• Tel: 858.663.9055
  • SeparatorEmail: info@nsjbio.com
  • Tel: 858.663.9055
  • Email: info@nsjbio.com
Home >> Antibodies >> DBH Antibody / Dopamine beta Hydroxylase

DBH Antibody / Dopamine beta Hydroxylase [clone DBH/7224] (V5313)

  Catalog No Formulation Size Price (USD)  
Image V5313-100UG 0.2 mg/ml in 1X PBS with 0.1 mg/ml BSA (US sourced), 0.05% sodium azide 100 ug 559
Image
V5313-20UG 0.2 mg/ml in 1X PBS with 0.1 mg/ml BSA (US sourced), 0.05% sodium azide 20 ug 259
Image
V5313SAF-100UG 1 mg/ml in 1X PBS; BSA free, sodium azide free 100 ug 559
Bulk quote request
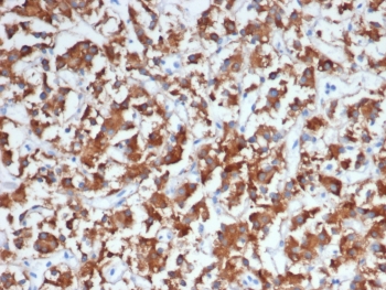
IHC staining of FFPE human adrenal gland tissue with Dopamine Beta-Hydroxylase antibody (clone DBH/7224). HIER: boil tissue sections in pH 9 10mM Tris with 1mM EDTA for 20 min and allow to cool before testing.
Availability 1-3 business days
Species Reactivity Human
Format Purified
Host Mouse
Clonality Monoclonal (mouse origin)
Isotype Mouse IgG2, kappa
Clone Name DBH/7224
Purity Protein A/G affinity
UniProt P09172
Localization Cytoplasm
Applications Immunohistochemistry (FFPE) : 1-2ug/ml for 30 min at RT
Limitations This DBH antibody is available for research use only.
Review this product on BioCompare and get a $20 Amazon gift card

Related Products

Description

Dopamine beta-hydroxylase (DBH) catalyzes the conversion of dopamine to noradrenaline in the biosynthesis of catecholamines. DBH is selectively expressed in noradrenergic and adrenergic neurons, as well as in neuroendocrine cells, and it serves as a specific protein marker for noradrenergic processes. The active form of DBH is a homotetramer, which is found in the lumen of synaptic vesicles of corresponding nerve cells, where it localizes to both the membrane and cytosol. DBH is induced by nerve growth factor and Insulin growth factor-1 and is regulated by intracellular second messengers protein kinase A, cyclic AMP, diacyl glycerol and Ca2+. Expression of DBH is transcriptionally mediated by Sp1, CREB and AP-1 proteins including c-Fos, c-Jun and JunD.

Application Notes

Optimal dilution of the DBH antibody should be determined by the researcher.

Immunogen

A recombinant partial protein sequence (within amino acids 200-400) from the human protein was used as the immunogen for the DBH antibody.

Storage

Aliquot the DBH antibody and store frozen at -20oC or colder. Avoid repeated freeze-thaw cycles.

Cross
Bulk Quote Request Form
Name*:
Organization*:
Email*:
Phone Number*:
Catalog No.*:
Comments and Specifics(amount, formulation, etc.)*:
Validation code: Captchapackage Image


Can't read the image? click here to refresh.
    *required field

Your bulk quote request has been submitted successfully!

Please contact us if you have any questions.