• Tel: 858.663.9055
  • SeparatorEmail: info@nsjbio.com
  • Tel: 858.663.9055
  • Email: info@nsjbio.com
Home >> Antibodies >> DAZAP1 Antibody

DAZAP1 Antibody (RQ5253)

  Catalog No Formulation Size Price (USD)  
Image RQ5253 0.5mg/ml if reconstituted with 0.2ml sterile DI water 100 ug 449
Bulk quote request
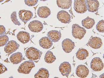
IHC staining of FFPE rat testis tissue with DAZAP1 antibody. HIER: boil tissue sections in pH6 citrate buffer for 20 min and allow to cool before testing.
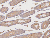
IHC staining of FFPE mouse testis tissue with DAZAP1 antibody. HIER: boil tissue sections in pH6 citrate buffer for 20 min and allow to cool before testing.
Western blot testing of 1) human AGS, 2) human GES-1, 3) human HGC-27, 4) human HeLa, 5) human Jurkat, 6) human 293T, 7) rat PC-12 and 8) mouse NIH 3T3 cell lysate with DAZAP1 antibody. Predicted molecular weight ~43 kDa.
Availability 1-2 business days
Species Reactivity Human, Mouse, Rat
Format Antigen affinity purified
Host Rabbit
Clonality Polyclonal (rabbit origin)
Isotype Rabbit IgG
Purity Affinity purified
Buffer Lyophilized from 1X PBS with 2% Trehalose and 0.025% sodium azide
UniProt Q96EP5
Localization Cytoplasmic, Nuclear
Applications Western Blot : 0.5-1ug/ml
Immunohistochemistry (FFPE) : 1-2ug/ml
Direct ELISA : 0.1-0.5ug/ml
Limitations This DAZAP1 antibody is available for research use only.
Review this product on BioCompare and get a $20 Amazon gift card

Related Products

Description

DAZAP1 Antibody targets DAZ-associated protein 1, an RNA-binding protein encoded by the DAZAP1 gene that plays a role in post-transcriptional regulation of gene expression. DAZ-associated protein 1 was originally identified through its interaction with DAZ family proteins and is now recognized as a broadly expressed factor involved in RNA processing, transport, and stability. Through these activities, DAZAP1 contributes to fine control of mRNA metabolism and cellular gene expression programs.

Functionally, DAZ-associated protein 1 binds RNA through conserved RNA recognition motifs that enable sequence-specific interactions with target transcripts. These interactions allow DAZAP1 to influence alternative splicing, mRNA localization, and translational efficiency depending on cellular context. A DAZAP1 Antibody enables investigation of RNA-binding protein function and post-transcriptional regulatory mechanisms that shape gene expression in both normal and disease-associated settings.

DAZAP1 expression is observed in many tissues and cell types, reflecting its role in fundamental RNA regulatory processes. At the subcellular level, DAZ-associated protein 1 is predominantly localized to the nucleus, where it associates with pre-mRNA processing complexes and splicing machinery. Cytoplasmic localization has also been reported, consistent with additional roles in mRNA transport and translation. Changes in DAZAP1 localization may reflect shifts in RNA metabolism or cellular responses to developmental or stress-related cues.

At the molecular level, DAZ-associated protein 1 contains RNA recognition motif domains that mediate binding to single-stranded RNA. These domains allow DAZAP1 to interact with diverse RNA species and participate in multiple steps of post-transcriptional regulation. DAZAP1 also interacts with other RNA-binding proteins and regulatory factors, enabling formation of ribonucleoprotein complexes that coordinate RNA processing events. Regulation of DAZAP1 activity may involve post-translational modifications that influence its interactions and cellular distribution.

From a biological and disease relevance perspective, DAZAP1 has been studied in the context of cell proliferation, differentiation, and stress responses, where precise control of RNA processing is essential. Altered expression or function of RNA-binding proteins such as DAZAP1 has been associated with dysregulated gene expression programs in cancer and other diseases. As a result, DAZAP1 is of interest as a component of RNA regulatory networks that contribute to cellular homeostasis and disease-associated transcriptional remodeling.

DAZAP1 Antibody reagents are valuable tools for studying RNA-binding protein biology, post-transcriptional regulation, and mechanisms of mRNA processing. These antibodies support research into RNA metabolism, nuclear organization, and disease-associated alterations in gene expression control. NSJ Bioreagents provides DAZAP1 Antibody products intended for research use.

Application Notes

Optimal dilution of the DAZAP1 antibody should be determined by the researcher.

Immunogen

Amino acids M1-E189 from the human protein were used as the immunogen for the DAZAP1 antibody.

Storage

Store the DAZAP1 antibody at -20oC.

Cross
Bulk Quote Request Form
Name*:
Organization*:
Email*:
Phone Number*:
Catalog No.*:
Comments and Specifics(amount, formulation, etc.)*:
Validation code: Captchapackage Image


Can't read the image? click here to refresh.
    *required field

Your bulk quote request has been submitted successfully!

Please contact us if you have any questions.