• Tel: 858.663.9055
  • SeparatorEmail: info@nsjbio.com
  • Tel: 858.663.9055
  • Email: info@nsjbio.com
Home >> Antibodies >> DBI Antibody / Lipid Metabolism and Neurosteroid Regulation Marker Antibody

DBI Antibody / Lipid Metabolism and Neurosteroid Regulation Marker Antibody (R32604)

  Catalog No Formulation Size Price (USD)  
Image R32604 0.5mg/ml if reconstituted with 0.2ml sterile DI water 100 ug 449
Bulk quote request
DBI Antibody Human Placenta WB. Western blot analysis of human placenta lysate using DBI antibody detects a prominent band at approximately 10 kDa, consistent with the predicted molecular weight of DBI / Diazepam binding inhibitor, a lipid-binding protein involved in acyl-CoA transport, neurosteroid regulation, and intracellular metabolic signaling.
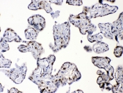
DBI Antibody Human Placenta IHC. Immunohistochemistry of FFPE human placenta tissue using DBI antibody demonstrates granular HRP-DAB brown cytoplasmic staining in placental trophoblast-associated cells, consistent with DBI / Diazepam binding inhibitor expression linked to intracellular lipid metabolism, steroid-associated signaling, and acyl-CoA-binding activity. HIER: steam sections in pH6 citrate buffer for 20 min.
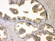
DBI Antibody Prostate Cancer IHC. Immunohistochemistry of FFPE human prostate carcinoma tissue using DBI antibody shows granular HRP-DAB brown cytoplasmic staining in tumor epithelial cells, consistent with DBI / Diazepam binding inhibitor expression associated with intracellular lipid metabolism, neurosteroid-related pathways, and acyl-CoA-binding activity. HIER: steam sections in pH6 citrate buffer for 20 min.
DBI Antibody MCF7 FACS. Flow cytometry analysis of human MCF7 cells using DBI antibody demonstrates a strong rightward shift in fluorescence intensity compared to the isotype control, consistent with detection of DBI / Diazepam binding inhibitor, a lipid-binding protein involved in acyl-CoA metabolism and neurosteroid-associated signaling pathways; red histogram represents cells alone, green histogram represents isotype control, and blue histogram represents DBI antibody staining.
DBI Antibody PC-3 FACS. Flow cytometry analysis of human PC-3 cells using DBI antibody demonstrates a pronounced rightward shift in fluorescence intensity relative to the isotype control, consistent with detection of DBI / Diazepam binding inhibitor, an acyl-CoA-binding protein involved in intracellular lipid metabolism and neurosteroid-associated signaling pathways; red histogram represents cells alone, green histogram represents isotype control, and blue histogram represents DBI antibody staining.
DBI Antibody THP-1 FACS. Flow cytometry analysis of human THP-1 cells using DBI antibody demonstrates a clear rightward shift in fluorescence intensity compared to the isotype control, consistent with detection of DBI / Diazepam binding inhibitor, a lipid-binding protein involved in acyl-CoA transport, metabolic regulation, and neurosteroid-associated signaling; red histogram represents cells alone, green histogram represents isotype control, and blue histogram represents DBI antibody staining.
DBI Antibody U-2 OS IF. Immunofluorescence analysis of FFPE human U-2 OS cells using DBI antibody (green) demonstrates diffuse cytoplasmic staining consistent with DBI / Diazepam binding inhibitor localization associated with intracellular lipid metabolism and acyl-CoA-binding activity, while nuclei are counterstained with DAPI (blue). HIER: steam sections in pH6 citrate buffer for 20 min.
Availability 1-3 business days
Species Reactivity Human
Format Antigen affinity purified
Host Rabbit
Clonality Polyclonal (rabbit origin)
Isotype Rabbit IgG
Purity Antigen affinity
Buffer Lyophilized from 1X PBS with 2.5% BSA and 0.025% sodium azide
UniProt P07108
Localization Cytoplasmic
Applications Western Blot : 0.5-1ug/ml
Flow Cytometry : 1-3ug/10^6 cells
Immunohistochemistry (FFPE) : 1-2ug/ml
Immunofluorescence/Immunocytochemistry (FFPE) : 2-4ug/ml
Limitations This DBI Antibody / Lipid Metabolism and Neurosteroid Regulation Marker Antibody is available for research use only.
Review this product on BioCompare and get a $20 Amazon gift card

Description

DBI, also known as Diazepam binding inhibitor and Acyl-CoA-binding protein (ACBP), is a multifunctional lipid-binding protein involved in regulation of fatty acid metabolism, intracellular lipid transport, and neurosteroid-associated signaling pathways. DBI binds medium- and long-chain acyl-CoA esters with high affinity and participates in maintenance of intracellular lipid homeostasis, mitochondrial metabolism, and membrane-associated lipid trafficking. Through these activities, DBI contributes to cellular energy regulation and lipid-dependent signaling processes across multiple tissue types.

DBI antibody, also referred to as Diazepam binding inhibitor antibody, Acyl-CoA-binding protein antibody, and Endozepine antibody in the literature, recognizes a predominantly cytoplasmic protein associated with mitochondrial and intracellular membrane-related lipid metabolism. DBI is expressed in numerous tissues including brain, liver, adrenal gland, and steroidogenic organs where active lipid utilization and metabolic regulation occur. In nervous system tissues, DBI-derived peptides and neurosteroid-associated pathways have been linked to modulation of GABA(A) receptor signaling and neuronal excitability.

This DBI Antibody / Lipid Metabolism and Neurosteroid Regulation Marker Antibody is uniquely positioned for studies of lipid signaling and metabolic regulation. DBI participates in intracellular acyl-CoA transport and influences pathways involved in beta-oxidation, phospholipid synthesis, steroidogenesis, and mitochondrial lipid utilization. Because lipid metabolism is tightly connected to inflammatory signaling, energy balance, and neuronal activity, DBI has emerged as an important marker for examining metabolic adaptation and lipid-associated cellular responses.

DBI has also been investigated in relation to neurosteroidogenesis and regulation of inhibitory neurotransmission through indirect modulation of GABA(A) receptor-associated pathways. DBI-derived peptides, often referred to as endozepines, have been implicated in regulation of appetite, stress responses, steroid hormone production, and neuroendocrine signaling. These functions connect DBI to broader physiological pathways involving central nervous system regulation and metabolic homeostasis.

Expression of DBI has been studied in metabolic disorders, neurological disease models, inflammatory processes, and tumor-associated metabolic reprogramming. Because DBI integrates lipid-binding activity with intracellular metabolic signaling, it serves as a useful marker for evaluating cellular lipid regulation and neurosteroid-associated pathways across diverse biological systems.

A DBI antibody is suitable for detecting DBI / Diazepam binding inhibitor expression in studies of lipid metabolism, mitochondrial regulation, neurosteroid signaling, GABAergic-associated pathways, and intracellular acyl-CoA transport mechanisms.

For additional markers involved in intracellular signaling, metabolism, and cellular regulation, visit our Cell Biology Antibodies page.

Application Notes

Optimal dilution of the DBI Antibody / Lipid Metabolism and Neurosteroid Regulation Marker Antibody should be determined by the researcher.

Immunogen

A human recombinant protein corresponding to amino acids S2-I87 was used as the immunogen for the DBI antibody.

Storage

After reconstitution, the DBI antibody can be stored for up to one month at 4oC. For long-term, aliquot and store at -20oC. Avoid repeated freezing and thawing.

Alternate Names

DBI antibody, Diazepam binding inhibitor antibody, Acyl-CoA-binding protein antibody, ACBP antibody, Endozepine antibody

Cross
Bulk Quote Request Form
Name*:
Organization*:
Email*:
Phone Number*:
Catalog No.*:
Comments and Specifics(amount, formulation, etc.)*:
Validation code: Captchapackage Image


Can't read the image? click here to refresh.
    *required field

Your bulk quote request has been submitted successfully!

Please contact us if you have any questions.