• Tel: 858.663.9055
  • SeparatorEmail: info@nsjbio.com
  • Tel: 858.663.9055
  • Email: info@nsjbio.com
Home >> Antibodies >> DBN1 Antibody / Drebrin Synaptic Plasticity Marker Antibody

DBN1 Antibody / Drebrin Synaptic Plasticity Marker Antibody [clone 4F6E7] (RQ7115)

  Catalog No Formulation Size Price (USD)  
Image RQ7115 0.5mg/ml if reconstituted with 0.2ml sterile DI water 100 ug 449
Bulk quote request
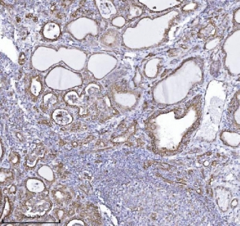
DBN1 Antibody Thyroid Cancer IHC. Immunohistochemistry analysis of FFPE human thyroid carcinoma tissue using DBN1 antibody shows cytoplasmic and membranous staining in tumor epithelial cells outlining glandular structures, consistent with DBN1 / Drebrin localization associated with actin cytoskeletal organization. Surrounding stromal regions display comparatively lower signal, and hematoxylin counterstain provides nuclear contrast and tissue architecture. HIER: boil FFPE tissue sections in pH 8 EDTA for 20 min and allow to cool before testing.
DBN1 Antibody Ovarian Serous Carcinoma IHC. Immunohistochemistry analysis of FFPE human ovarian serous carcinoma tissue using DBN1 antibody shows cytoplasmic and membranous staining in tumor epithelial cells forming papillary and glandular structures, consistent with DBN1 / Drebrin localization associated with actin cytoskeletal organization. Adjacent stromal areas display lower staining intensity, and hematoxylin counterstain provides nuclear contrast and structural context. HIER: boil FFPE tissue sections in pH 8 EDTA for 20 min and allow to cool before testing.
DBN1 Synaptic Plasticity Marker Antibody Rat Brain IHC. Immunohistochemistry analysis of FFPE rat brain tissue using DBN1 antibody (clone 4F6E7) shows diffuse cytoplasmic staining in neuronal cells with fine granular signal in the neuropil, consistent with DBN1 / Drebrin localization in dendritic processes and synaptic regions. The staining pattern highlights actin-rich compartments associated with dendritic spine structure and synaptic plasticity, while non-neuronal regions display comparatively lower signal. Hematoxylin counterstain provides nuclear contrast and tissue context. HIER: boil FFPE tissue sections in pH 8 EDTA for 20 min and allow to cool before testing.
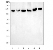
DBN1 Synaptic Plasticity Marker Antibody Multi-Species WB. Western blot analysis of 1) human HeLa, 2) human MOLT4, 3) human 293T, 4) monkey COS-7, 5) rat brain, and 6) mouse brain lysates using DBN1 antibody detects bands within the expected molecular weight range of approximately 70-120 kDa, consistent with DBN1 / Drebrin isoforms. The conserved banding pattern across species, including brain tissue, supports detection of Drebrin in neuronal systems where it regulates dendritic spine structure and synaptic plasticity.
DBN1 Synaptic Plasticity Marker Antibody JK Cell FACS. Flow cytometry analysis of human JK cells using DBN1 antibody shows a clear rightward shift of the blue histogram relative to the isotype control (green) and unstained cells (red), indicating detection of DBN1 / Drebrin expression. The measurable intracellular signal supports detection of a cytoskeletal regulator associated with actin dynamics and synaptic plasticity pathways.
Availability 1-3 business days
Species Reactivity Human, Mouse, Rat, Monkey
Format Antigen affinity purified
Host Mouse
Clonality Monoclonal (mouse origin)
Isotype Mouse IgG2a
Clone Name 4F6E7
Purity Antigen affinity purified
Buffer Lyophilized from 1X PBS with 2% Trehalose
UniProt Q16643
Localization Cytoplasmic
Applications Western Blot : 0.5-1ug/ml
Immunohistochemistry (FFPE) : 2-5ug/ml
Flow Cytometry : 1-3ug/million cells
Limitations This DBN1 Antibody / Drebrin Synaptic Plasticity Marker Antibody is available for research use only.
Review this product on BioCompare and get a $20 Amazon gift card

Related Products

Description

Drebrin (DBN1) is an actin-binding protein that plays a critical role in the regulation of dendritic spine morphology and synaptic plasticity in the nervous system. The DBN1 Antibody / Drebrin Synaptic Plasticity Marker Antibody is designed for studies focused on activity-dependent cytoskeletal remodeling and synaptic organization. DBN1 is encoded on chromosome 5q35 and belongs to a class of actin-binding proteins that regulate filament stability and spatial arrangement within neuronal processes, particularly in dendritic spines where synaptic signaling occurs.

The DBN1 antibody, also referred to as Drebrin antibody and Drebrin 1 antibody in the literature, recognizes a protein that is highly enriched in neurons and is developmentally regulated. Drebrin exists in embryonic (E) and adult (A) isoforms, with Drebrin A predominating in mature neurons and localizing to dendritic spines. In this context, DBN1 stabilizes actin filaments and contributes to spine structure, influencing synaptic strength and plasticity through modulation of cytoskeletal dynamics.

This DBN1 Antibody / Drebrin Synaptic Plasticity Marker Antibody is uniquely positioned for studies investigating synaptic remodeling and neuronal connectivity. Drebrin is closely associated with excitatory synapses and is involved in spine formation, maturation, and activity-dependent structural changes. Alterations in Drebrin distribution often reflect changes in synaptic function, making it a valuable marker for assessing neuronal plasticity in both physiological and experimental settings.

In addition to its structural role, Drebrin participates in signaling pathways that regulate actin dynamics and synaptic stability. It interacts with multiple cytoskeletal regulators and contributes to the coordination of signaling events that shape neuronal architecture. In immunohistochemistry and immunofluorescence applications, Drebrin is typically observed as cytoplasmic staining with enrichment in neuronal processes and dendritic regions, reflecting its association with actin-rich compartments. In western blot analysis, DBN1 is detected within a defined molecular weight range corresponding to its isoforms and post-translationally modified forms.

Dysregulation of Drebrin has been implicated in neurological disorders, including Alzheimer’s disease and other neurodegenerative conditions, where loss of dendritic spine integrity is a defining feature. Reduced Drebrin expression is associated with impaired synaptic function and cognitive decline, highlighting its importance as a marker of neuronal health and plasticity. As a result, DBN1 antibody detection is frequently used to study synaptic alterations and disease-related changes in neuronal structure.

The mouse monoclonal clone 4F6E7 provides consistent detection of DBN1, supporting research applications focused on synaptic plasticity, dendritic spine dynamics, and neuronal cytoskeletal organization. This DBN1 Antibody / Drebrin Synaptic Plasticity Marker Antibody is suitable for detecting DBN1 expression in studies of neuronal function and disease, offering a focused approach to evaluating activity-dependent changes in synaptic structure.

This antibody supports investigation of synaptic plasticity, dendritic spine remodeling, and disease-associated changes in DBN1 expression.

This antibody can be compared with our Drebrin Antibody / DBN1 Neuronal Actin-Binding Protein Antibody (clone DBN1/2880) for consistent detection of DBN1 across neuronal structure and cytoskeletal studies.

Application Notes

Optimal dilution of the DBN1 Antibody / Drebrin Synaptic Plasticity Marker Antibody should be determined by the researcher.

Immunogen

Recombinant human protein (amino acids H9-D649) was used as the immunogen for the DBN1 antibody.

Storage

After reconstitution, the DBN1 antibody can be stored for up to one month at 4oC. For long-term, aliquot and store at -20oC. Avoid repeated freezing and thawing.

Alternate Names

Drebrin synaptic antibody, DBN1 spine marker antibody, Drebrin dendritic spine antibody, DBN1 neuronal plasticity antibody, Developmentally regulated brain protein antibody

Cross
Bulk Quote Request Form
Name*:
Organization*:
Email*:
Phone Number*:
Catalog No.*:
Comments and Specifics(amount, formulation, etc.)*:
Validation code: Captchapackage Image


Can't read the image? click here to refresh.
    *required field

Your bulk quote request has been submitted successfully!

Please contact us if you have any questions.