• Tel: 858.663.9055
  • SeparatorEmail: info@nsjbio.com
  • Tel: 858.663.9055
  • Email: info@nsjbio.com
Home >> Antibodies >> DAP3 Antibody / Mitochondrial Apoptosis Marker

DAP3 Antibody / Mitochondrial Apoptosis Marker (R34882)

  Catalog No Formulation Size Price (USD)  
Image R34882-100UG 0.5 mg/ml in 1X TBS, pH7.3, with 0.5% BSA (US sourced) and 0.02% sodium azide 100 ug 475
Bulk quote request
DAP3 Antibody HeLa Cell WB. Western blot testing of HeLa lysate with DAP3 antibody at 3ug/ml. Predicted molecular weight: ~46/41/42 kDa (isoforms 1/2/3).
DAP3 Antibody Overexpression WB. Western blot analysis of HEK293 cell lysates overexpressing DAP3 using goat polyclonal DAP3 antibody. Lane 1 contains mock-transfected cells and lane 2 contains DAP3-overexpressing cells. An enhanced band is detected at approximately 41-46 kDa in the overexpression sample, consistent with the predicted molecular weights of Death-associated protein 3 / DAP3 isoforms 1, 2, and 3.
DAP3 Antibody Knockdown WB. Western blot analysis of HeLa cell lysates using goat polyclonal DAP3 antibody following siRNA-mediated knockdown of DAP3 expression. The control lysate is shown in the left lane and DAP3 knockdown lysate in the right lane. A marked reduction in the approximately 41-46 kDa DAP3 signal is observed following siRNA treatment, consistent with the predicted molecular weights of DAP3 isoforms 1, 2, and 3. Actin was used as a loading control, and knockdown efficiency was quantified relative to Actin expression by RT-PCR.
DAP3 Antibody Knockdown IF. Immunofluorescence analysis of guanidinium thiocyanate-treated human HeLa cells stained with goat polyclonal DAP3 antibody before (left) and after (right) siRNA-mediated DAP3 knockdown. DAP3 signal is detected with DyLight 488 (green) and nuclei are counterstained with DAPI (blue). Reduced cytoplasmic punctate fluorescence following siRNA treatment supports specific detection of Death-associated protein 3 / DAP3, a mitochondrial protein involved in apoptotic signaling and mitochondrial ribosomal function.
DAP3 Antibody MCF7 Cell IF. Immunofluorescent staining of human MCF7 cells with DAP3 antibody at 5ug/ml.
DAP3 Antibody Brain Immunohistochemistry. IHC testing of FFPE human brain cortex tissue with DAP3 antibody at 2.5ug/ml. Required HIER: steamed antigen retrieval with pH6 citrate buffer; AP-staining.
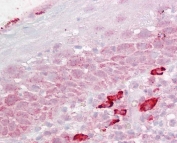
DAP3 Antibody Tonsil Immunohistochemistry. IHC testing of FFPE human tonsil tissue with DAP3 antibody at 2.5ug/ml. Required HIER: steamed antigen retrieval with pH6 citrate buffer; AP-staining.
Availability 1-3 business days
Species Reactivity Human
Format Antigen affinity purified
Host Goat
Clonality Polyclonal (goat origin)
Isotype Goat Ig
Purity Antigen affinity
UniProt P51398
Gene ID 7818
Localization Cytoplasmic
Applications Western Blot : 3-6ug/ml
Immunofluorescence : 5-10ug/ml
Immunohistochemistry (FFPE) : 2.5-5ug/ml
ELISA (peptide) LOD : 1:16000
Limitations This DAP3 Antibody / Mitochondrial Apoptosis Marker is available for research use only.
Review this product on BioCompare and get a $20 Amazon gift card

Description

Death-associated protein 3 (DAP3) is a mitochondrial ribosome-associated protein encoded by the DAP3 gene and involved in apoptotic signaling, mitochondrial protein synthesis, and regulation of cellular stress responses. DAP3 Antibody / Mitochondrial Apoptosis Marker is useful for studying programmed cell death pathways, mitochondrial biology, ribosomal function, and cellular stress signaling. DAP3 belongs to the mitochondrial ribosomal protein family and functions within the small subunit of the mitochondrial ribosome where it contributes to mitochondrial translation and maintenance of respiratory function.

DAP3 antibody, also referred to as Death-associated protein 3 antibody, MRPS29 antibody, or DAP-3 antibody in the literature, recognizes a protein originally identified through its involvement in interferon gamma-induced cell death pathways. DAP3 is predominantly localized to mitochondria, where it participates in apoptotic signaling cascades and mitochondrial homeostasis. In addition to its role in mitochondrial ribosomal activity, DAP3 has been linked to extrinsic apoptosis signaling mediated through death receptors including Fas and TRAIL receptor pathways.

DAP3 contributes to regulation of apoptosis by interacting with components of mitochondrial and death receptor-associated signaling complexes. Studies have associated DAP3 with caspase activation, mitochondrial membrane dysfunction, and pro-apoptotic signaling under conditions of cellular stress or cytokine stimulation. The protein has also been implicated in tumor suppression, anoikis regulation, and modulation of cellular sensitivity to apoptotic stimuli. Because mitochondrial dysfunction and apoptosis are central to cancer biology, neurodegeneration, and inflammatory disease, DAP3 remains an important target in studies of stress-induced cell death mechanisms.

Within mitochondria, DAP3 functions as a component of the mitochondrial small ribosomal subunit and supports translation of mitochondrially encoded respiratory chain proteins. Proper DAP3 activity is therefore important for oxidative phosphorylation, mitochondrial integrity, and energy metabolism. Disruption of DAP3 expression has been associated with impaired mitochondrial function, altered respiratory activity, and changes in cellular metabolic adaptation. The protein additionally participates in pathways connected to interferon signaling, innate immune regulation, and stress-responsive transcriptional programs.

DAP3 is encoded on human chromosome 1q22 and produces a GTP-binding mitochondrial protein containing structural features characteristic of mitochondrial ribosomal components. The protein localizes primarily within the mitochondrial matrix but may also participate in signaling complexes linked to apoptotic activation at other intracellular sites during cellular stress responses. In immunofluorescence studies, DAP3 expression commonly demonstrates punctate cytoplasmic staining patterns consistent with mitochondrial localization.

This goat polyclonal DAP3 antibody has been supported using knockout-validated western blot and immunofluorescence approaches to confirm selective target detection in research applications. Western blot analysis demonstrates reduction or loss of the expected DAP3 signal following gene knockout, while knockout immunofluorescence analysis supports antibody specificity for mitochondrial-associated DAP3 staining patterns. These validation approaches provide additional confidence for studies involving apoptosis signaling, mitochondrial regulation, and stress-response biology.

Explore our Knockdown Validated Antibodies page for additional antibodies supported by gene silencing or knockout validation strategies to help confirm target-specific signal detection in western blot, immunofluorescence, and related research applications.

Application Notes

Optimal dilution of the DAP3 Antibody / Mitochondrial Apoptosis Marker should be determined by the researcher.

1. This DAP3 antibody will detect isoforms 1, 2 and 3.

Immunogen

Amino acids NPSLLERHCAYL were used as the immunogen for this DAP3 antibody. This sequence is common to isoforms 1, 2 and 3.

Storage

Aliquot and store the DAP3 antibody at -20oC.

Alternate Names

Death-associated protein 3 antibody, MRPS29 antibody, DAP-3 antibody, Mitochondrial ribosomal protein S29 antibody, DAP3 apoptosis marker antibody

Cross
Bulk Quote Request Form
Name*:
Organization*:
Email*:
Phone Number*:
Catalog No.*:
Comments and Specifics(amount, formulation, etc.)*:
Validation code: Captchapackage Image


Can't read the image? click here to refresh.
    *required field

Your bulk quote request has been submitted successfully!

Please contact us if you have any questions.