• Tel: 858.663.9055
  • SeparatorEmail: info@nsjbio.com
  • Tel: 858.663.9055
  • Email: info@nsjbio.com
Home >> Antibodies >> DAZL Antibody

DAZL Antibody [clone DAZL/4253] (V8666)

  Catalog No Formulation Size Price (USD)  
Image V8666-100UG 0.2 mg/ml in 1X PBS with 0.1 mg/ml BSA (US sourced) and 0.05% sodium azide 100 ug 559
Image
V8666-20UG 0.2 mg/ml in 1X PBS with 0.1 mg/ml BSA (US sourced) and 0.05% sodium azide 20 ug 259
Image
V8666SAF-100UG 1 mg/ml in 1X PBS; BSA free, sodium azide free 100 ug 559
Bulk quote request
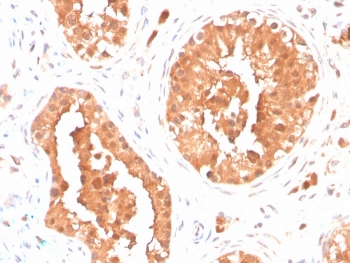
IHC staining of FFPE human testis with DAZL antibody. HIER: boil tissue sections in pH 9 10mM Tris with 1mM EDTA for 20 min and allow to cool before testing.
Western blot testing of human testis lysate with DAZL antibody. Predicted molecular weight: ~32 kDa.
SDS-PAGE analysis of purified, BSA-free DAZL antibody as confirmation of integrity and purity.
Availability 1-3 business days
Species Reactivity Human
Format Purified
Host Mouse
Clonality Monoclonal (mouse origin)
Isotype Mouse IgG1
Clone Name DAZL/4253
Purity Protein G affinity chromatography
UniProt Q92904
Localization Cytoplasmic, nuclear
Applications Immunofluorescence : 1-2ug/ml
Western Blot : 1-2ug/ml
Immunohistochemistry (FFPE) : 1-2ug/ml for 30 minutes at RT
Limitations This DAZL antibody is available for research use only.
Review this product on BioCompare and get a $20 Amazon gift card

Related Products

  • Applications : WB, ELISA (peptide)
    Reactivity : Human, Mouse, Rat
    Pred. Reactivity : Cow, Dog

Description

Specific for human DAZL, a member of the DAZ (deleted in azoospermia) family of RNA binding proteins. DAZL is expressed in fetal and adult testes and ovaries, and is believed to play a role in germ cell development. In adult germ cells, the expression of DAZL is localized to the cytoplasm. Mutations in this gene have been linked to severe spermatogenic failure and infertility in males. Clone DAZL/4253 recognizes DAZL at its C terminus, and is used in detection of DAZL expression by various methods.

Application Notes

Optimal dilution of the DAZL antibody should be determined by the researcher.

Immunogen

Amino acids CRVHHFRRSRAMLKSV from the human protein (C-terminal region) was used as the immunogen for the DAZL antibody.

Storage

Store the DAZL antibody at 2-8oC (with azide) or aliquot and store at -20oC or colder (without azide).

Cross
Bulk Quote Request Form
Name*:
Organization*:
Email*:
Phone Number*:
Catalog No.*:
Comments and Specifics(amount, formulation, etc.)*:
Validation code: Captchapackage Image


Can't read the image? click here to refresh.
    *required field

Your bulk quote request has been submitted successfully!

Please contact us if you have any questions.