have any questions.