• Tel: 858.663.9055
  • SeparatorEmail: info@nsjbio.com
  • Tel: 858.663.9055
  • Email: info@nsjbio.com
Home >> Antibodies >> DARS1 Antibody

DARS1 Antibody (F54347)

  Catalog No Formulation Size Price (USD)  
Image F54347-0.4ML In 1X PBS, pH 7.4, with 0.09% sodium azide 0.4 ml 439
Image
F54347-0.08ML In 1X PBS, pH 7.4, with 0.09% sodium azide 0.08 ml 205
Bulk quote request
Western blot testing of human Jurkat cell lysate with DARS1 antibody. Predicted molecular weight ~57 kDa.
Western blot testing of (left) non-transfected and (right) transfected 293 cell lysate with DARS1 antibody. Predicted molecular weight ~57 kDa.
Immunofluorescent staining of fixed and permeabilized human HepG2 cells with DARS1 antibody (green) and DAPI nuclear stain (blue).
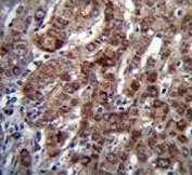
IHC testing of FFPE human liver tissue with DARS1 antibody. HIER: steam section in pH6 citrate buffer for 20 min and allow to cool prior to staining.
Flow cytometry testing of fixed and permeabilized human Jurkat cells with DARS1 antibody; Blue=isotype control, Green= DARS1 antibody.
Availability 1-3 business days
Species Reactivity Human
Format Purified
Host Rabbit
Clonality Polyclonal (rabbit origin)
Isotype Rabbit Ig
Purity SAS precipitation
UniProt P14868
Localization Cytoplasmic
Applications Western Blot : 1:500-1:2000
Immunohistochemistry (FFPE) : 1:25
Immunofluorescence : 1:25
Flow Cytometry : 1:25 (1x10e6 cells)
Limitations This DARS1 antibody is available for research use only.
Review this product on BioCompare and get a $20 Amazon gift card

Related Products

  • Applications : WB, ELISA (peptide)
    Reactivity : Mouse

Description

Aspartyl-tRNA synthetase (DARS) is part of a multienzyme complex of aminoacyl-tRNA synthetases. Aspartyl-tRNA synthetase charges its cognate tRNA with aspartate during protein biosynthesis.

Application Notes

The stated application concentrations are suggested starting points. Titration of the DARS1 antibody may be required due to differences in protocols and secondary/substrate sensitivity.

Immunogen

A portion of amino acids 154-183 from the human protein was used as the immunogen for the DARS1 antibody.

Storage

Aliquot the DARS1 antibody and store frozen at -20oC or colder. Avoid repeated freeze-thaw cycles.

Cross
Bulk Quote Request Form
Name*:
Organization*:
Email*:
Phone Number*:
Catalog No.*:
Comments and Specifics(amount, formulation, etc.)*:
Validation code: Captchapackage Image


Can't read the image? click here to refresh.
    *required field

Your bulk quote request has been submitted successfully!

Please contact us if you have any questions.